FIRST COUNSELING初診相談
当院では初診相談を行っております。
歯列矯正治療に興味のある方は、お気軽にご利用ください。まだ、治療を始めるかどうか決めていない方でも不安や疑問をご相談ください。
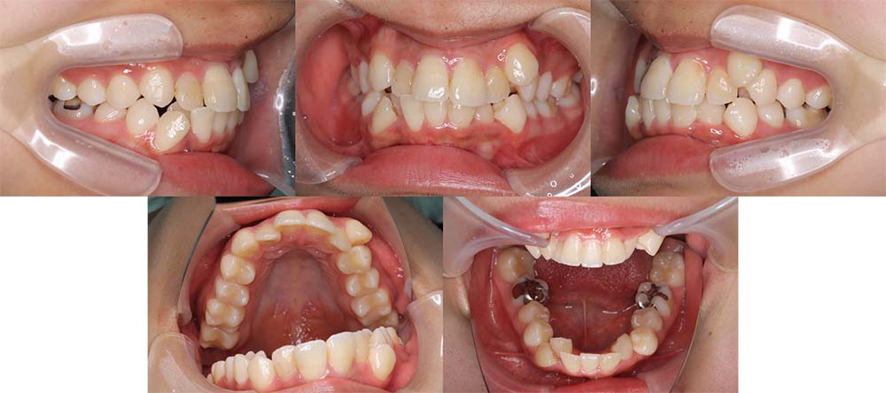
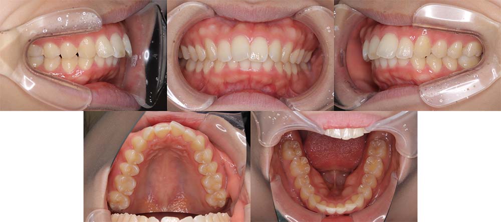
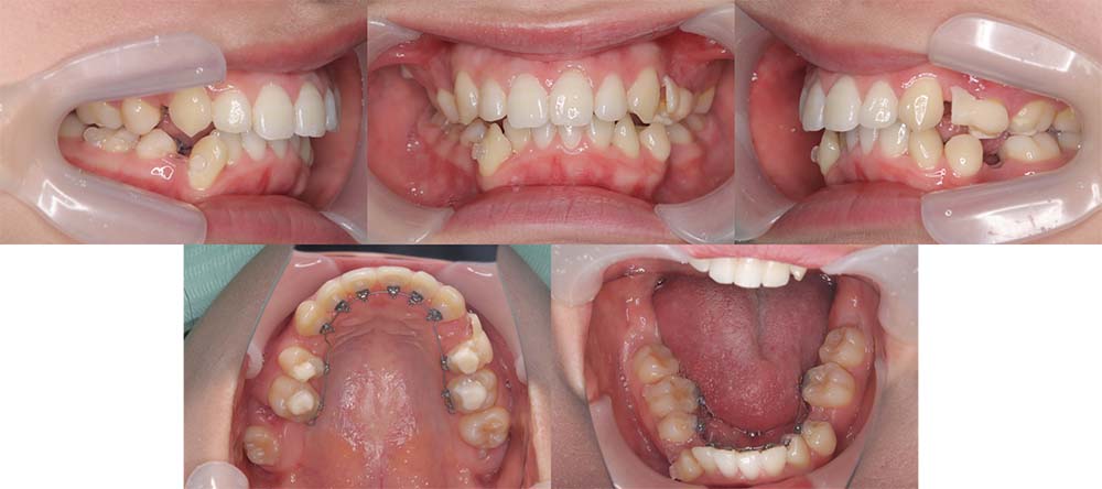
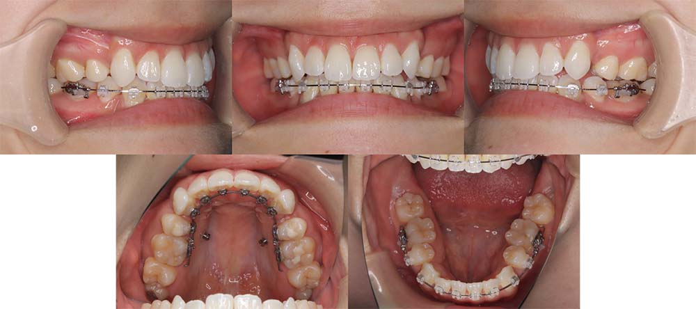
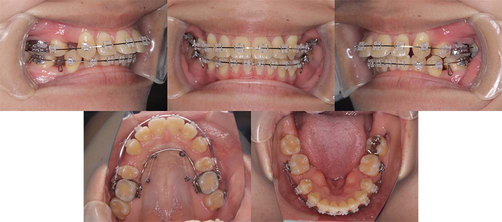
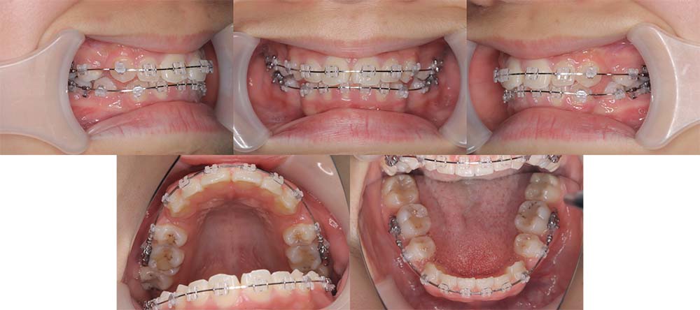
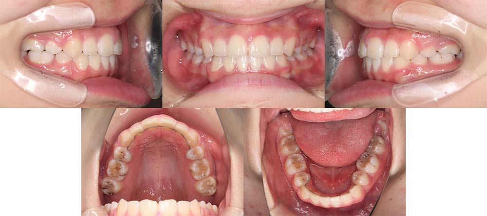
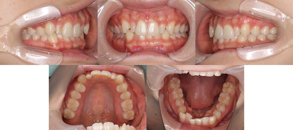
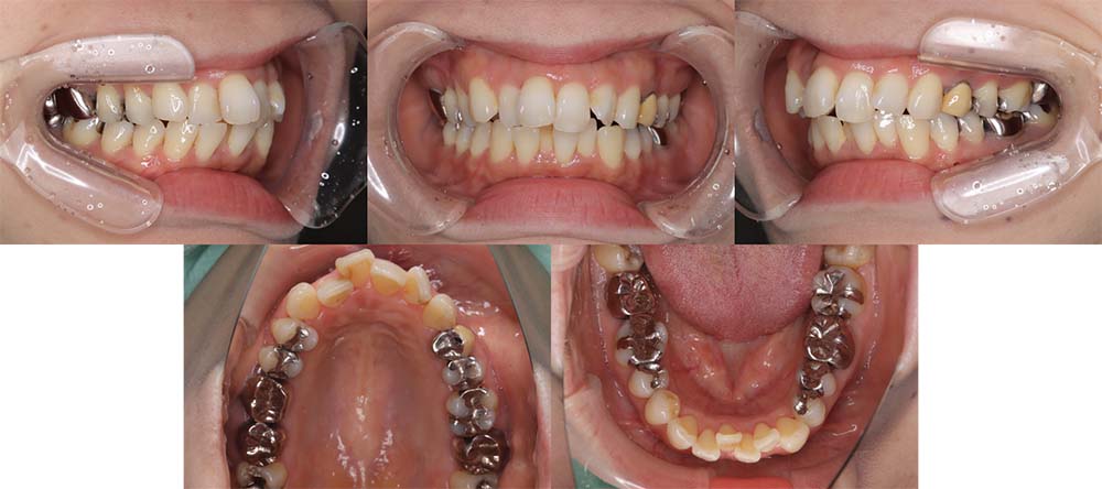
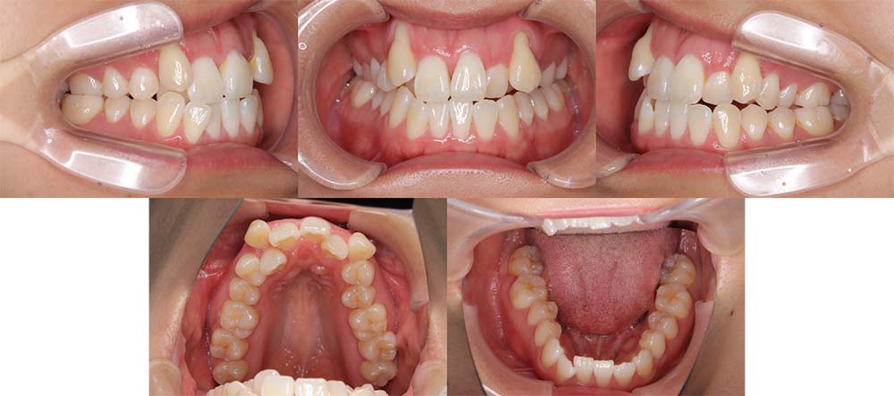
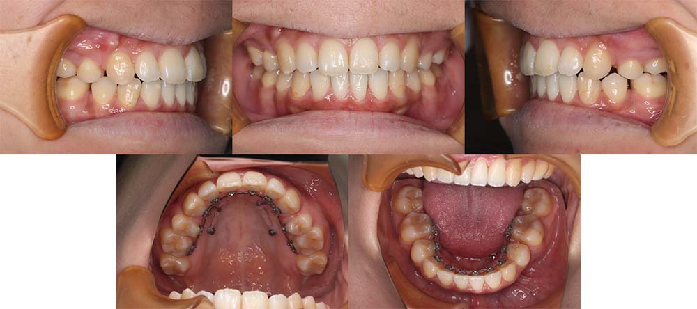
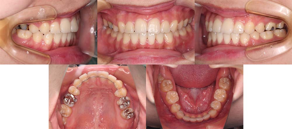
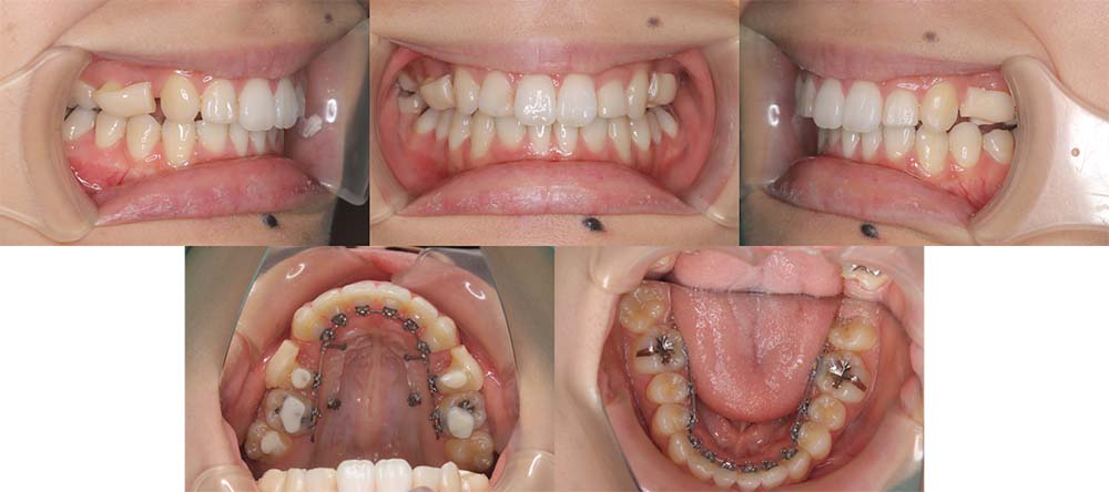
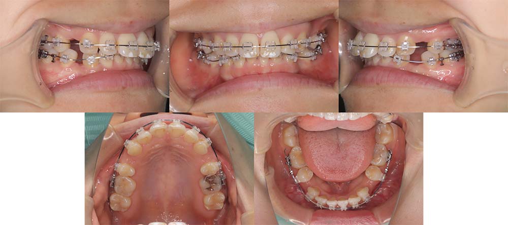
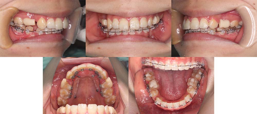
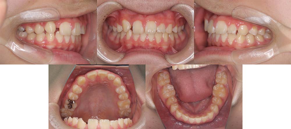
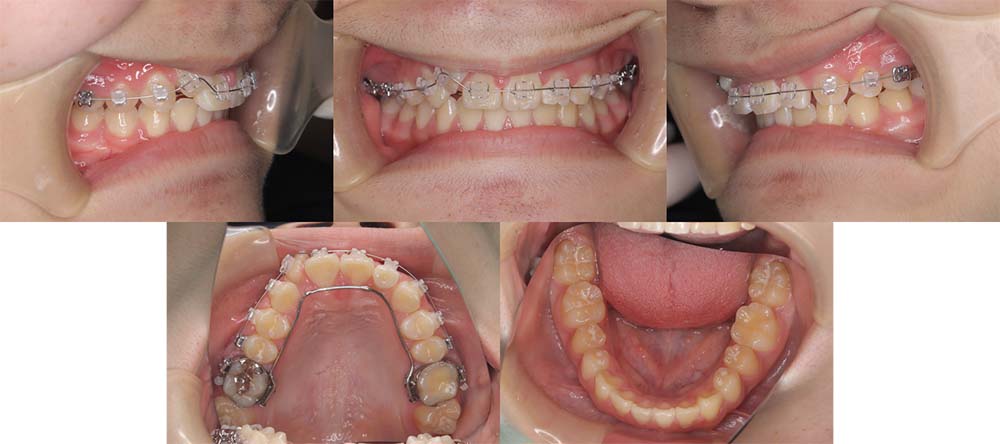
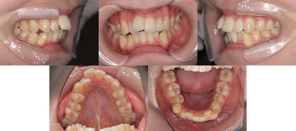
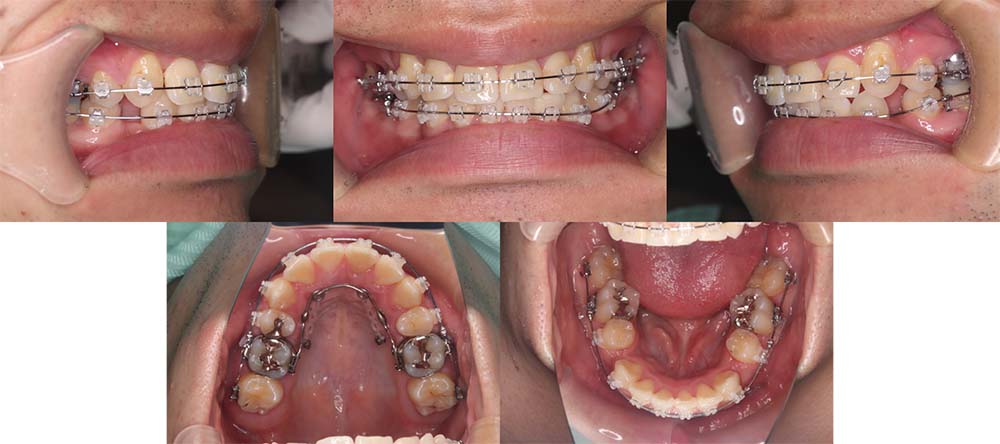
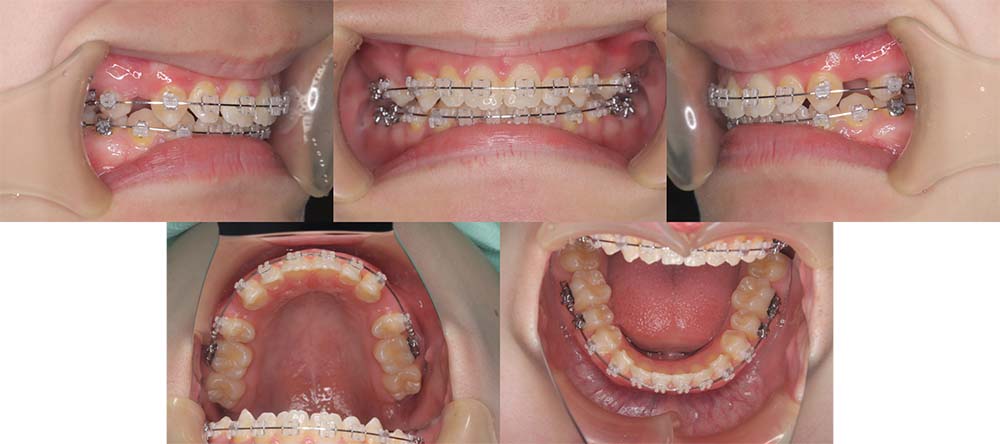
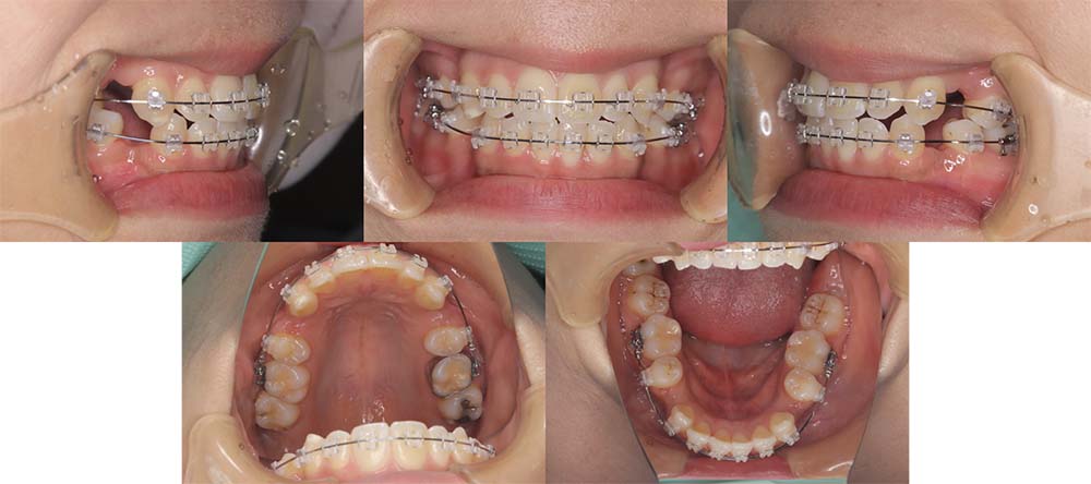
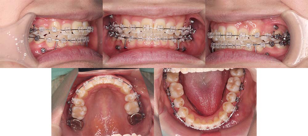
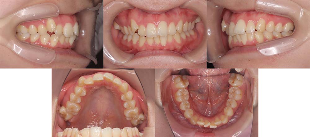
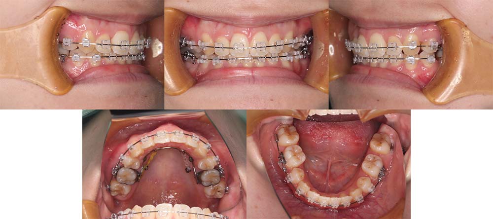
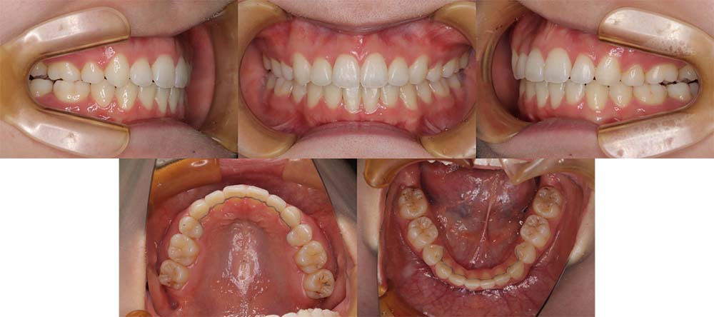
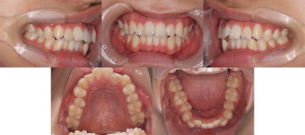
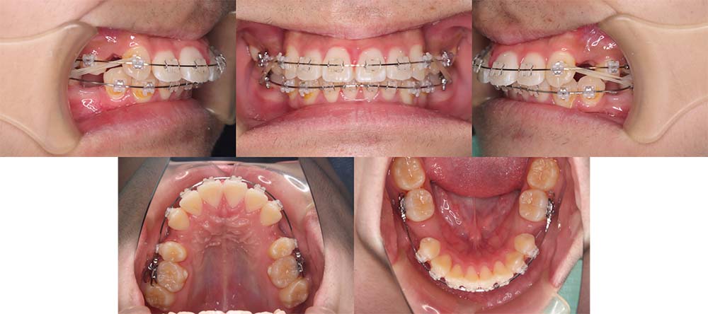
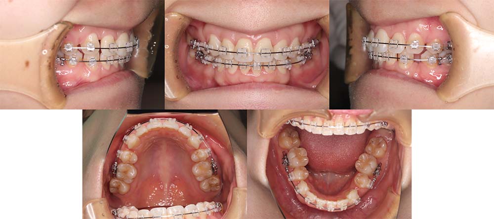
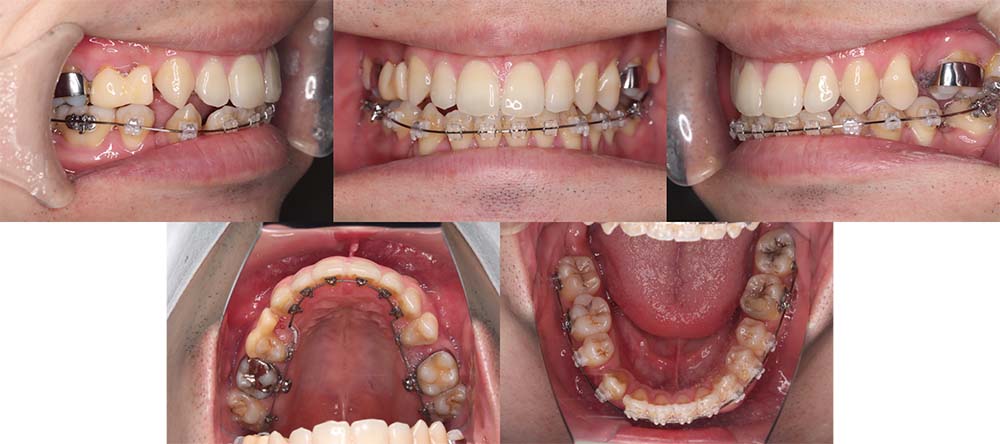
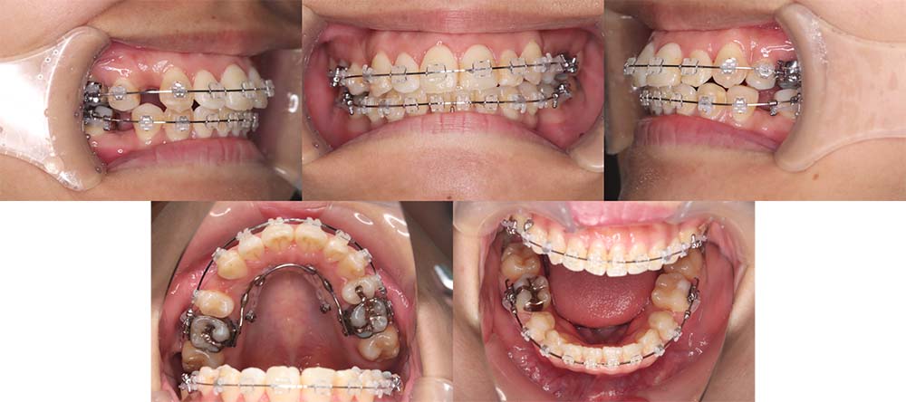
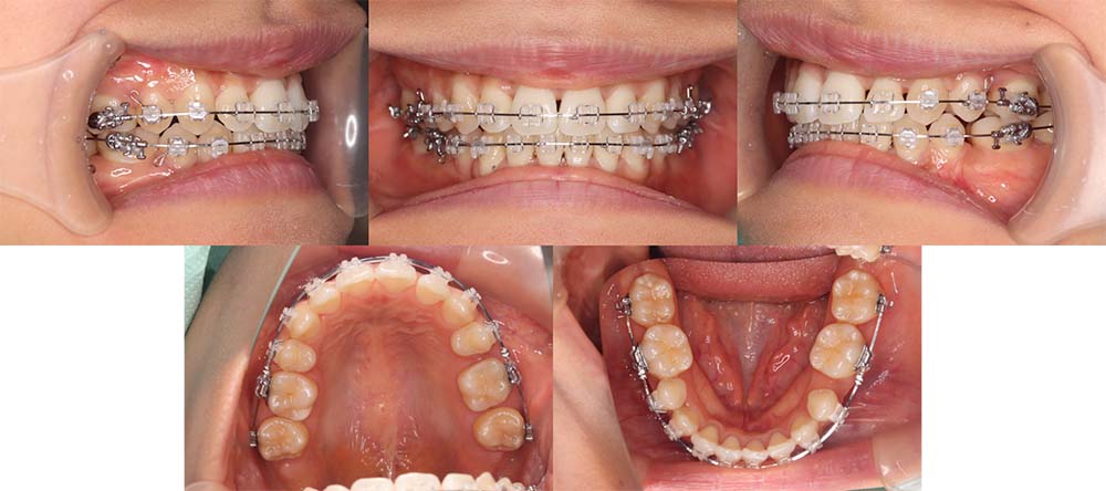
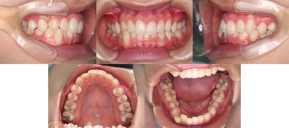
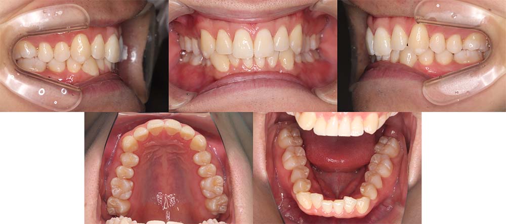
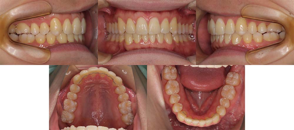
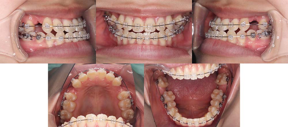
