FIRST COUNSELING初診相談
当院では初診相談を行っております。
歯列矯正治療に興味のある方は、お気軽にご利用ください。まだ、治療を始めるかどうか決めていない方でも不安や疑問をご相談ください。

成人(大人)矯正は、歯がすべて永久歯に生え変わった方が行う矯正治療です。最近、大人になってから矯正治療を始める方が増えています。それは矯正治療には沢山のメリットが有る事が一般的に知られてきたからだと思います。『大きく口を広げて笑う事ができない』など、歯ならびに関するコンプレックスを解消する事で、心身共に充実した生活を送ることができます。

笑顔に自信が持てる
歯ならびを改善する事で、口を大きく開いて笑う事ができ、自然と笑顔が増えて自信につながります。お口のトラブルが減る
歯ならびを改善する事で、食べ残しや歯垢(プラーク)が残りにくくなり、清掃性の高い口腔内に改善されます。しっかり噛む事ができる
食べ物もしっかり噛む事ができ、咀嚼率が高まる事から、ストレスなく健康的な食事を摂る事ができます。発音が改善される
発音が良くなり、会話もスムーズにできるようになります。職業上、はっきり発音できないと困るという理由で矯正治療をされる方もいらっしゃいます。




定期的な通院が必要(間隔が開きすぎると治療が予定通りに進まなくなり、治療期間が延びてしまいます)
治療を進める上で、顎間ゴム(上下の歯に指定したゴムをご自身でつけるもの)やMFT(筋機能療法:舌の位置付け、舌や唇の筋トレを行うこと)などご自身で行わないと、早く綺麗に治らない事があります。
歯みがきをしっかりしないと、虫歯になりやすくなります。そのため当院では、セルフケアがしっかりと出来ていない方に対して、歯みがき指導や口腔清掃のために、来院する日を増やしてもらう事があります。(別途費用かかります)
| 矯正相談料 | 無料 |
|---|---|
| 検査診断料 | 45,000円 税込49,500円 |
| 治療費 表側ブラケット装置 |
720,000円 税込792,000円 |
| 調整費 24回通院した場合 |
100,000円程度 税込110,000円 |
| 保定装置、アタッチメント除去 | 50,000円 税込55,000円 |
※ 全て自由診療です。
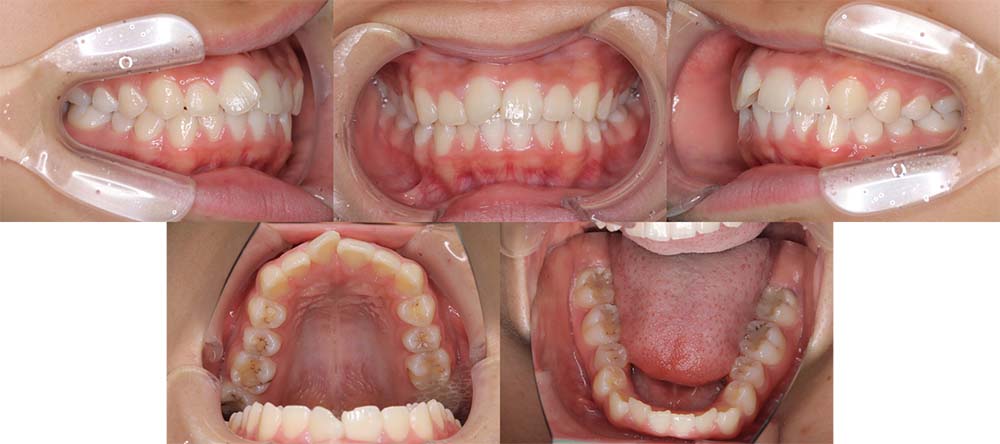
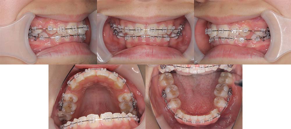
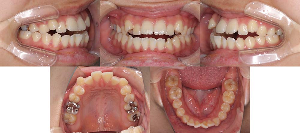
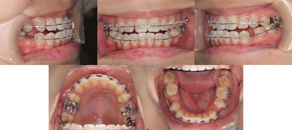
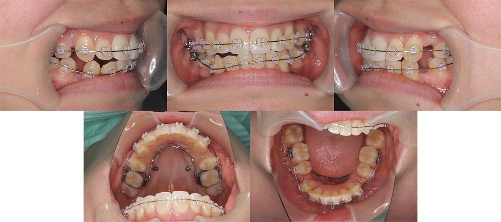
| 症例分類 | 上下顎前突、口唇突出 |
| 診断名 | 口唇突出を伴う上下軽度叢生 |
| 主訴 | 前歯が気になる |
|---|---|
| 年齢 | 15歳8ヶ月 |
| 性別 | 女性 |
| 抜歯部位 | 上下左右の第一小臼歯(4本) |
| 使用装置 | 表側のワイヤー装置 |
| 治療期間 | 1年9ヶ月 |
| 保定装置 | 固定式保定装置、取り外し式保定装置(8時間) |
| 費用 | [検査・診断料] ¥49,500 [基本施術料] ¥792,000 [調整料] ¥4,400/回 [抜歯] ¥5,500/本 [保定装置] ¥55,000(税込) 抜歯や虫歯治療は他院にて費用が別途かかります。(抜歯¥4,000〜10,000/本)
|
当初は前歯のガタガタを気にされており、上顎の部分治療を希望されました。しかしながら、上顎前歯の叢生のみの改善は可能だが、口唇突出感はなくなり、口が自然に閉じるようにするためには抜歯が必要なことを説明したところ、抜歯して治療することを希望されました。
上下第一小臼歯を抜去して表側のマルチブラケット装置で治療しました。顎間ゴムの協力度が良く予定より早く治療が終了することができました。
口唇突出感をなくし、しっかりと咬合することができました。