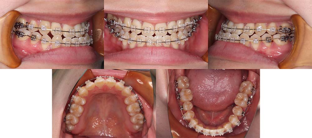
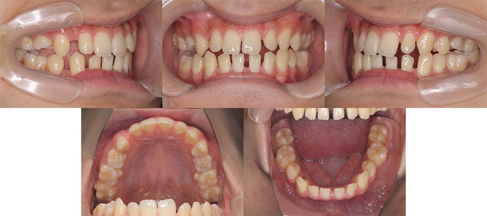
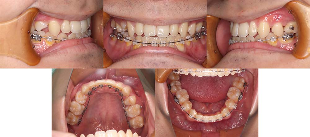
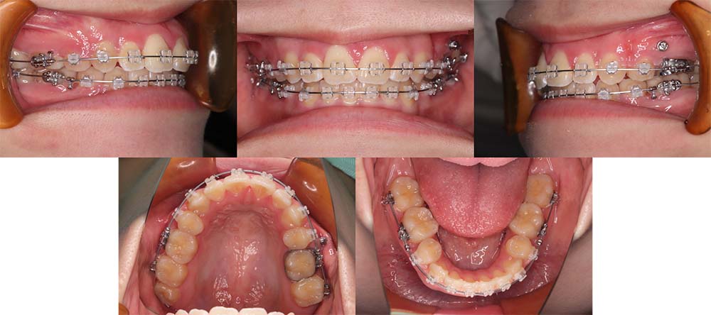
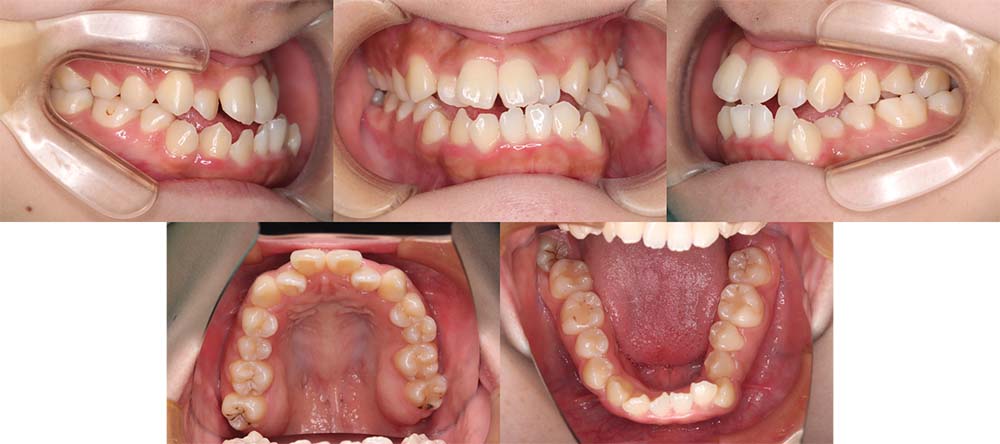
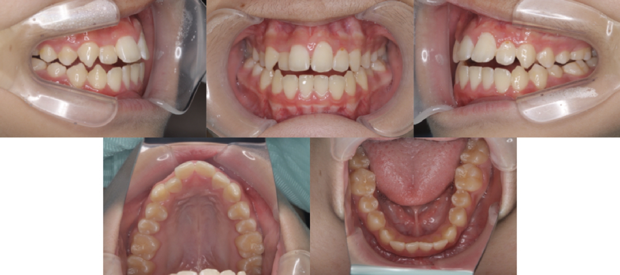
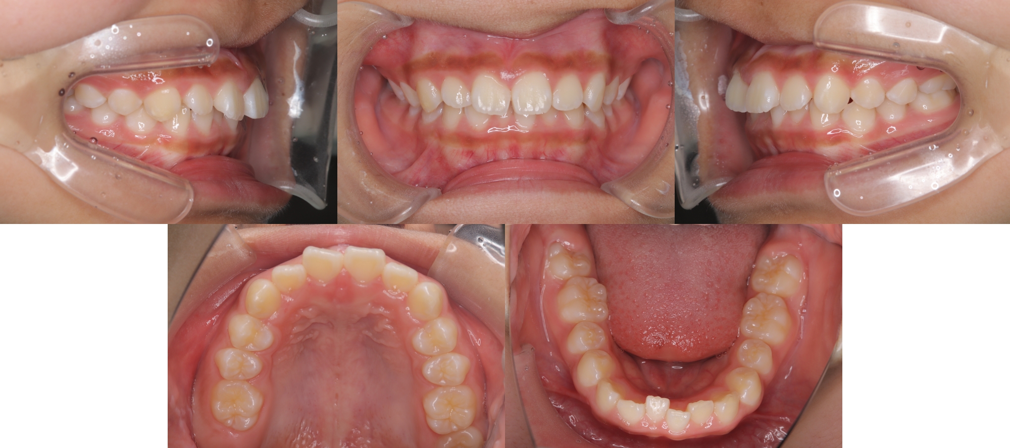
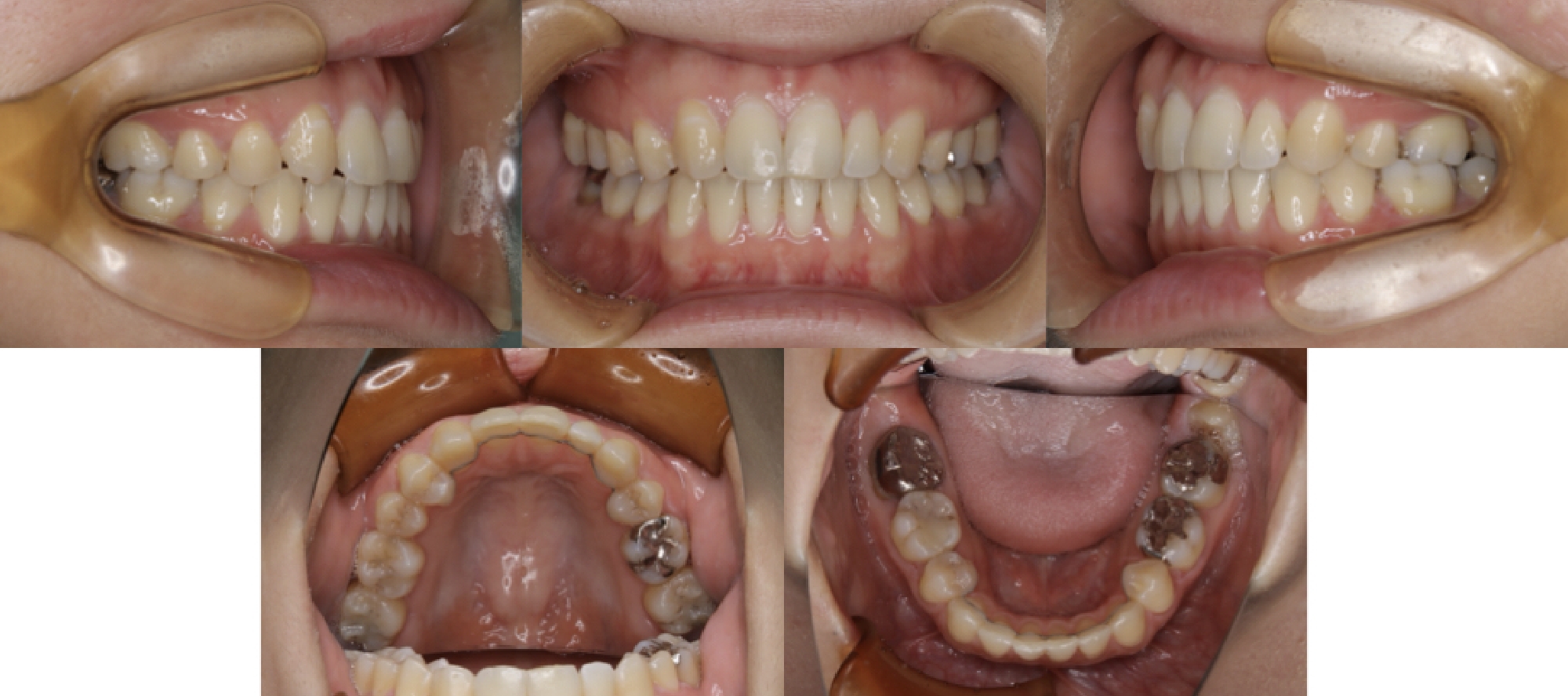
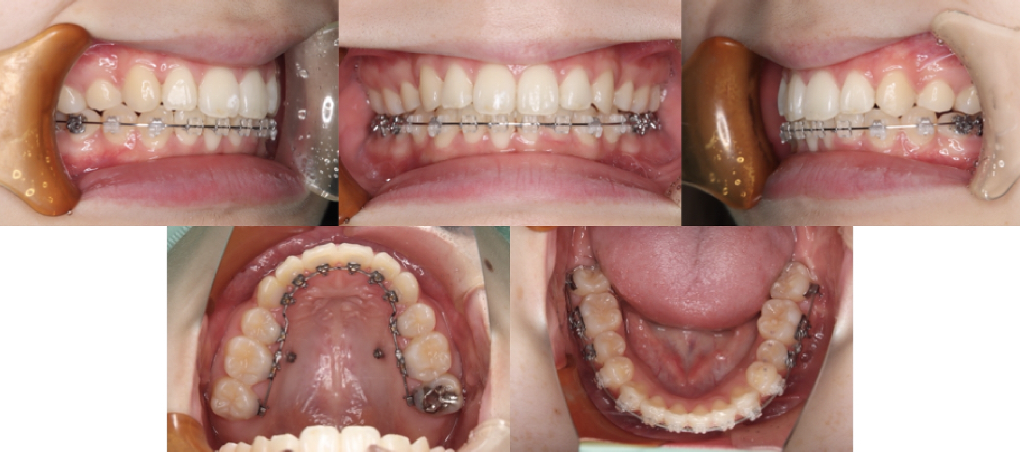
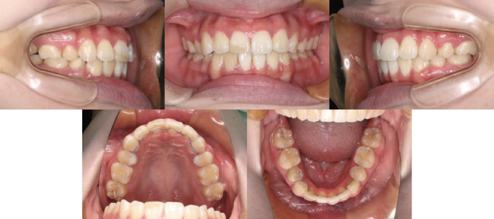
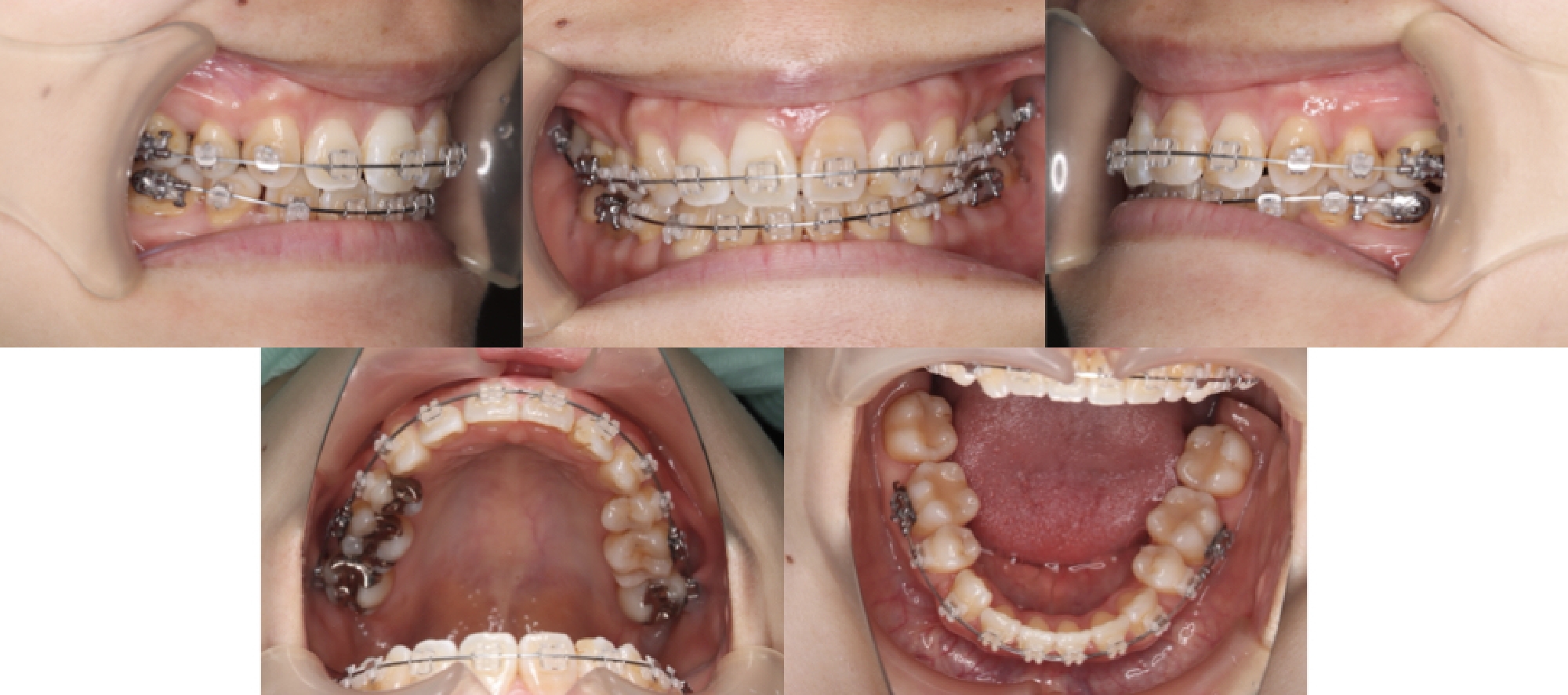
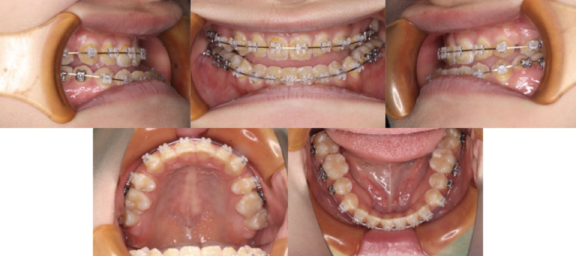
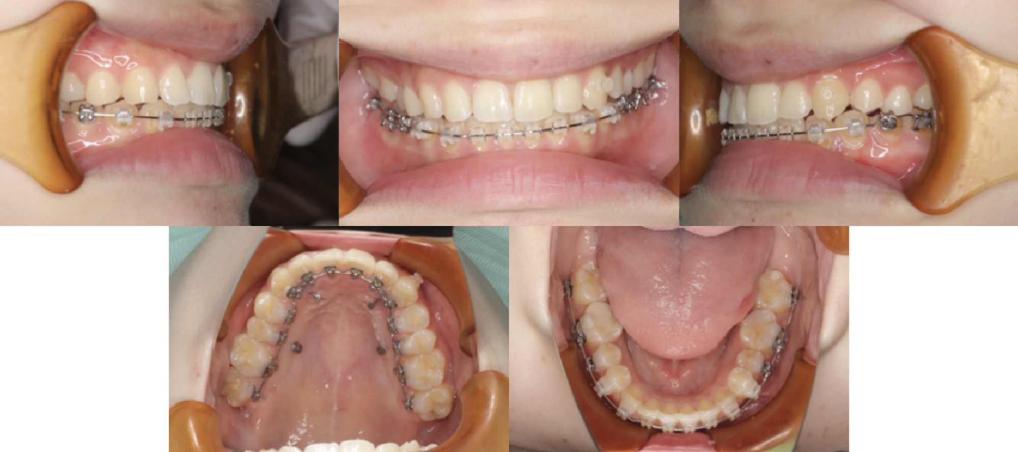
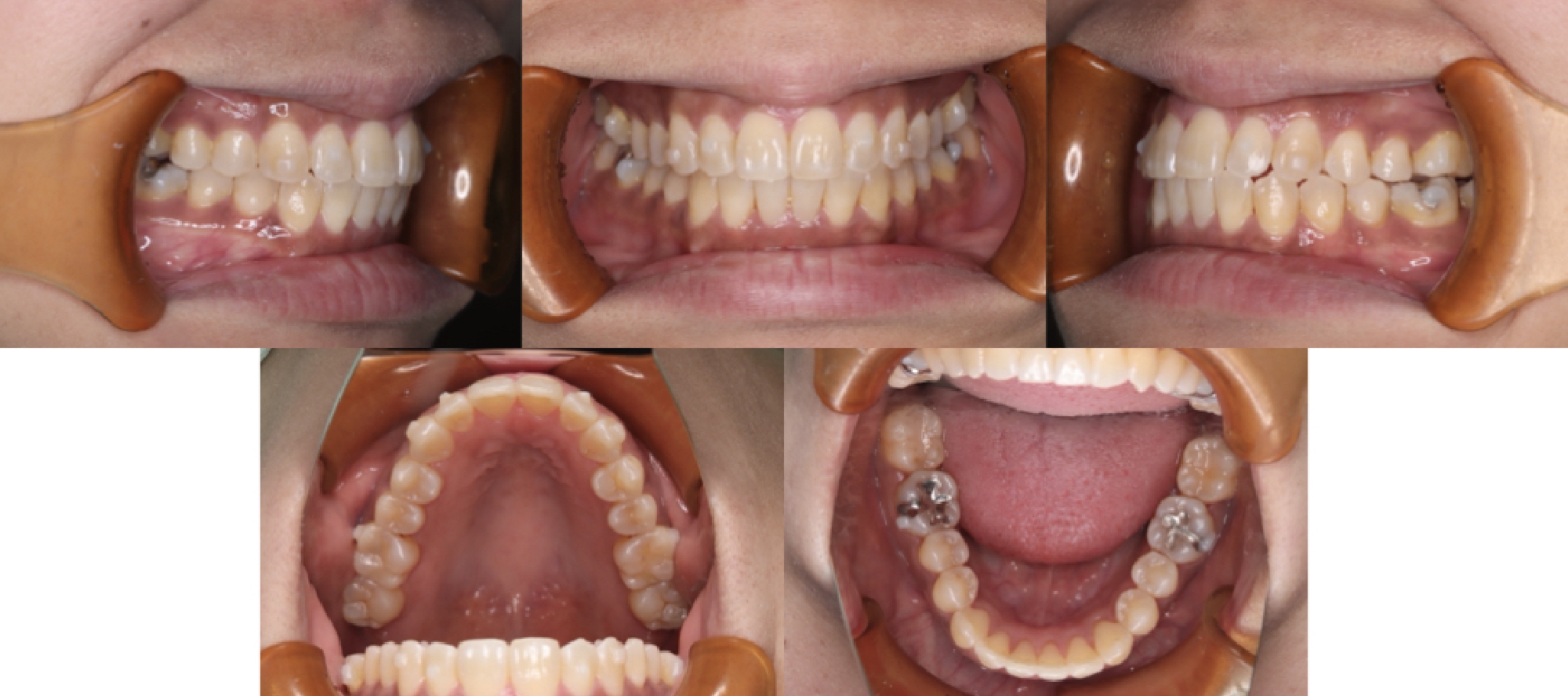
| 症例分類 | 叢生 |
| 診断名 | 右下7の近心傾斜を伴う上下顎重度叢生 |
| 主訴 | 上下の前歯の歯並びが気になる、八重歯 |
|---|---|
| 年齢 | 21歳4ヶ月 |
| 性別 | 女性 |
| 抜歯部位 | 上下左右の第一小臼歯(4本) |
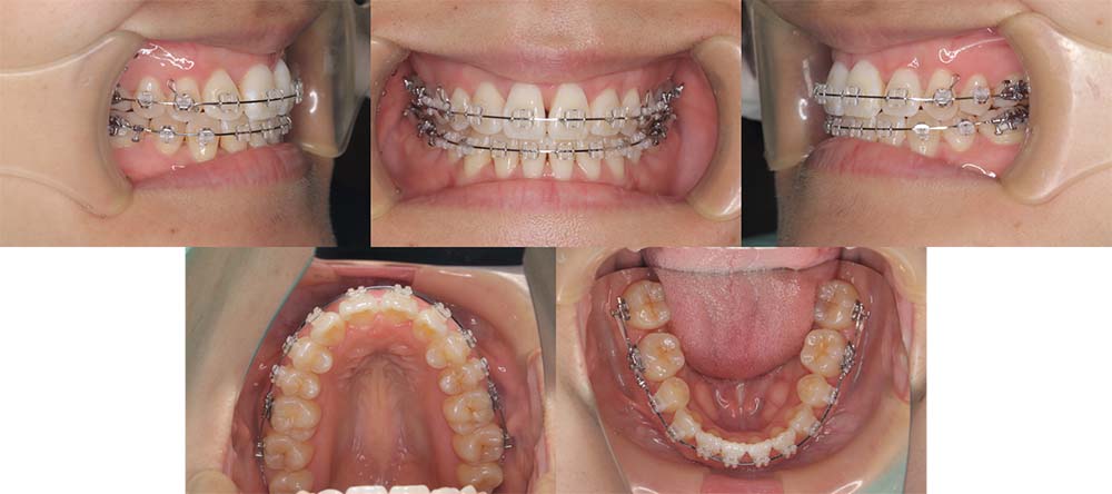
| 使用装置 | 表側のワイヤー装置 |
| 治療期間 | 1年11ヶ月 |
| 保定装置 | 固定式保定装置、取り外し式保定装置(8時間) |
| 費用 |
[検査・診断料] ¥49,500 [基本施術料] ¥792,000 [調整料] ¥4,400/回 [抜歯] ¥5,500/本 [保定装置] ¥55,000(税込) 抜歯や虫歯治療は他院にて費用が別途かかります。(抜歯¥4,000〜10,000/本)
|
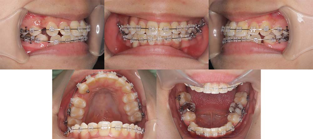
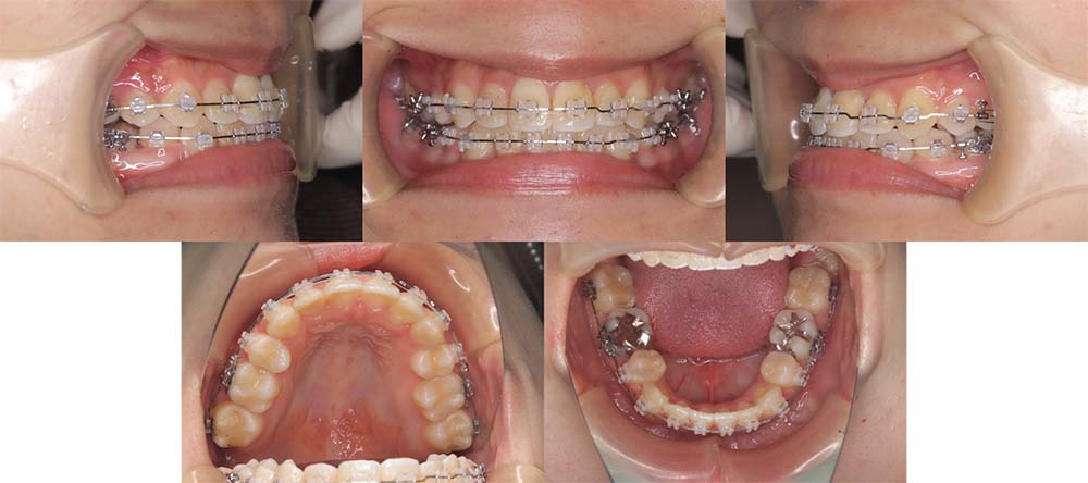
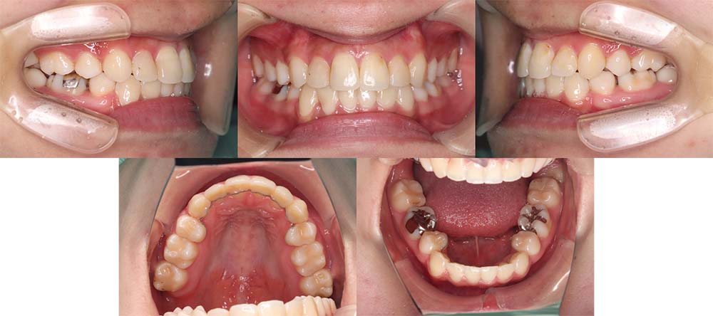
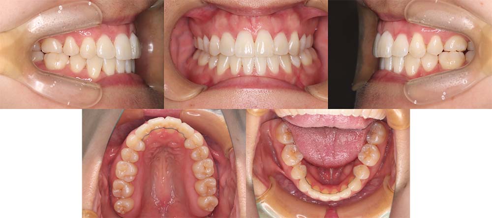
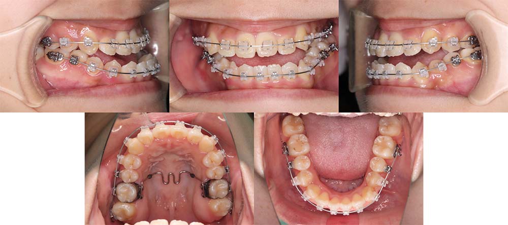
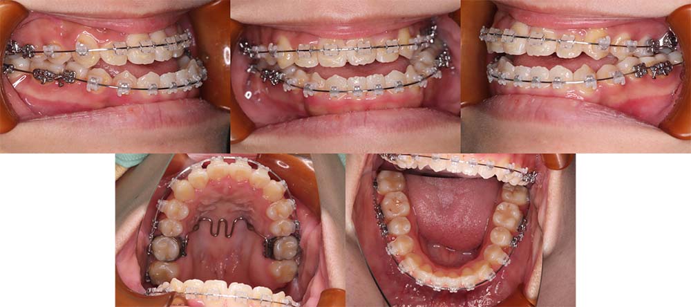
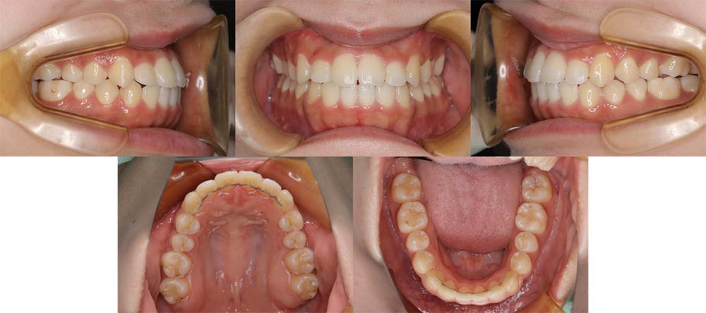
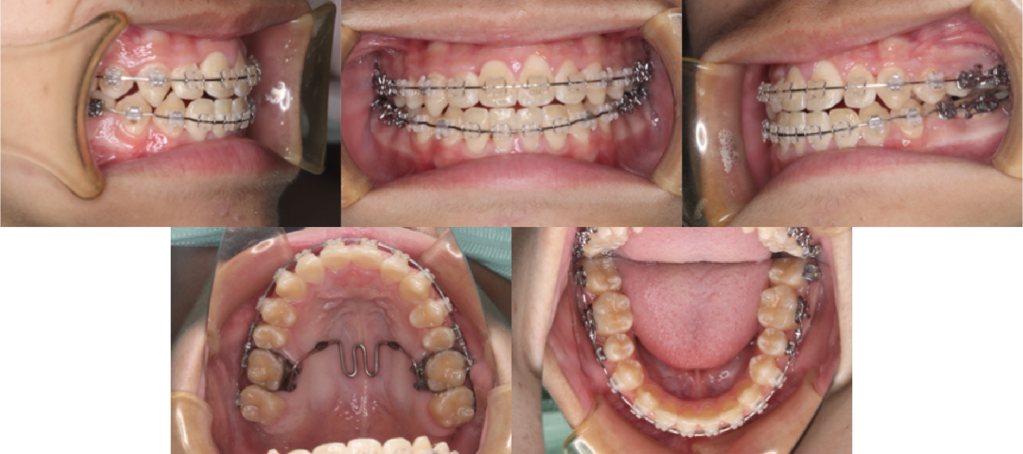
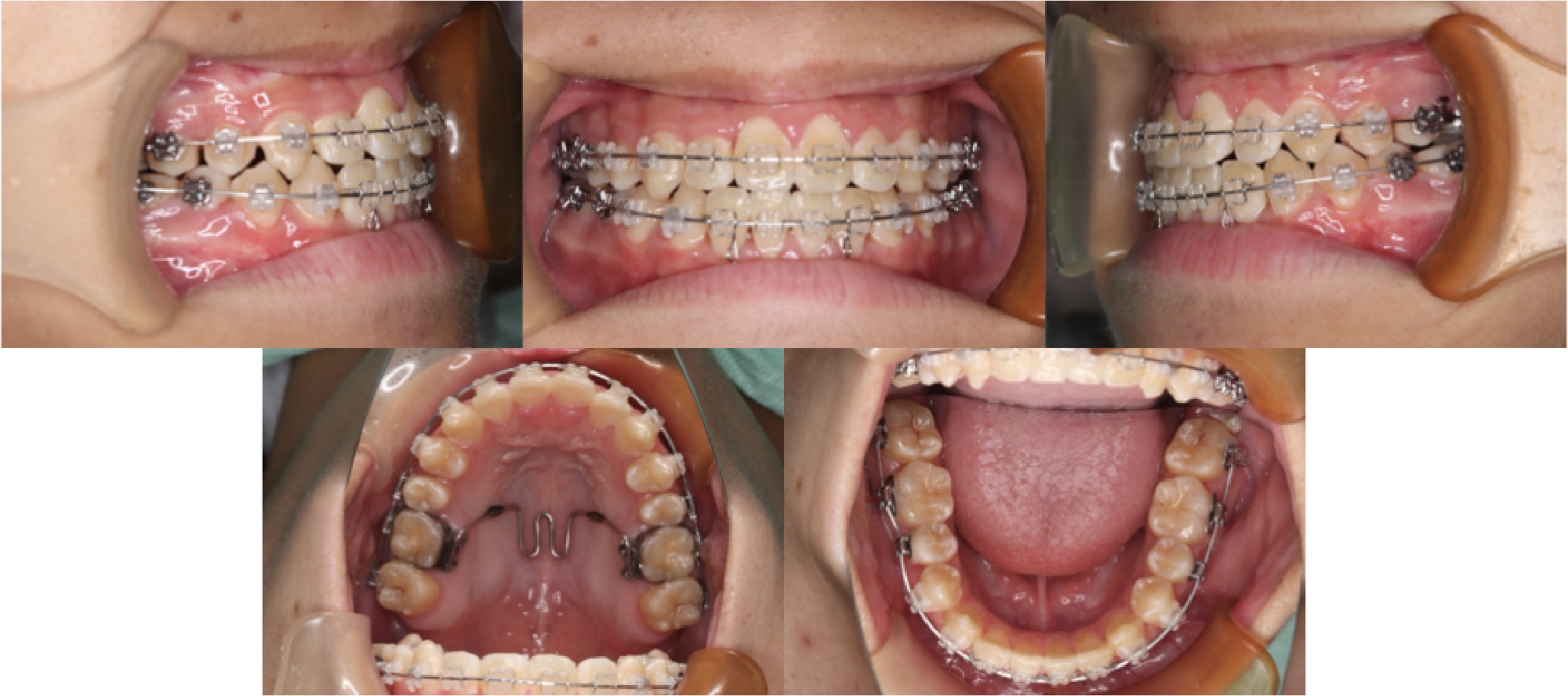
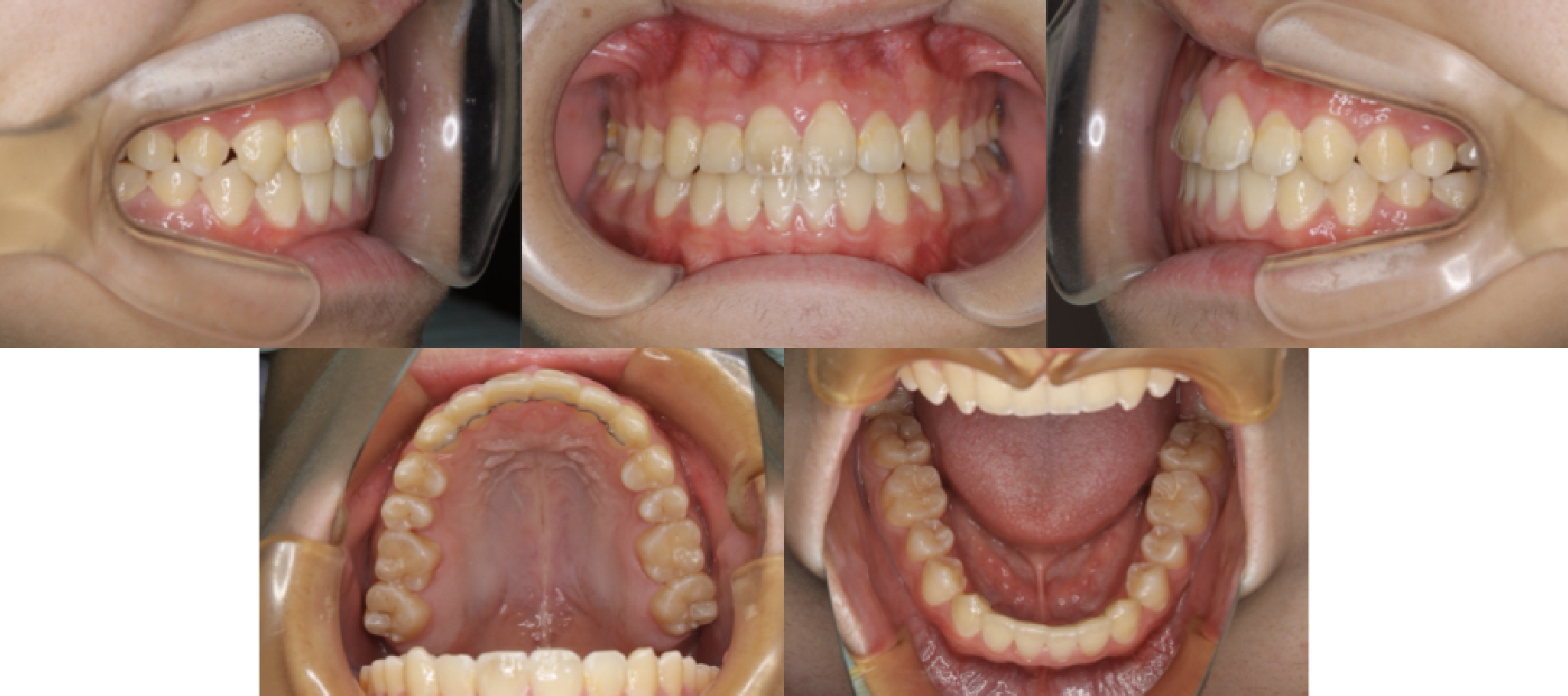
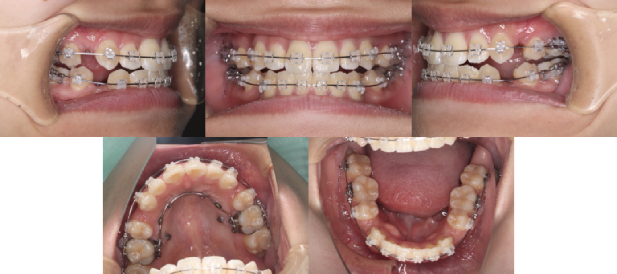
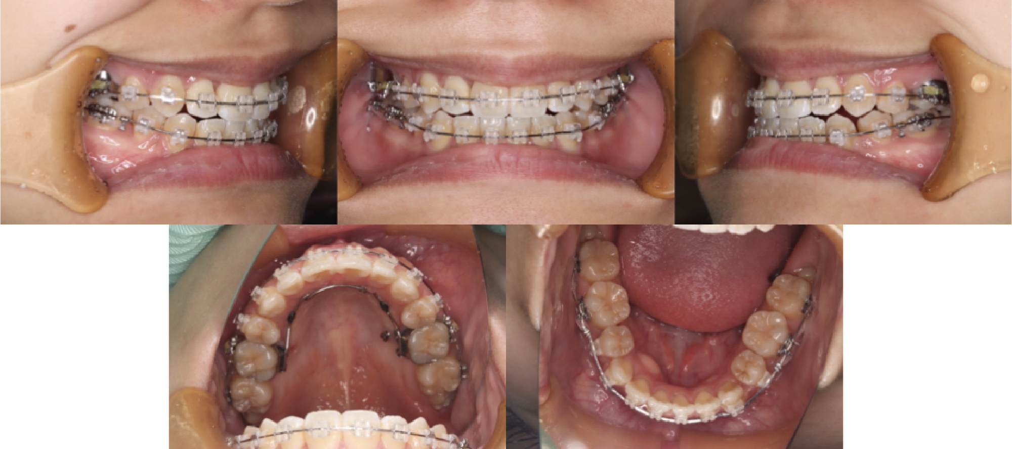
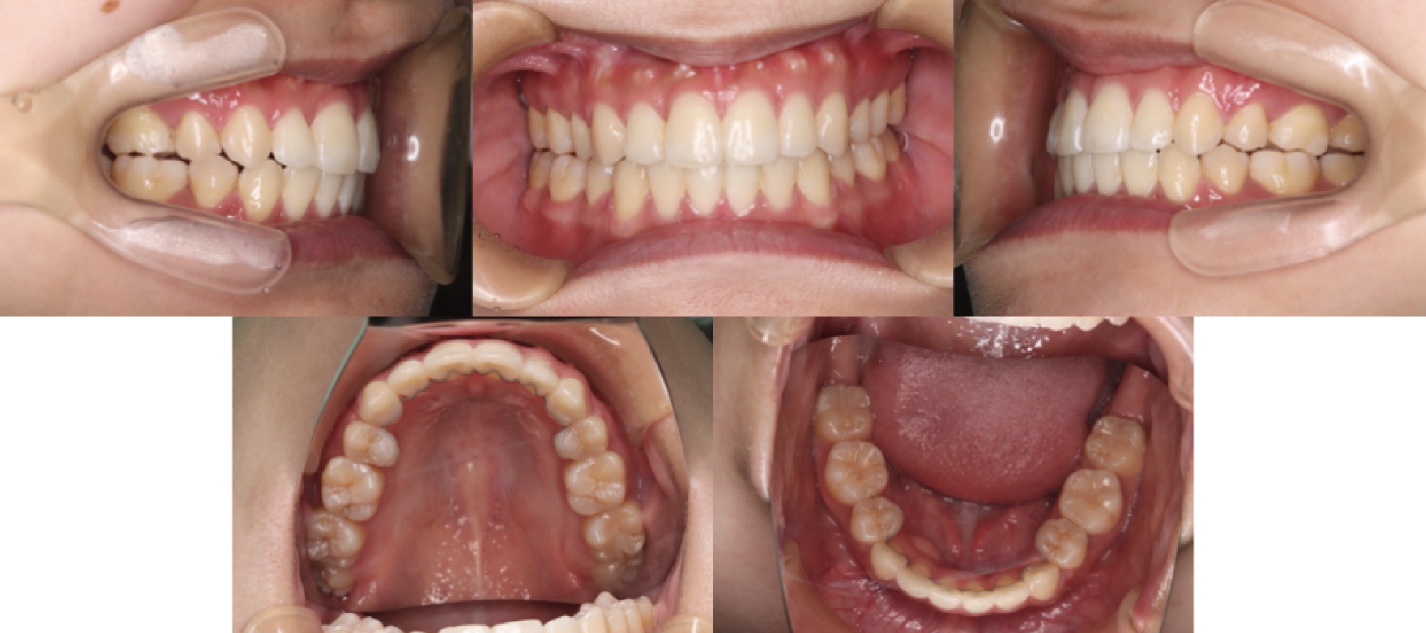
上下のガタガタが重度なため、上下第一小臼歯を抜去して上下表側のマルチブラケット装置で治療を行いました。治療途中に顎間ゴムを6ヶ月間程度使用して頂きました。顎間ゴムの協力度も良好だったため、治療予定期間が2年〜2年半でしたが、1年11ヶ月で治療が終了致しました。
口唇突出感もややありましたが、上下前歯を舌側に移動させたため口唇が下がり口元もきれいになりました。
※写真の使用は患者様から同意を頂いております。






自費診療(保険外診療)となります。セルフケアを怠ると、虫歯・歯周病を発症する場合があります。矯正治療は患者様の協力がなければ改善できません。指示された矯正装置は必ず注意事項を守って着用が必要です。また来院期間を守って来院してください。治療結果、治療期間及び治療費に大きく影響が出る場合があります。不正咬合の状態によっては、適応しない場合があります。治療中装置の装着や咬合状態の変化などにより、一時的に咬みにくくなる場合があります。歯の動く速さや成長発育の時期には個人差があるため、治療期間が予定よりも大きく変更されることがあります。また、治療計画を変更せざるを得ない場合があります。骨性癒着(歯と骨がくっついてしまう症状)はぶつけるなど外傷のある歯や、長期間炎症が起こしていた歯などによく見られ、歯根膜の損傷が主な原因と考えられています。そのような骨性癒着を起こしている歯は矯正力をどれだけ加えても動きません。骨性癒着は精密検査でも診断できないことがほとんどです。そのため、治療途中に治療方針を変更せざるを得ない場合があります。歯や顎は動かした後に元の位置に戻ろうとするため、治療終了後は保定装置というものを使用します。 それらの装置は指示通りに使用してください。使用しないと後戻りする可能性があります。
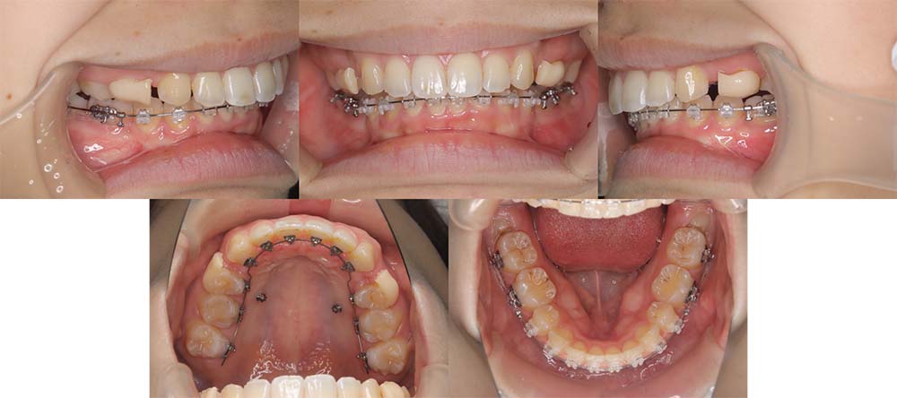
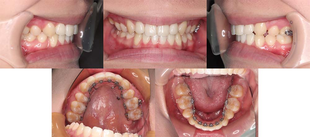
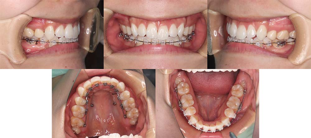
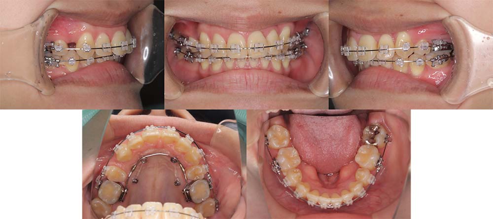
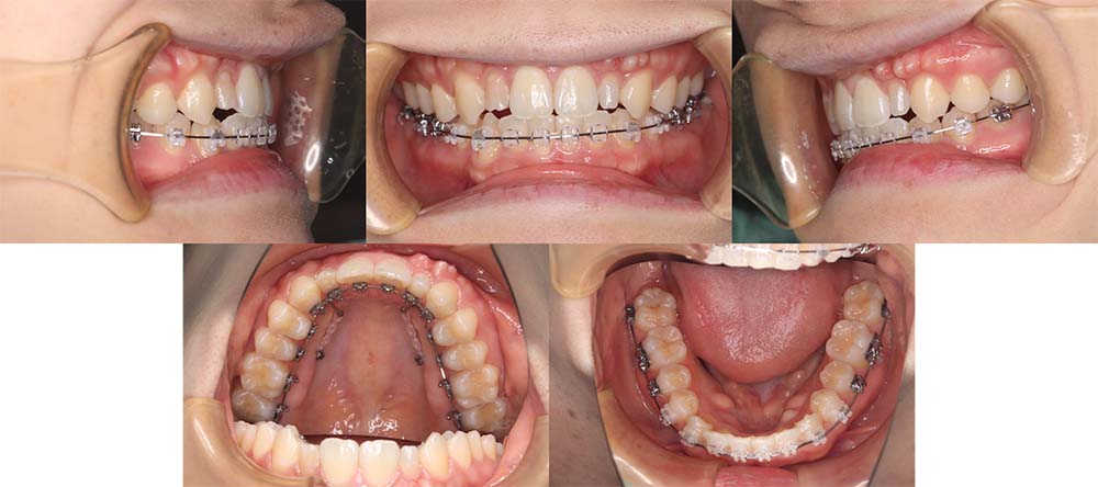
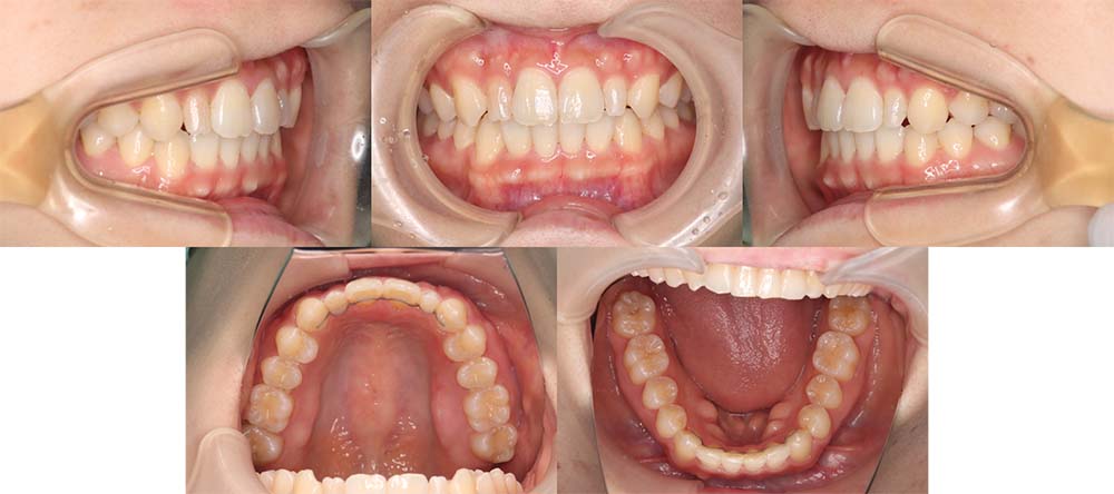
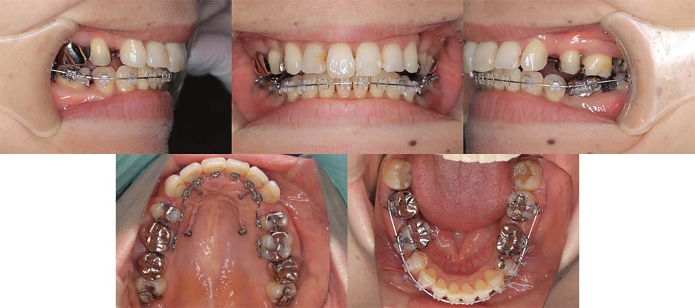
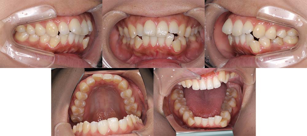
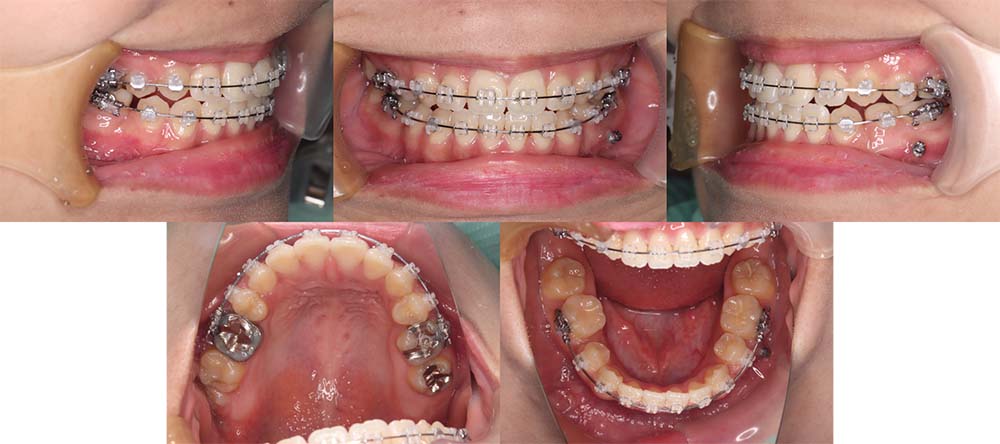
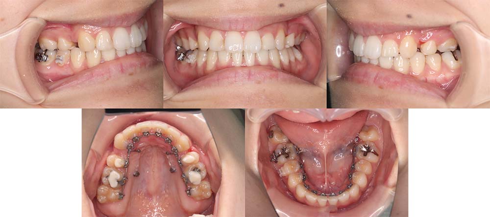
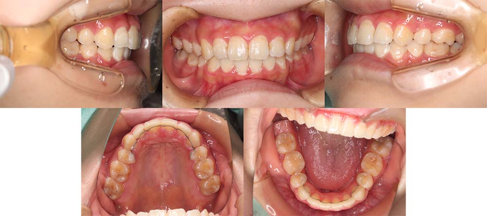
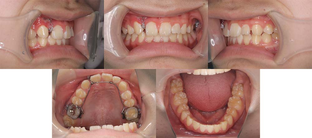
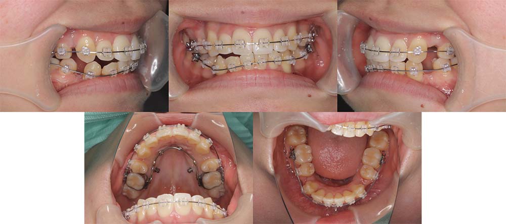
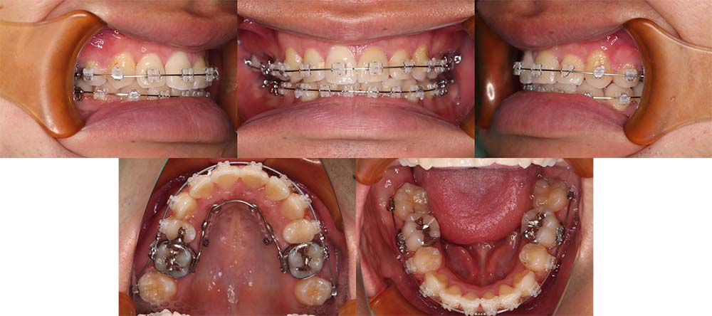
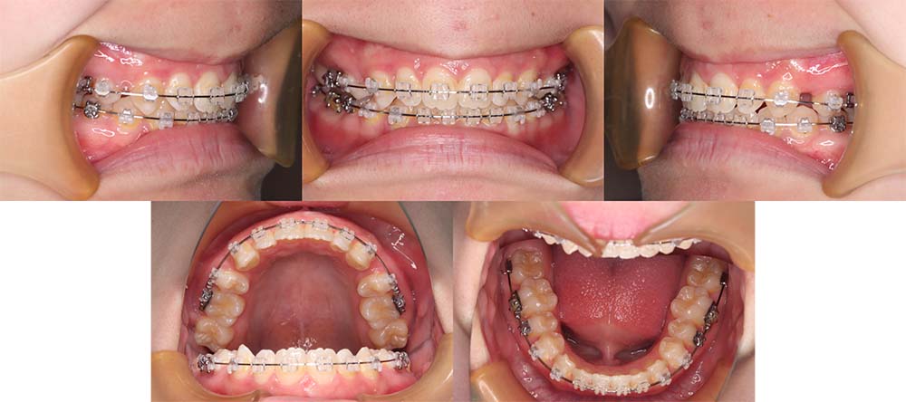
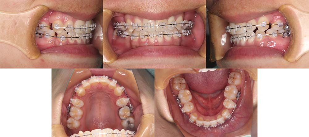
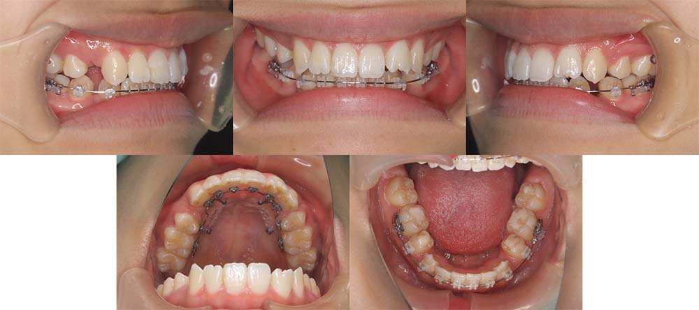
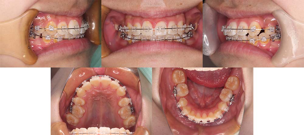
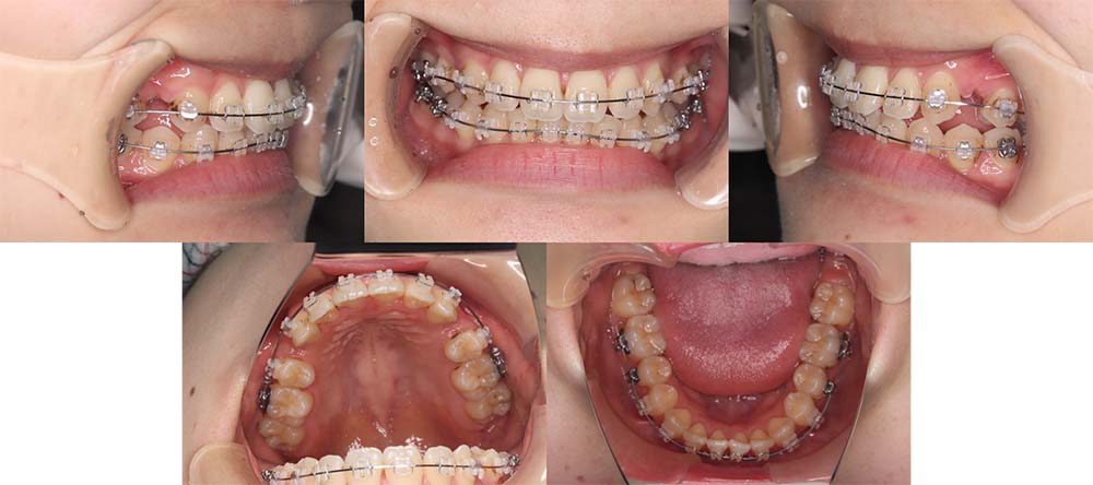