自費診療(保険外診療)となります。セルフケアを怠ると、虫歯・歯周病を発症する場合があります。矯正治療は患者様の協力がなければ改善できません。指示された矯正装置は必ず注意事項を守って着用が必要です。また来院期間を守って来院してください。治療結果、治療期間及び治療費に大きく影響が出る場合があります。不正咬合の状態によっては、適応しない場合があります。治療中装置の装着や咬合状態の変化などにより、一時的に咬みにくくなる場合があります。歯の動く速さや成長発育の時期には個人差があるため、治療期間が予定よりも大きく変更されることがあります。また、治療計画を変更せざるを得ない場合があります。骨性癒着(歯と骨がくっついてしまう症状)はぶつけるなど外傷のある歯や、長期間炎症が起こしていた歯などによく見られ、歯根膜の損傷が主な原因と考えられています。そのような骨性癒着を起こしている歯は矯正力をどれだけ加えても動きません。骨性癒着は精密検査でも診断できないことがほとんどです。そのため、治療途中に治療方針を変更せざるを得ない場合があります。歯や顎は動かした後に元の位置に戻ろうとするため、治療終了後は保定装置というものを使用します。 それらの装置は指示通りに使用してください。使用しないと後戻りする可能性があります。
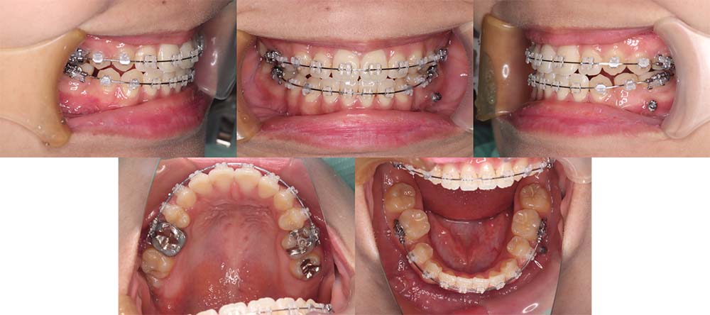
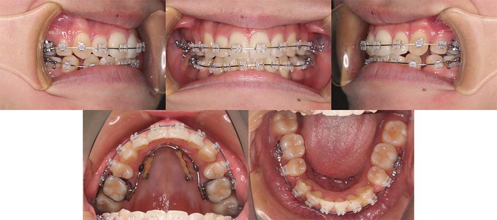
| 症例分類 | 下顎前突、開咬 |
| 診断名 | 上下叢生を伴う開咬 |
| 主訴 | 歯がガタガタ、前歯に隙間があってうまく噛めない |
|---|---|
| 年齢 | 18歳4ヶ月 |
| 性別 | 女性 |
| 抜歯部位 | 右上・左下の第一小臼歯と左上・右下の第二小臼歯 |
| 使用装置 | 表側のワイヤー装置 |
| 治療期間 | 2年9ヶ月 |
| 保定装置 | 固定式保定装置、取り外し式保定装置(8時間) |
| 費用 |
[検査・診断料] ¥49,500 [基本施術料] ¥792,000 [調整料] ¥4,400/回 [抜歯] ¥5,500/本 [保定装置] ¥55,000(税込) 抜歯や虫歯治療は他院にて費用が別途かかります。(抜歯¥4,000〜10,000/本)
|
他院にて「顎変形症のため手術併用での矯正治療が必要である」との説明を受け、当院を紹介されてご来院されました。骨格的にやや受け口傾向ではありましたが、手術を併用せず改善できる旨をご説明し、矯正単独で治療することにしました
上顎右側第一小臼歯、上顎左側第二小臼歯、下顎右側第二小臼歯、下顎左側第一小臼歯を抜去して治療を行いました。
左下は奥歯を前方に移動させる必要があったため、矯正用アンカースクリューと顎間ゴムを使用して噛み合わせを改善しました。左下の前方移動に時間がかかってしまい、治療期間が予定より伸びてしまいましたが、問題なく咬合させることができました。
下顎の親知らずは将来的に抜去した方が良いことを説明しております。
※写真の使用は患者様から同意を頂いております。