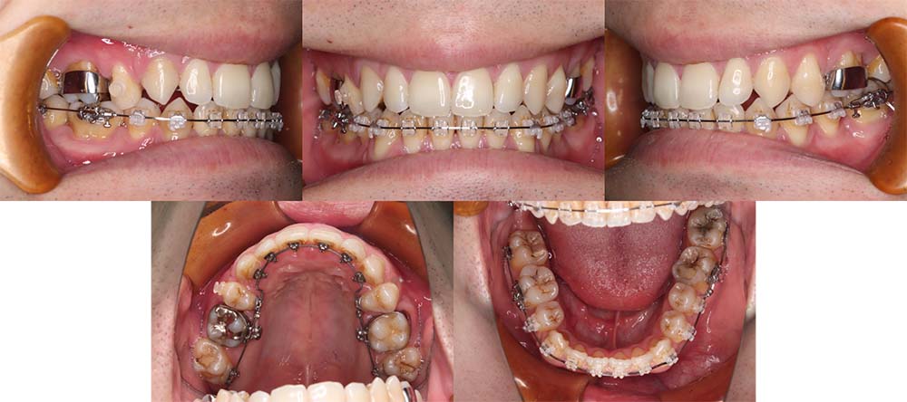
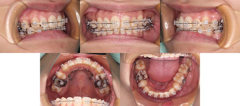
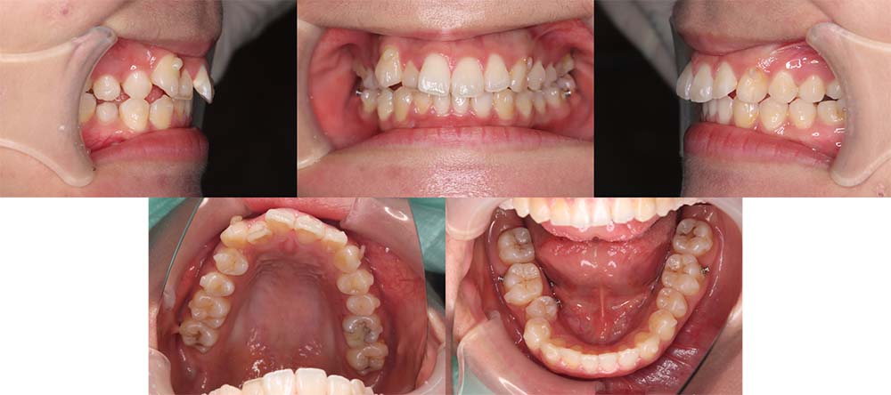
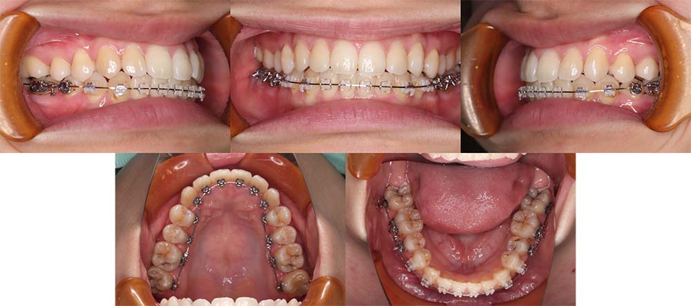
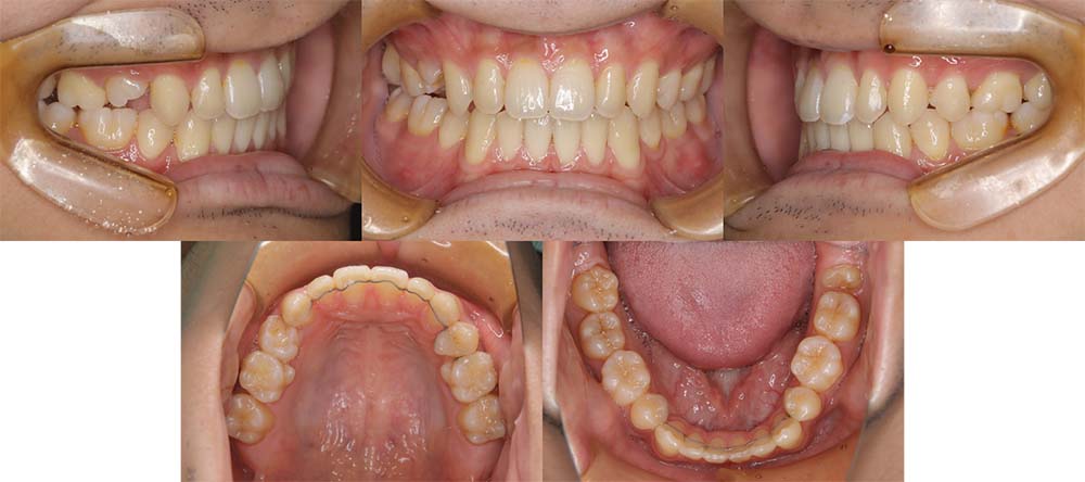
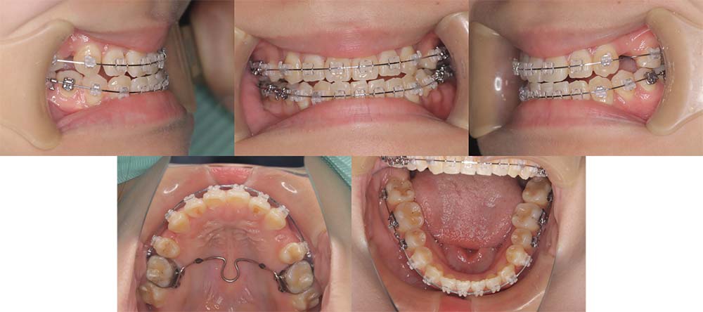
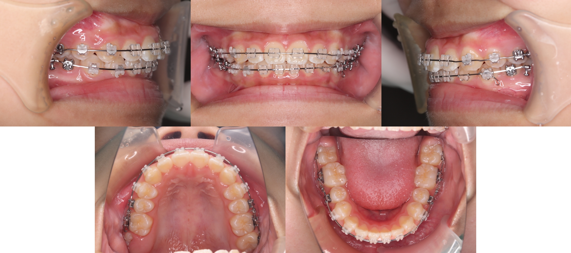
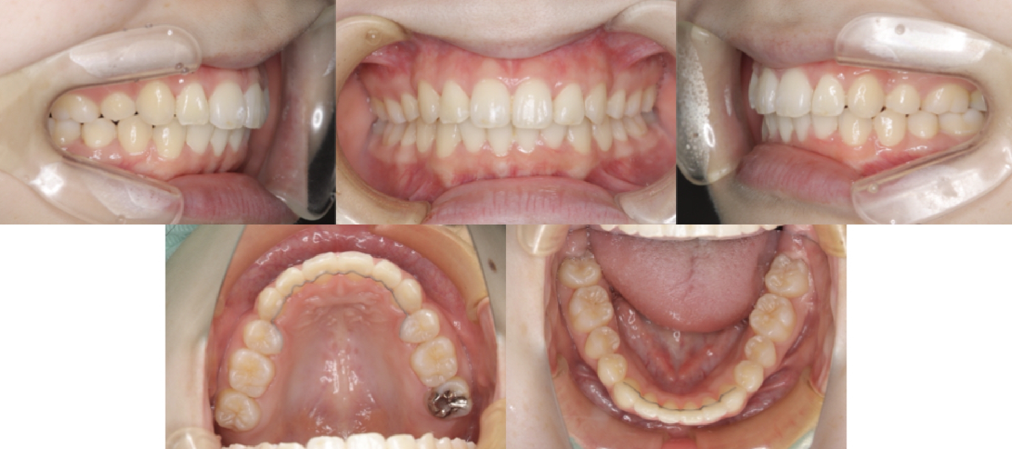
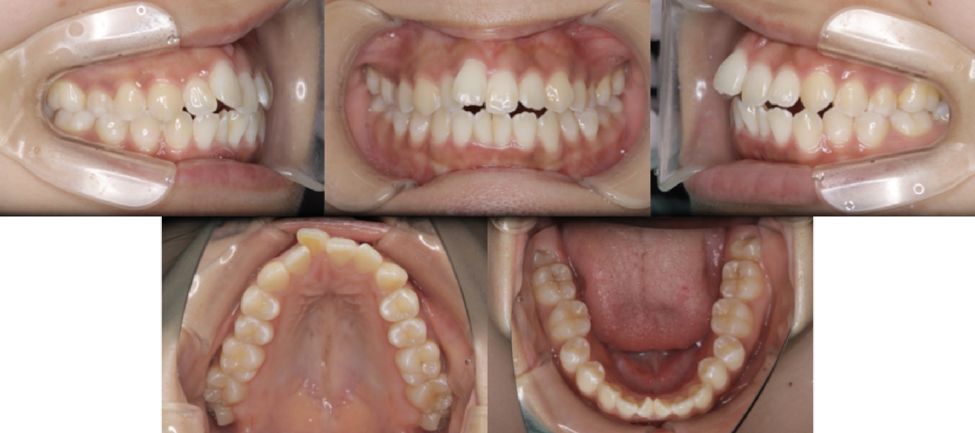
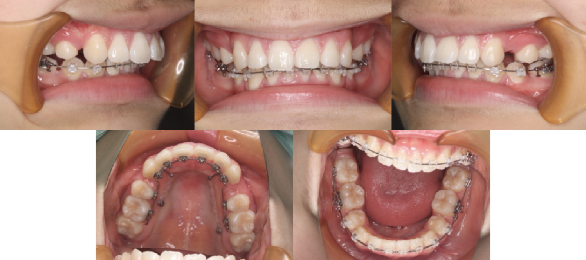
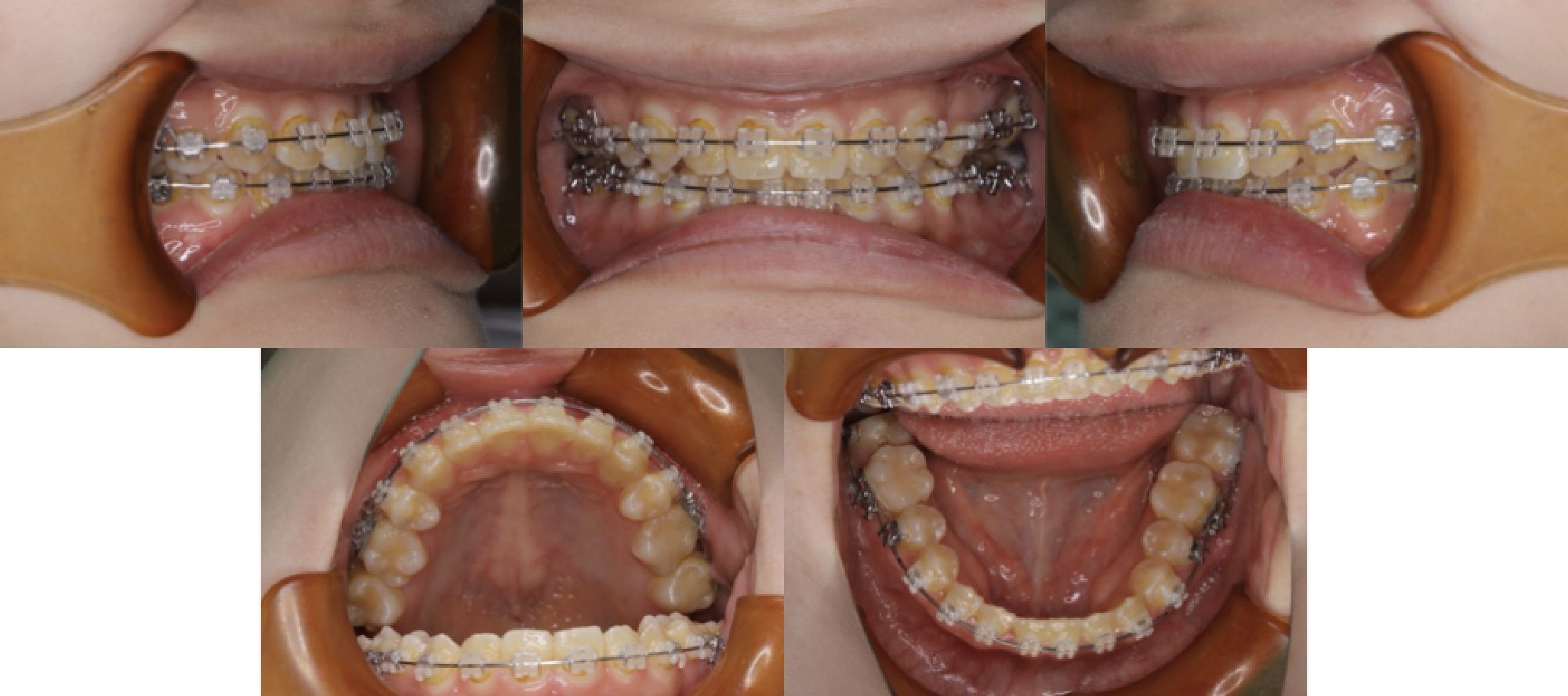
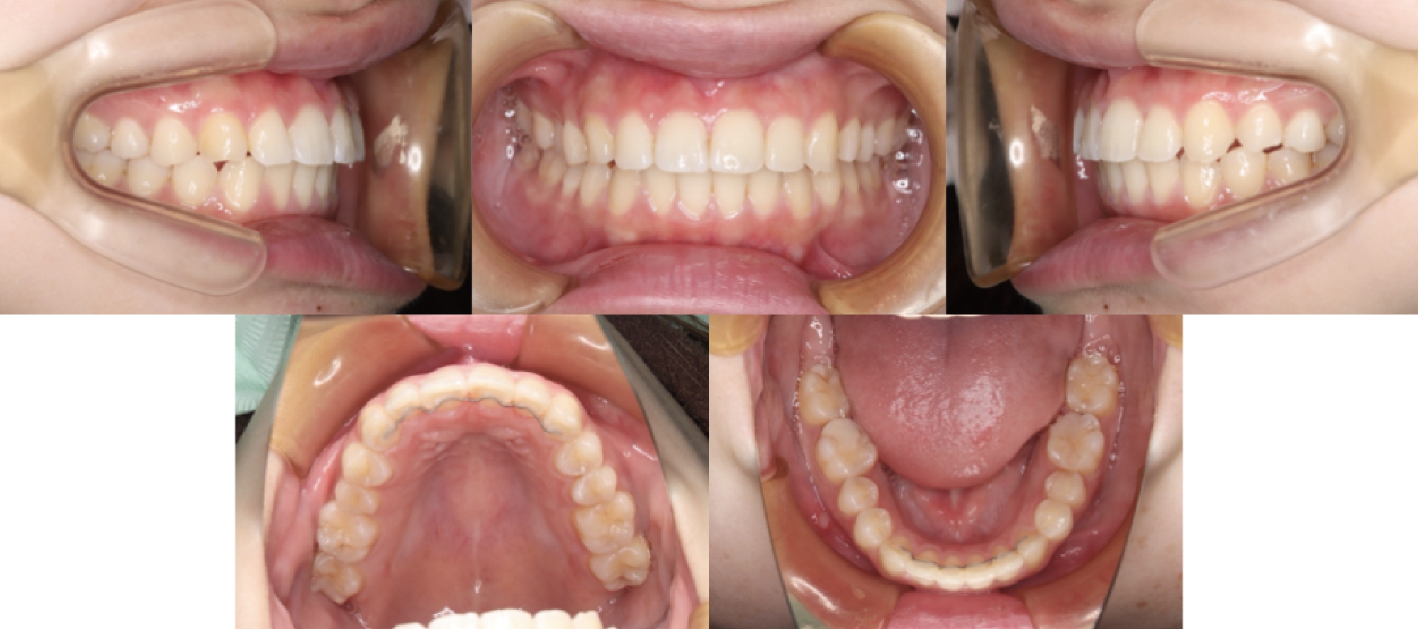
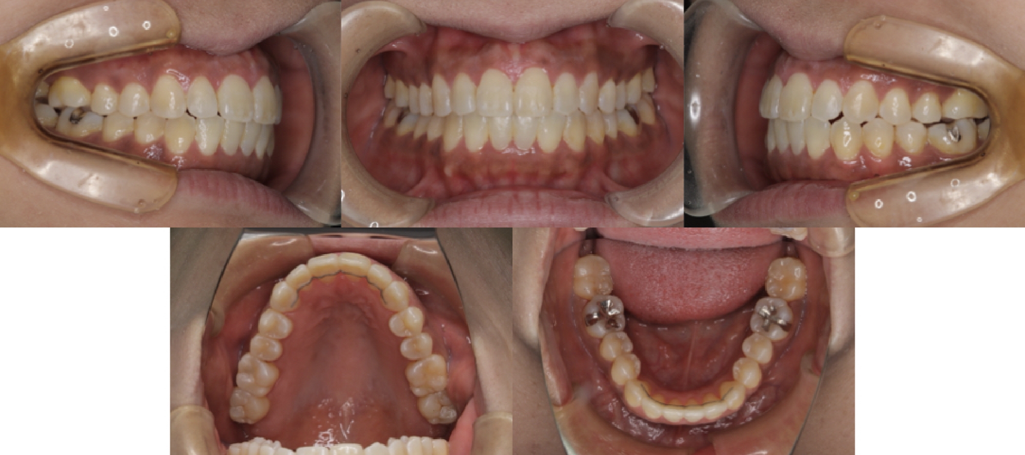
| 症例分類 | 上顎前突、口唇突出 |
| 診断名 | 骨格性上顎前突 |
| 主訴 | 口元が気になる、口が閉じられない、噛み合わせが悪い、発音に支障あり |
|---|---|
| 年齢 | 24歳10ヶ月 |
| 性別 | 女性 |
| 抜歯部位 | 上の左右第一小臼歯と下の左右第二小臼歯(4本) |
| 使用装置 | 上は裏側、下は表側のワイヤー装置 |
| 治療期間 | 2年11ヶ月 |
| 保定装置 | 固定式保定装置、取り外し式保定装置(8時間) |
| 費用 |
[検査・診断料] ¥49,500 [基本施術料] ¥1,056,000 [調整料] ¥5,500/回 [抜歯] ¥5,500/本 [保定装置] ¥55,000(税込) 抜歯や虫歯治療は他院にて費用が別途かかります。(抜歯¥4,000〜10,000/本)
|
上下前歯の唇側傾斜があり口唇閉鎖不全と口唇突出感があるため上顎両側の第一小臼歯と下顎両側の第二小臼歯を抜去して治療を行いました。
矯正用アンカースクリューを用いて前歯をしっかりと舌側移動させることができました。
歯の動きが遅かったため治療期間が予定より延びてはしまいましたが、口唇閉鎖不全と口唇突出感の改善をすることができました。
※写真の使用は患者様から同意を頂いております。






自費診療(保険外診療)となります。セルフケアを怠ると、虫歯・歯周病を発症する場合があります。矯正治療は患者様の協力がなければ改善できません。指示された矯正装置は必ず注意事項を守って着用が必要です。また来院期間を守って来院してください。治療結果、治療期間及び治療費に大きく影響が出る場合があります。不正咬合の状態によっては、適応しない場合があります。治療中装置の装着や咬合状態の変化などにより、一時的に咬みにくくなる場合があります。歯の動く速さや成長発育の時期には個人差があるため、治療期間が予定よりも大きく変更されることがあります。また、治療計画を変更せざるを得ない場合があります。骨性癒着(歯と骨がくっついてしまう症状)はぶつけるなど外傷のある歯や、長期間炎症が起こしていた歯などによく見られ、歯根膜の損傷が主な原因と考えられています。そのような骨性癒着を起こしている歯は矯正力をどれだけ加えても動きません。骨性癒着は精密検査でも診断できないことがほとんどです。そのため、治療途中に治療方針を変更せざるを得ない場合があります。歯や顎は動かした後に元の位置に戻ろうとするため、治療終了後は保定装置というものを使用します。 それらの装置は指示通りに使用してください。使用しないと後戻りする可能性があります。
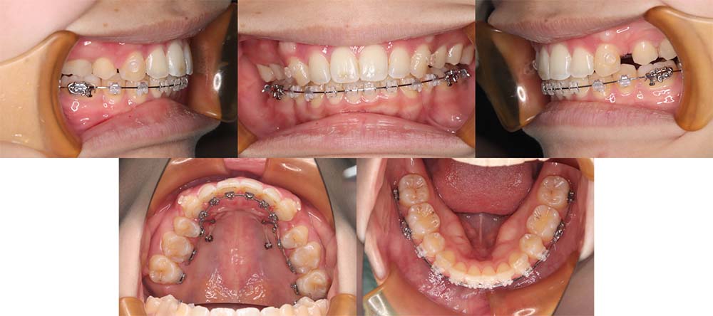
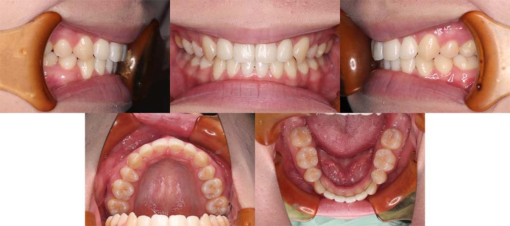
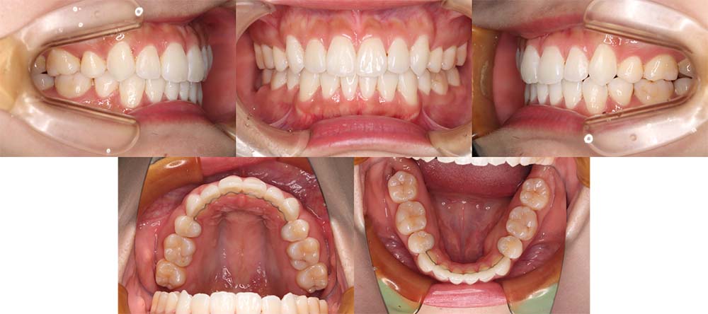
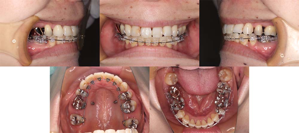
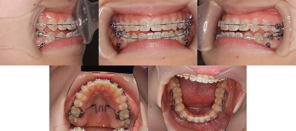
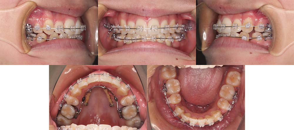
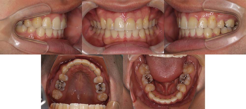
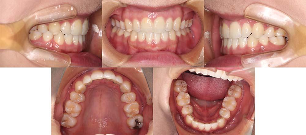
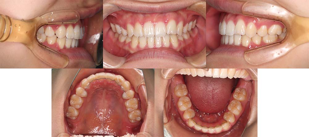
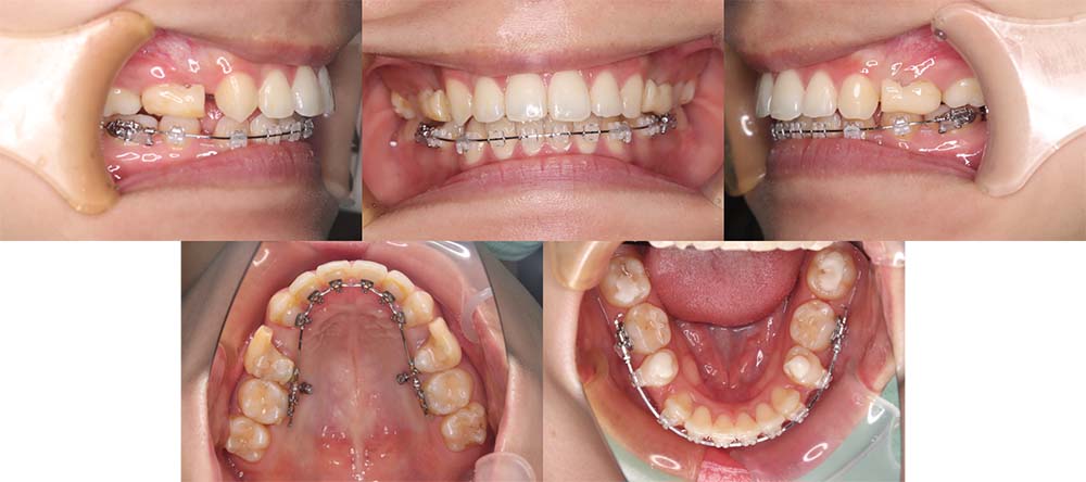
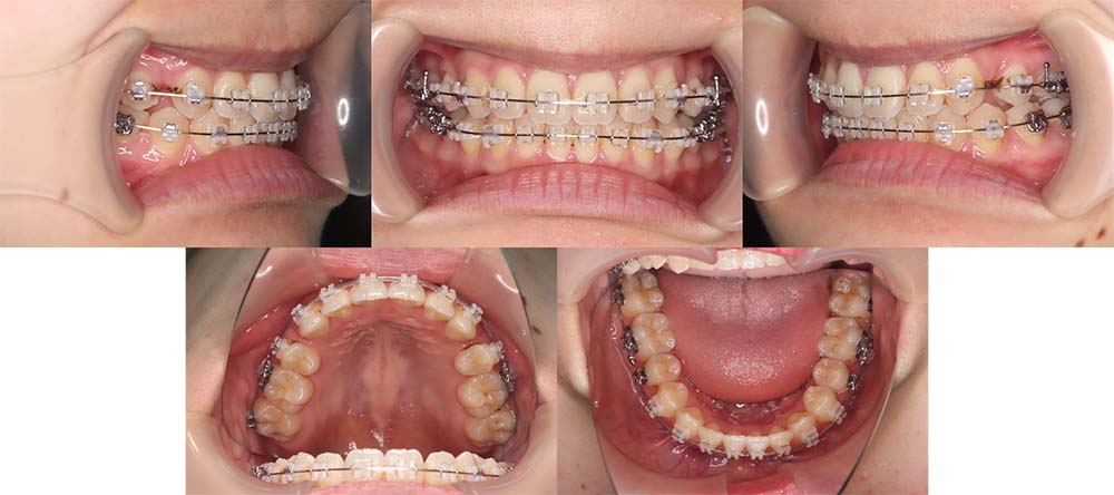
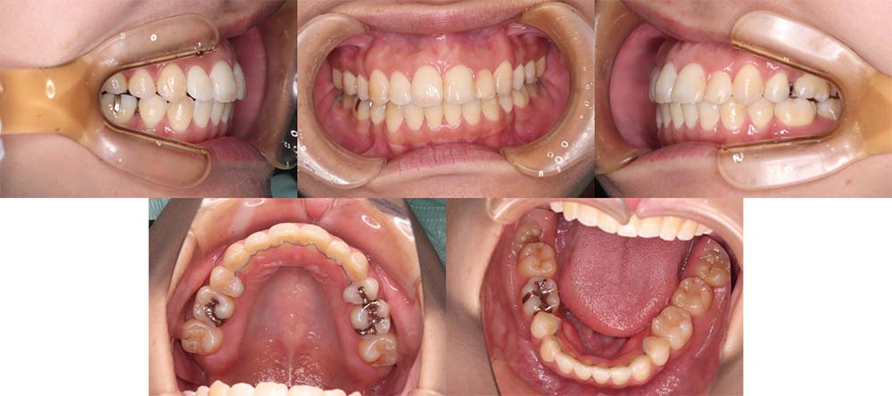
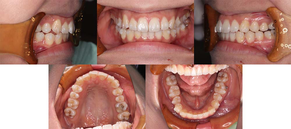
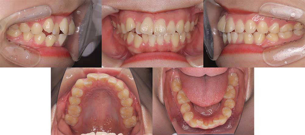
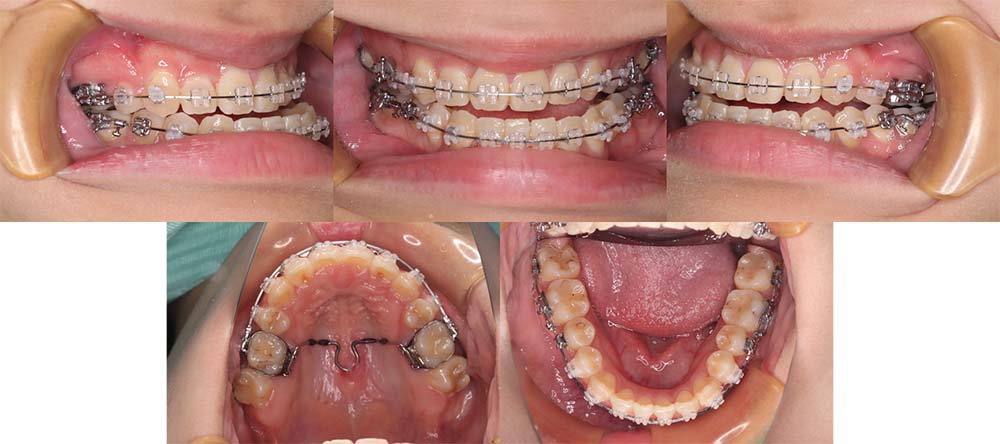
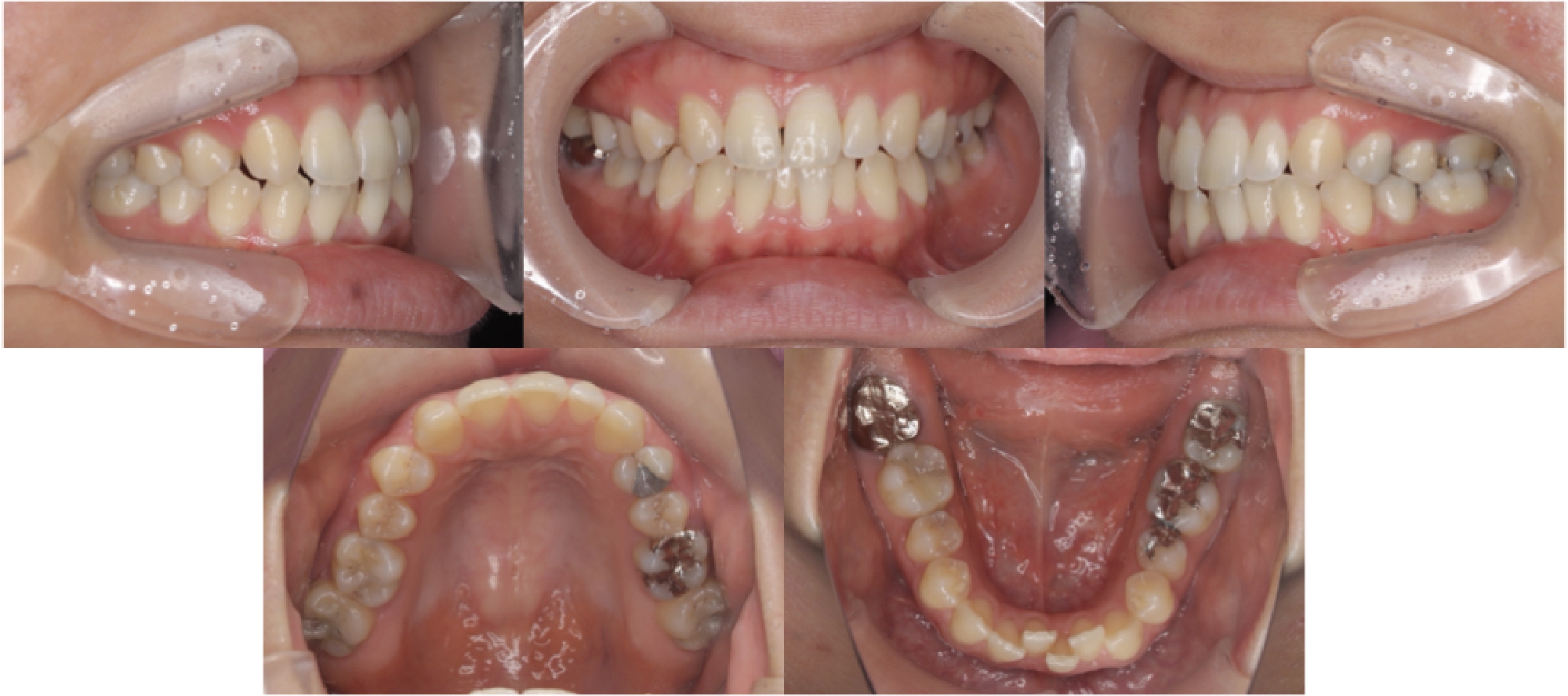
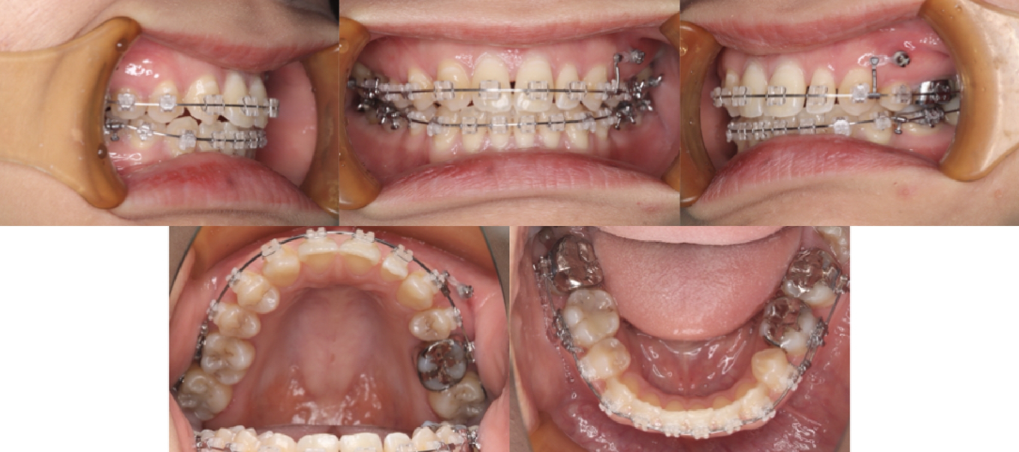
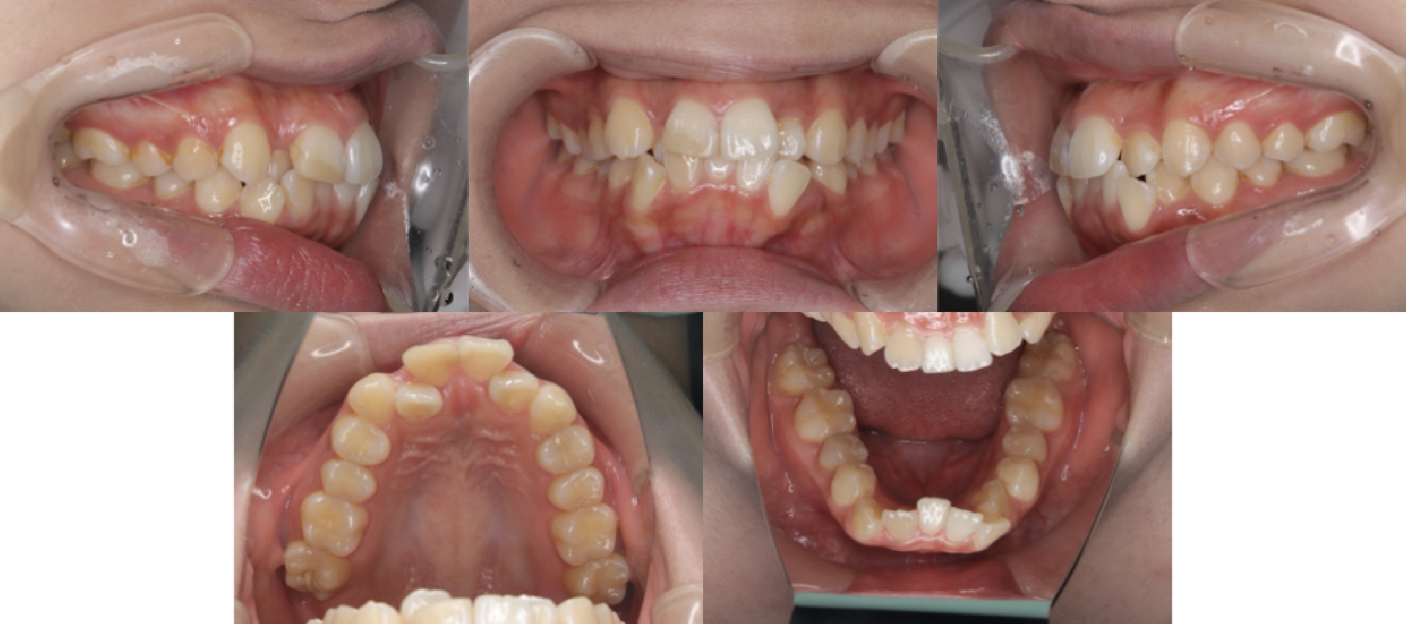
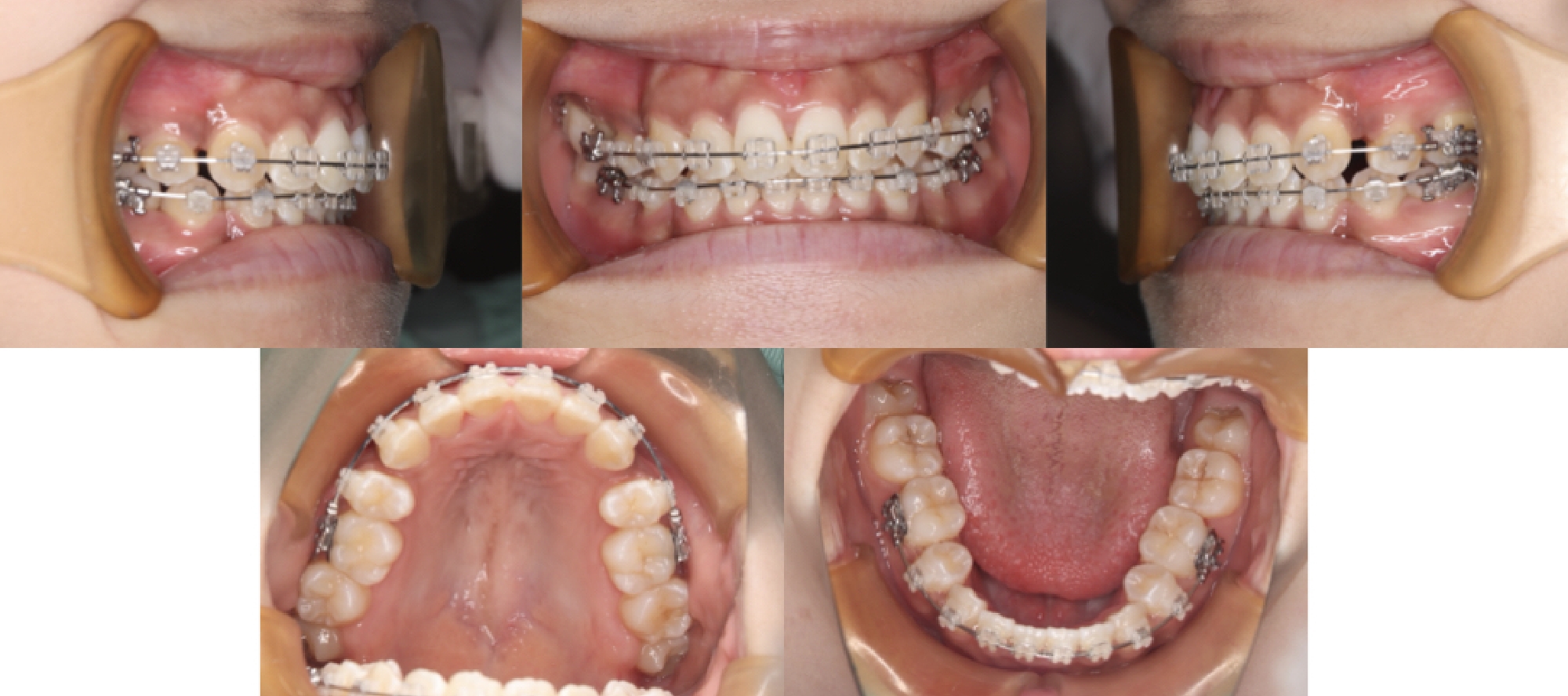
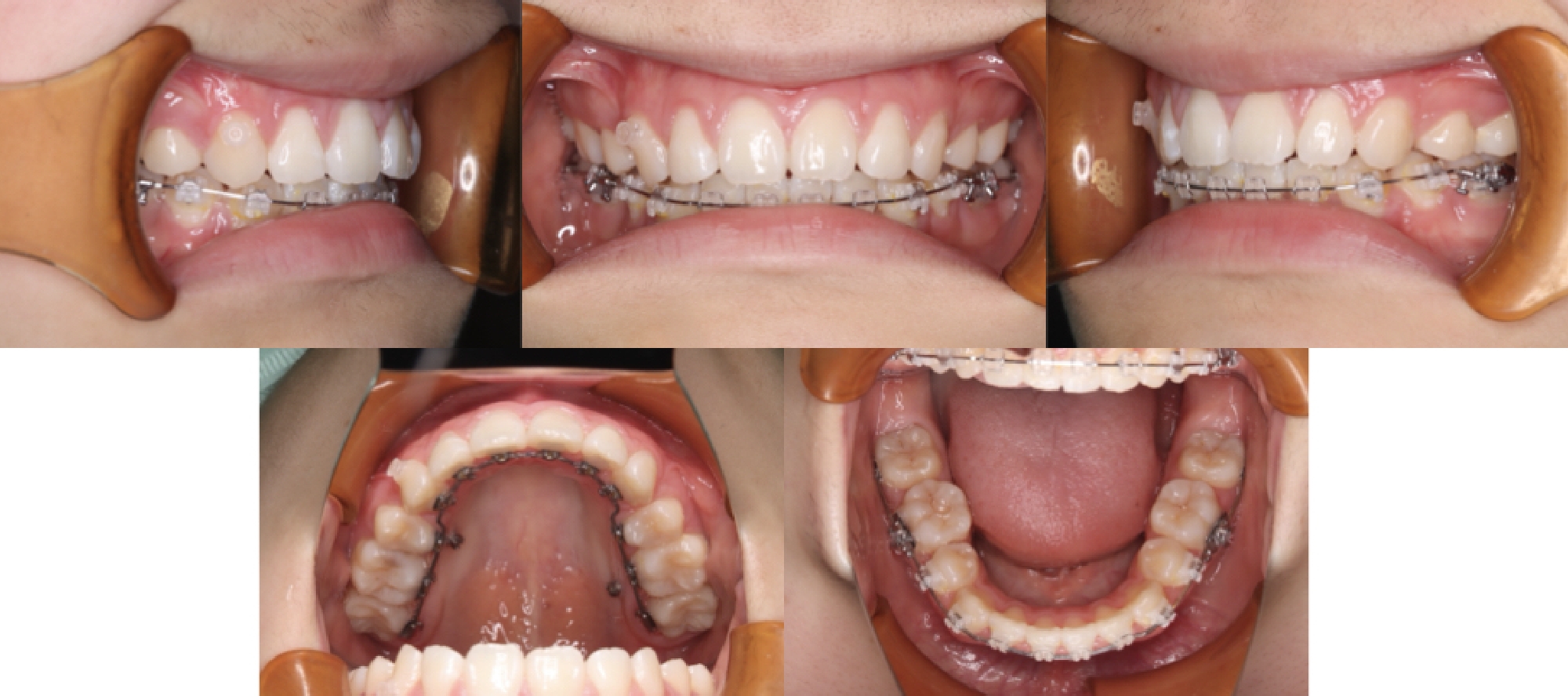
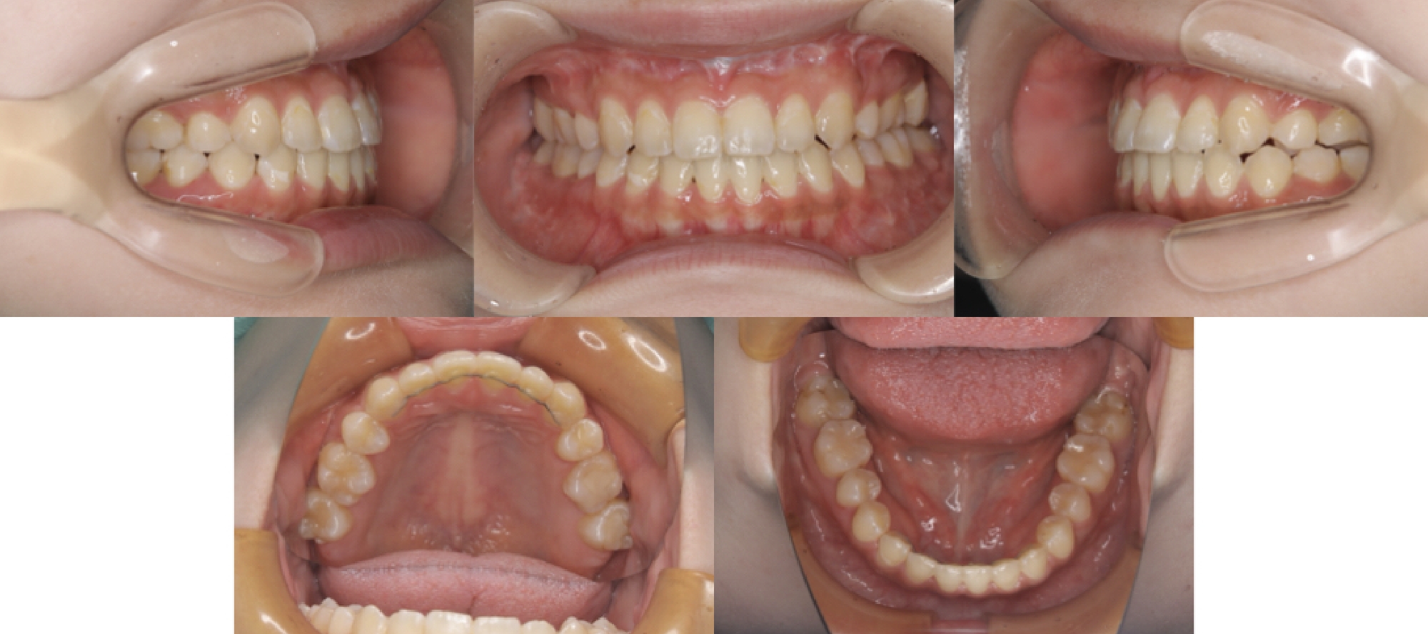
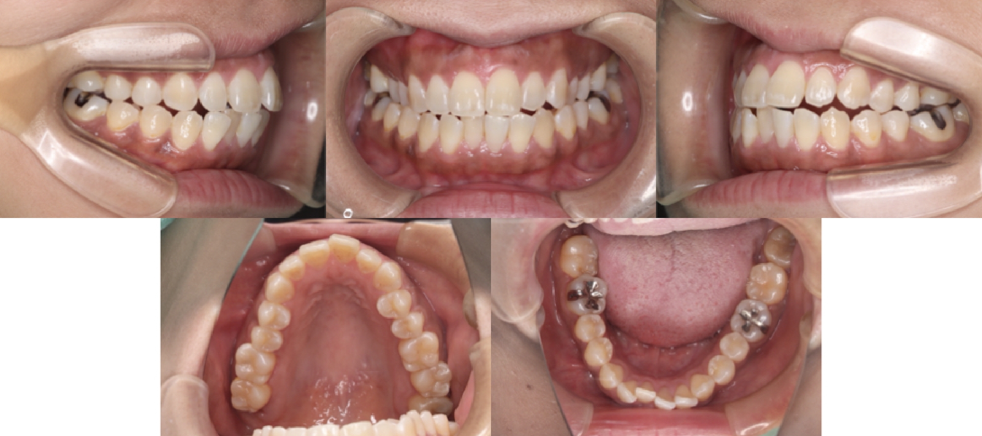
| 症例分類 | 上顎前突、叢生、シザースバイト |
| 診断名 | 右上7のシザーズバイトを伴う上下重度叢生skeletal2 |
| 主訴 | 歯並びが悪くて全体的にガタガタ |
|---|---|
| 年齢 | 19歳11ヶ月 |
| 性別 | 女性 |
| 抜歯部位 | 上顎左右と右下の第一小臼歯、左下の第二小臼歯(4本)、上顎右側第二大臼歯 |
| 使用装置 | 裏側のワイヤー装置 |
| 治療期間 | 2年11ヶ月(5ヶ月程度来院出来ない期間あり) |
| 保定装置 | 固定式保定装置、取り外し式保定装置(8時間) |
| 費用 |
[検査・診断料] ¥49,500 [基本施術料] ¥1,331,000 [調整料] ¥5,500/回 [抜歯] ¥5,500/本 [保定装置] ¥55,000(税込) 抜歯や虫歯治療は他院にて費用が別途かかります。(抜歯¥4,000〜10,000/本)
|
上下の重度叢生と上の歯が前方にあり上顎両側の第一小臼歯と下顎右側第一小臼歯、下顎左側第二小臼歯、上顎右側第二大臼歯(上顎右側親知らずを咬合に使用)を抜去して上下リンガルで治療を行いました。