自費診療(保険外診療)となります。セルフケアを怠ると、虫歯・歯周病を発症する場合があります。矯正治療は患者様の協力がなければ改善できません。指示された矯正装置は必ず注意事項を守って着用が必要です。また来院期間を守って来院してください。治療結果、治療期間及び治療費に大きく影響が出る場合があります。不正咬合の状態によっては、適応しない場合があります。治療中装置の装着や咬合状態の変化などにより、一時的に咬みにくくなる場合があります。歯の動く速さや成長発育の時期には個人差があるため、治療期間が予定よりも大きく変更されることがあります。また、治療計画を変更せざるを得ない場合があります。骨性癒着(歯と骨がくっついてしまう症状)はぶつけるなど外傷のある歯や、長期間炎症が起こしていた歯などによく見られ、歯根膜の損傷が主な原因と考えられています。そのような骨性癒着を起こしている歯は矯正力をどれだけ加えても動きません。骨性癒着は精密検査でも診断できないことがほとんどです。そのため、治療途中に治療方針を変更せざるを得ない場合があります。歯や顎は動かした後に元の位置に戻ろうとするため、治療終了後は保定装置というものを使用します。 それらの装置は指示通りに使用してください。使用しないと後戻りする可能性があります。
埋伏歯の牽引にはとても長期の期間がかかることがあります。また、埋伏歯は引っ張れない可能性があることがあります。しかしながら、レントゲンなどの検査で引っ張り出すのが可能かどうかは判断できません。もし引っ張り出せなかった場合は、治療方針を変更いたします。
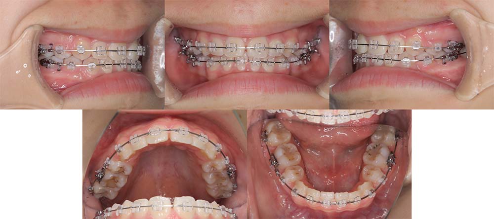
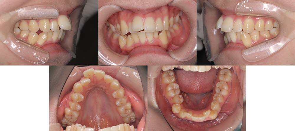
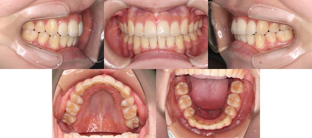
| 症例分類 | 叢生、上顎前突、口唇突出 |
| 診断名 | 下顎重度叢生を伴う骨格性上顎前突 |
| 主訴 | 歯並びが悪い、ものがよく噛めない、口元が気になる、歯科医師に勧められた |
|---|---|
| 年齢 | 22歳10ヶ月 |
| 性別 | 女性 |
| 抜歯部位 | 上下左右の第一小臼歯(4本) |
| 使用装置 | 表側のワイヤー装置 |
| 治療期間 | 2年2ヶ月 |
| 保定装置 | 固定式保定装置、取り外し式保定装置(8時間) |
| 費用 |
[検査・診断料] ¥49,500 [基本施術料] ¥792,000 [調整料] ¥4,400/回 [抜歯] ¥5,500/本 [保定装置] ¥55,000(税込) 抜歯や虫歯治療は他院にて費用が別途かかります。(抜歯¥4,000〜10,000/本)
|
下顎前歯重度叢生と上顎歯列の前方位、口唇閉鎖不全、口唇突出感があるため、上顎両側第一小臼歯と下顎両側第一小臼歯を抜去して治療を行いました。上顎前歯をしっかりと舌側移動しないといけなかったため矯正用アンカースクリューを使用しました。
前歯がしっかりと舌側移動できたため、口唇閉鎖不全が改善され口唇突出感もなくなり、問題なく咬合させることができました。
※写真の使用は患者様から同意を頂いております。






自費診療(保険外診療)となります。セルフケアを怠ると、虫歯・歯周病を発症する場合があります。矯正治療は患者様の協力がなければ改善できません。指示された矯正装置は必ず注意事項を守って着用が必要です。また来院期間を守って来院してください。治療結果、治療期間及び治療費に大きく影響が出る場合があります。不正咬合の状態によっては、適応しない場合があります。治療中装置の装着や咬合状態の変化などにより、一時的に咬みにくくなる場合があります。歯の動く速さや成長発育の時期には個人差があるため、治療期間が予定よりも大きく変更されることがあります。また、治療計画を変更せざるを得ない場合があります。骨性癒着(歯と骨がくっついてしまう症状)はぶつけるなど外傷のある歯や、長期間炎症が起こしていた歯などによく見られ、歯根膜の損傷が主な原因と考えられています。そのような骨性癒着を起こしている歯は矯正力をどれだけ加えても動きません。骨性癒着は精密検査でも診断できないことがほとんどです。そのため、治療途中に治療方針を変更せざるを得ない場合があります。歯や顎は動かした後に元の位置に戻ろうとするため、治療終了後は保定装置というものを使用します。それらの装置は指示通りに使用してください。使用しないと後戻りする可能性があります。
埋伏歯の牽引にはとても長期の期間がかかることがあります。また、埋伏歯は引っ張れない可能性があることがあります。しかしながら、レントゲンなどの検査で引っ張り出すのが可能かどうかは判断できません。もし引っ張り出せなかった場合は、治療方針を変更いたします。
当院では初診相談を行っております。
歯列矯正治療に興味のある方は、お気軽にご利用ください。まだ、治療を始めるかどうか決めていない方でも不安や疑問をご相談ください。