左上の第二大臼歯部の咬合が深かったため、一時的に頬側に装置をつけさせて頂きました。裏側に装置を装着すると噛み合わせを浅くするためのバイトアップがかなりの量が必要になり咬みづらくなってしまうためです。
5ヶ月程度来院が出来なかった期間がありましたが、問題なく治療を終了することができました。
※写真の使用は患者様から同意を頂いております。






自費診療(保険外診療)となります。セルフケアを怠ると、虫歯・歯周病を発症する場合があります。矯正治療は患者様の協力がなければ改善できません。指示された矯正装置は必ず注意事項を守って着用が必要です。また来院期間を守って来院してください。治療結果、治療期間及び治療費に大きく影響が出る場合があります。不正咬合の状態によっては、適応しない場合があります。治療中装置の装着や咬合状態の変化などにより、一時的に咬みにくくなる場合があります。歯の動く速さや成長発育の時期には個人差があるため、治療期間が予定よりも大きく変更されることがあります。また、治療計画を変更せざるを得ない場合があります。骨性癒着(歯と骨がくっついてしまう症状)はぶつけるなど外傷のある歯や、長期間炎症が起こしていた歯などによく見られ、歯根膜の損傷が主な原因と考えられています。そのような骨性癒着を起こしている歯は矯正力をどれだけ加えても動きません。骨性癒着は精密検査でも診断できないことがほとんどです。そのため、治療途中に治療方針を変更せざるを得ない場合があります。歯や顎は動かした後に元の位置に戻ろうとするため、治療終了後は保定装置というものを使用します。 それらの装置は指示通りに使用してください。使用しないと後戻りする可能性があります。
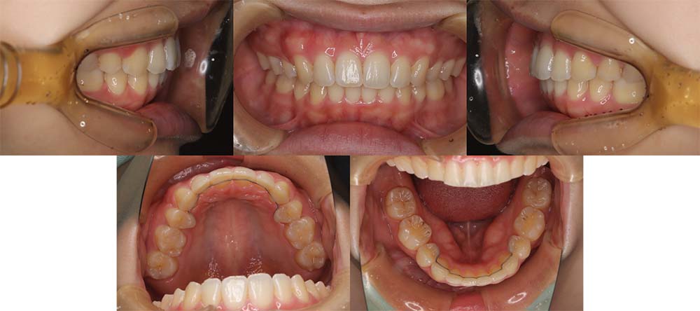
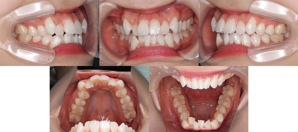
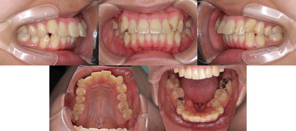
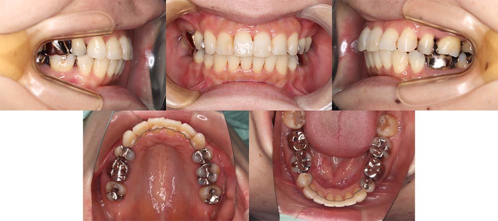
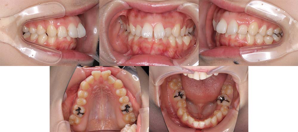
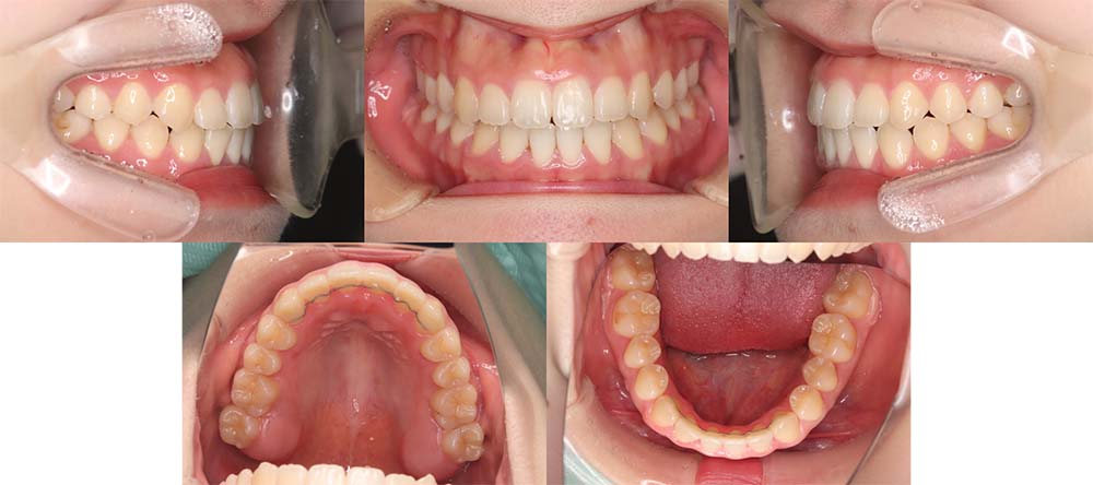
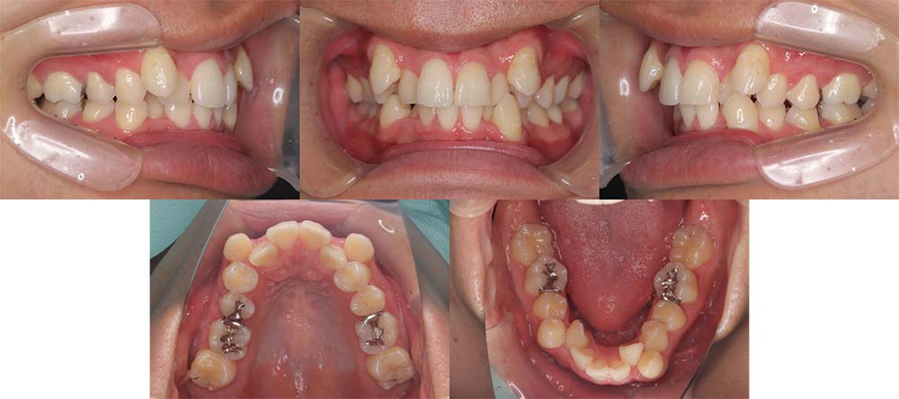
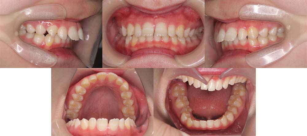
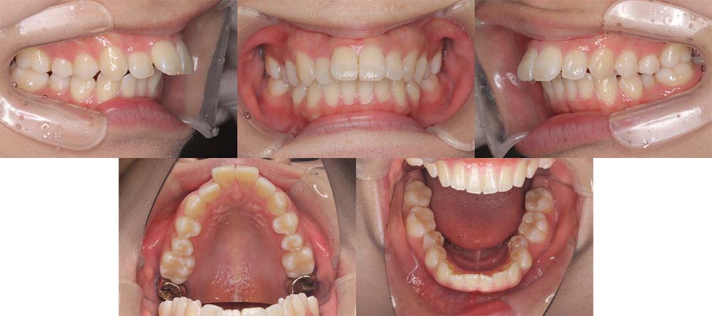
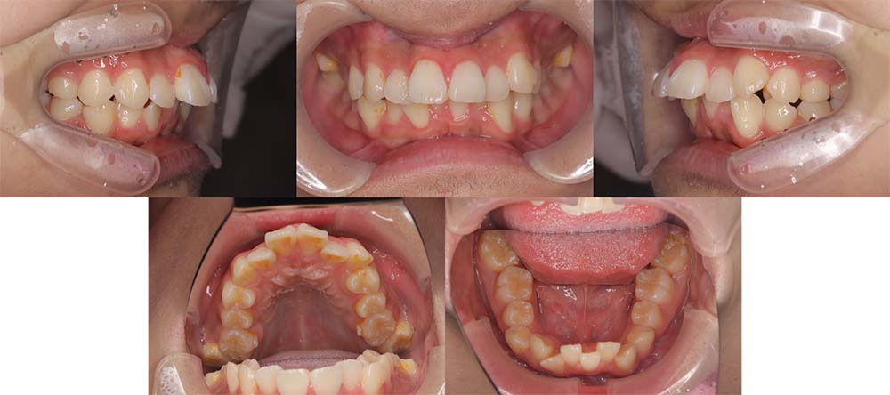
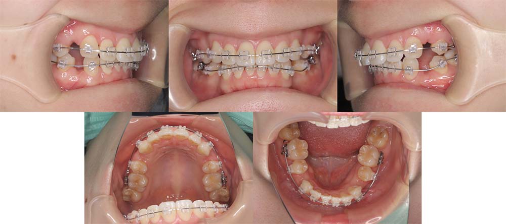
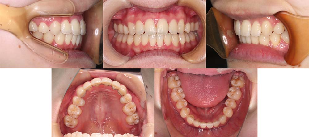
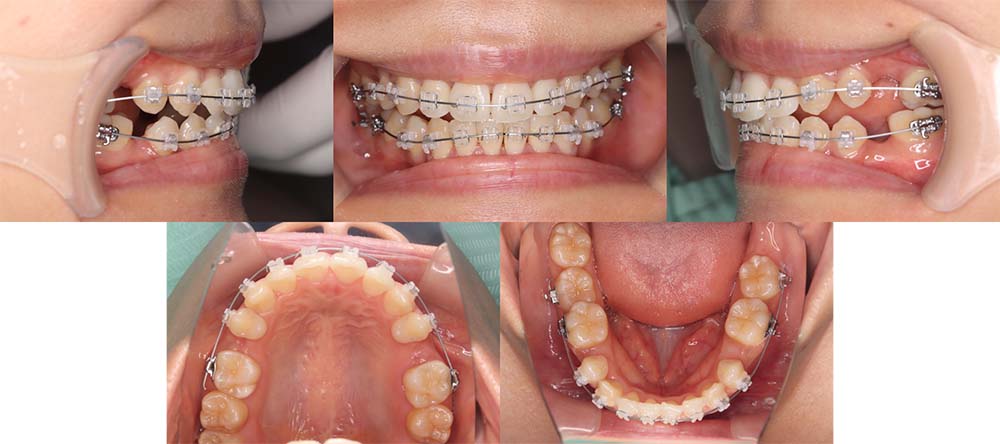
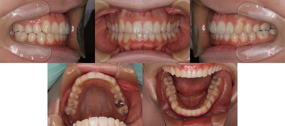
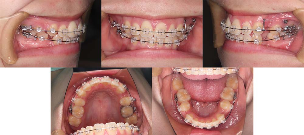
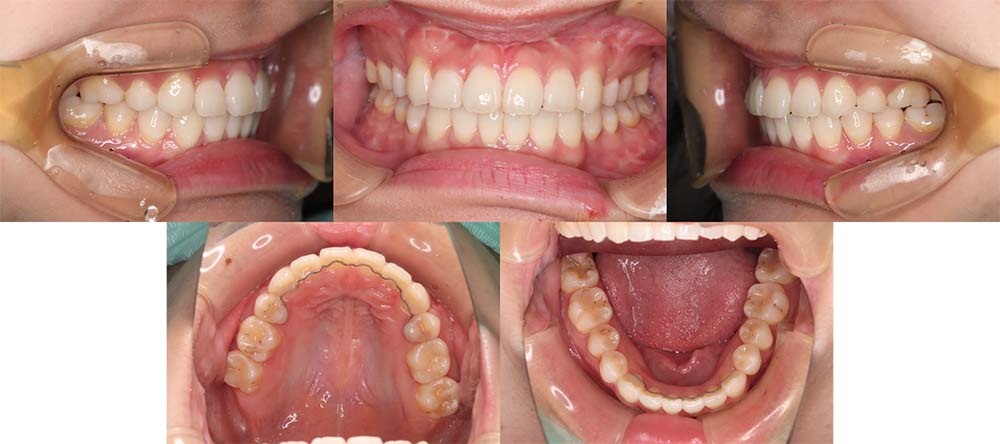
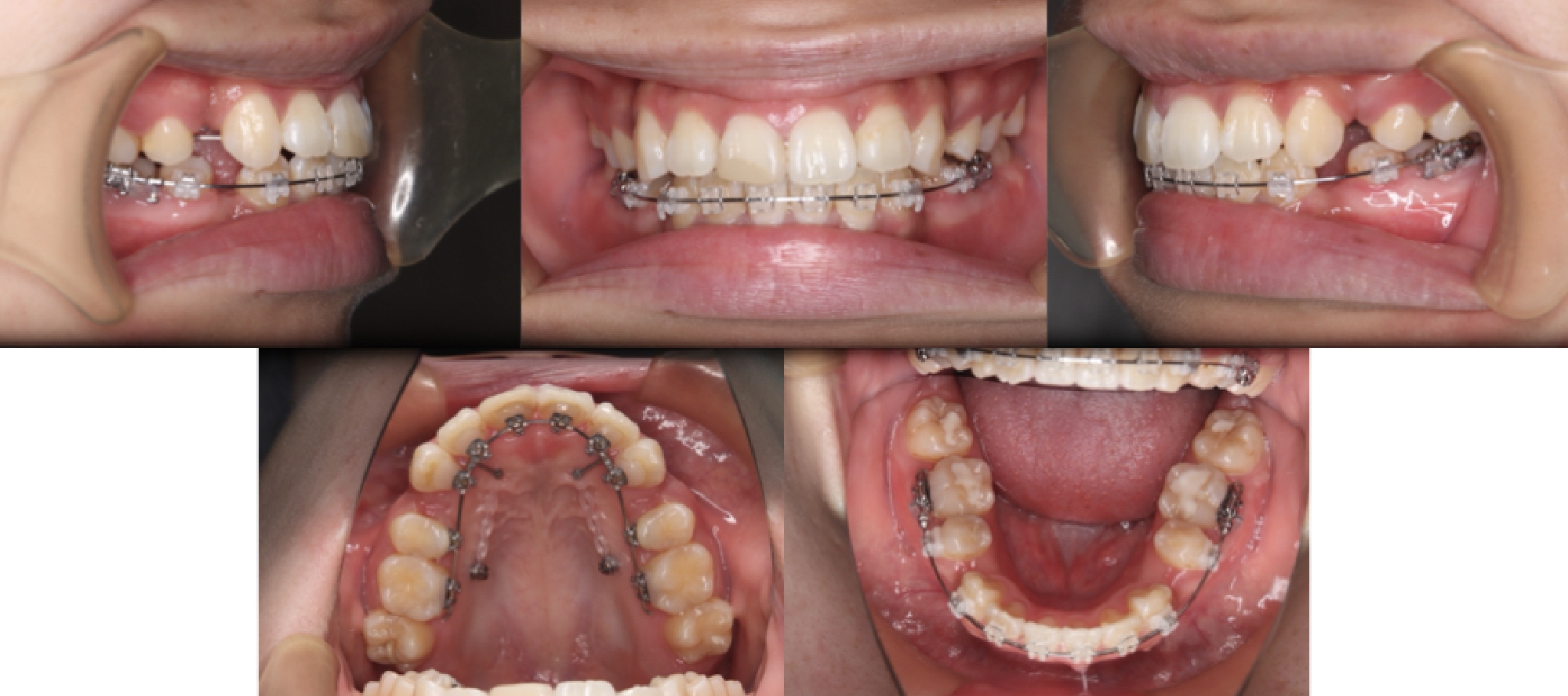
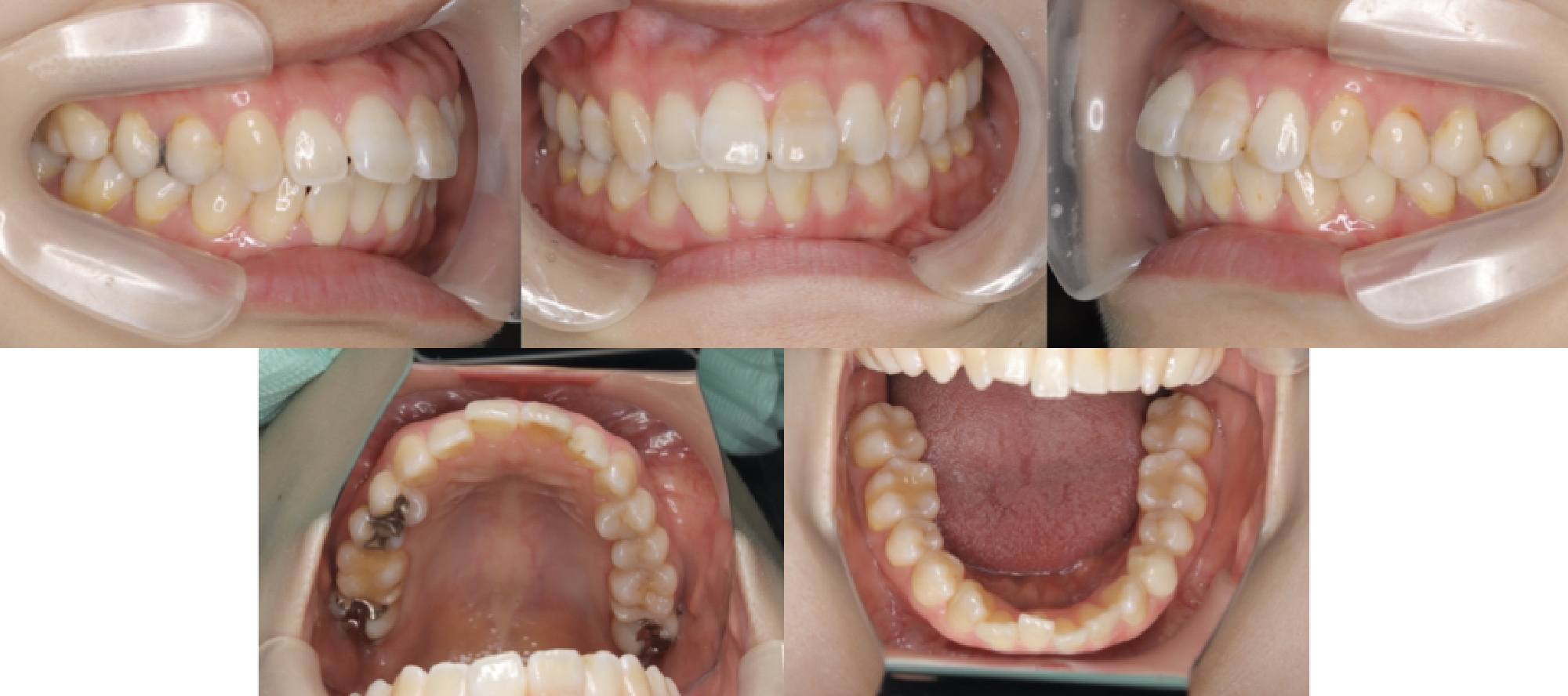
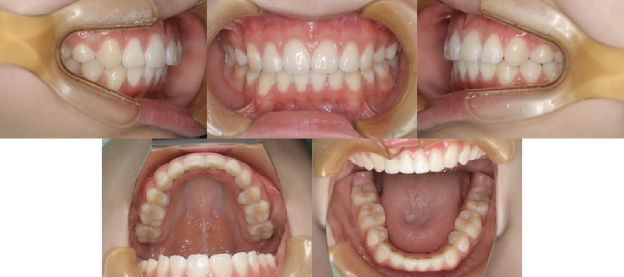
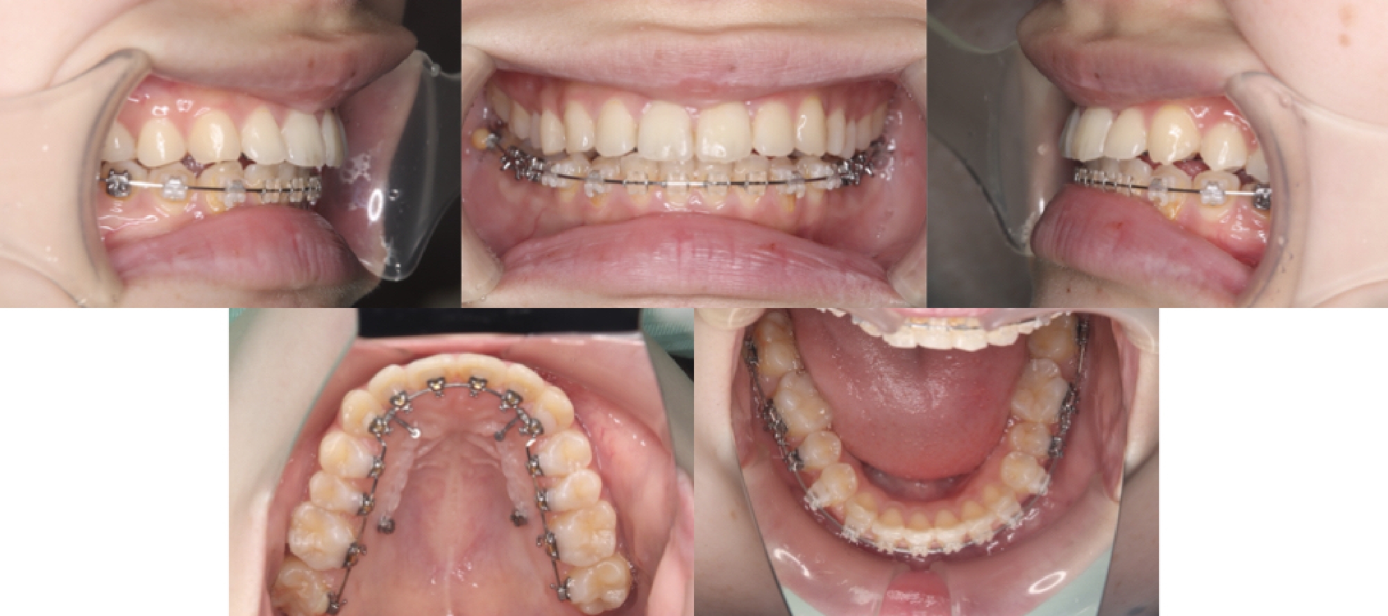
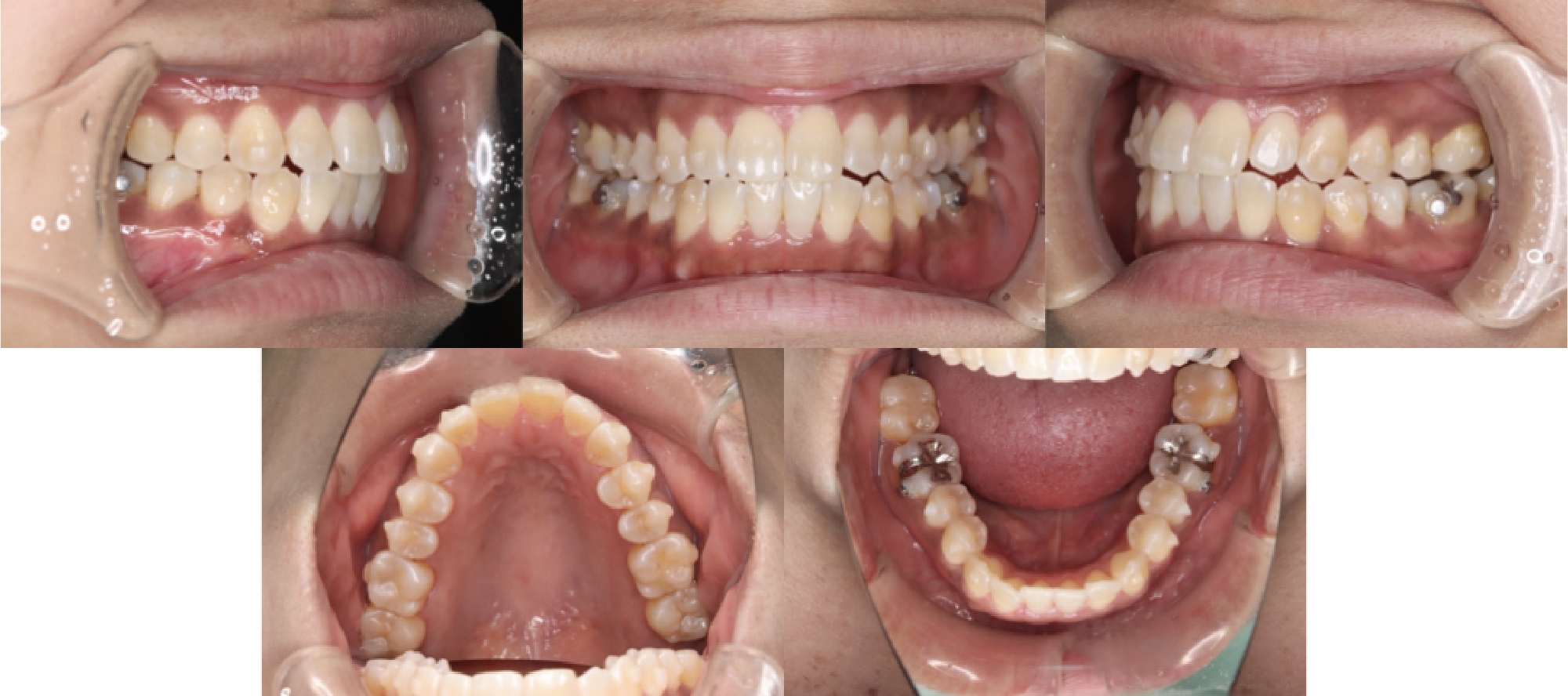
| 症例分類 | 叢生 |
| 診断名 | 上下叢生 |
| 主訴 | 八重歯と下の歯のガタガタが気になる |
|---|---|
| 年齢 | 24歳4ヶ月 |
| 性別 | 女性 |
| 抜歯部位 | 上下左右の第一小臼歯(4本) |
| 使用装置 | 上は裏側、下は表側のワイヤー装置 |
| 治療期間 | 2年8ヶ月 |
| 保定装置 | 固定式保定装置、取り外し式保定装置(8時間) |
| 費用 |
[検査・診断料] ¥49,500 [基本施術料] ¥1,056,000 [調整料] ¥5,500/回 [抜歯] ¥5,500/本 [保定装置] ¥55,000(税込) 抜歯や虫歯治療は他院にて費用が別途かかります。(抜歯¥4,000〜10,000/本)
|
上下叢生のため、上下第一小臼歯を抜去して上裏側下表側のハーフリンガルで治療しました。
顎間ゴムは治療期間の半年程度使用しましたが、協力度が良好だったためしっかり咬合することができました。
治療開始前にホワイトニングをしたこと、咬合力が強いためか装置の脱離が多く、予定より治療期間が伸びてはしまいました。
※写真の使用は患者様から同意を頂いております。






自費診療(保険外診療)となります。セルフケアを怠ると、虫歯・歯周病を発症する場合があります。矯正治療は患者様の協力がなければ改善できません。指示された矯正装置は必ず注意事項を守って着用が必要です。また来院期間を守って来院してください。治療結果、治療期間及び治療費に大きく影響が出る場合があります。不正咬合の状態によっては、適応しない場合があります。治療中装置の装着や咬合状態の変化などにより、一時的に咬みにくくなる場合があります。歯の動く速さや成長発育の時期には個人差があるため、治療期間が予定よりも大きく変更されることがあります。また、治療計画を変更せざるを得ない場合があります。骨性癒着(歯と骨がくっついてしまう症状)はぶつけるなど外傷のある歯や、長期間炎症が起こしていた歯などによく見られ、歯根膜の損傷が主な原因と考えられています。そのような骨性癒着を起こしている歯は矯正力をどれだけ加えても動きません。骨性癒着は精密検査でも診断できないことがほとんどです。そのため、治療途中に治療方針を変更せざるを得ない場合があります。歯や顎は動かした後に元の位置に戻ろうとするため、治療終了後は保定装置というものを使用します。 それらの装置は指示通りに使用してください。使用しないと後戻りする可能性があります。
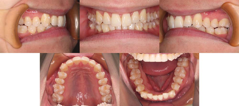
| 症例分類 | 上顎前突、叢生、口唇突出 |
| 診断名 | 上下前歯唇側傾斜を伴う上顎前突および叢生 |
| 主訴 | 前歯が出ている、口元が気になる |
|---|---|
| 年齢 | 23歳8ヶ月 |
| 性別 | 女性 |
| 抜歯部位 | 上の左右第一小臼歯と下の左右第二小臼歯(4本) |
| 使用装置 | 表側のワイヤー装置 |
| 治療期間 | 2年1ヶ月 |
| 保定装置 | 固定式保定装置、取り外し式保定装置(8時間) |
| 費用 |
[検査・診断料] ¥49,500 [基本施術料] ¥792,000 [調整料] ¥4,400/回 [抜歯] ¥5,500/本 [保定装置] ¥55,000(税込) 抜歯や虫歯治療は他院にて費用が別途かかります。(抜歯¥4,000〜10,000/本)
|
上下のガタガタと上の歯が前方にあり、口唇突出感があるため、上顎第一小臼歯、下顎第二小臼歯を抜去して治療をしました。
上顎左側は歯列全体をさらに遠心移動をしていく必要があったため、矯正用アンカースクリューを使用して遠心移動を行いました。
口唇突出感も改善され問題なく治療が終了出来ました。
※写真の使用は患者様から同意を頂いております。






自費診療(保険外診療)となります。セルフケアを怠ると、虫歯・歯周病を発症する場合があります。矯正治療は患者様の協力がなければ改善できません。指示された矯正装置は必ず注意事項を守って着用が必要です。また来院期間を守って来院してください。治療結果、治療期間及び治療費に大きく影響が出る場合があります。不正咬合の状態によっては、適応しない場合があります。治療中装置の装着や咬合状態の変化などにより、一時的に咬みにくくなる場合があります。歯の動く速さや成長発育の時期には個人差があるため、治療期間が予定よりも大きく変更されることがあります。また、治療計画を変更せざるを得ない場合があります。骨性癒着(歯と骨がくっついてしまう症状)はぶつけるなど外傷のある歯や、長期間炎症が起こしていた歯などによく見られ、歯根膜の損傷が主な原因と考えられています。そのような骨性癒着を起こしている歯は矯正力をどれだけ加えても動きません。骨性癒着は精密検査でも診断できないことがほとんどです。そのため、治療途中に治療方針を変更せざるを得ない場合があります。歯や顎は動かした後に元の位置に戻ろうとするため、治療終了後は保定装置というものを使用します。 それらの装置は指示通りに使用してください。使用しないと後戻りする可能性があります。
| 症例分類 | 上下顎前突、口唇突出 |
| 診断名 | 口唇突出を伴う上下軽度叢生 |
| 主訴 | 前歯が気になる |
|---|---|
| 年齢 | 15歳8ヶ月 |
| 性別 | 女性 |
| 抜歯部位 | 上下左右の第一小臼歯(4本) |
| 使用装置 | 表側のワイヤー装置 |
| 治療期間 | 1年9ヶ月 |
| 保定装置 | 固定式保定装置、取り外し式保定装置(8時間) |
| 費用 | [検査・診断料] ¥49,500 [基本施術料] ¥792,000 [調整料] ¥4,400/回 [抜歯] ¥5,500/本 [保定装置] ¥55,000(税込) 抜歯や虫歯治療は他院にて費用が別途かかります。(抜歯¥4,000〜10,000/本)
|
当初は前歯のガタガタを気にされており、上顎の部分治療を希望されました。しかしながら、上顎前歯の叢生のみの改善は可能だが、口唇突出感はなくなり、口が自然に閉じるようにするためには抜歯が必要なことを説明したところ、抜歯して治療することを希望されました。
上下第一小臼歯を抜去して表側のマルチブラケット装置で治療しました。顎間ゴムの協力度が良く予定より早く治療が終了することができました。
口唇突出感をなくし、しっかりと咬合することができました。






自費診療(保険外診療)となります。セルフケアを怠ると、虫歯・歯周病を発症する場合があります。矯正治療は患者様の協力がなければ改善できません。指示された矯正装置は必ず注意事項を守って着用が必要です。また来院期間を守って来院してください。治療結果、治療期間及び治療費に大きく影響が出る場合があります。不正咬合の状態によっては、適応しない場合があります。治療中装置の装着や咬合状態の変化などにより、一時的に咬みにくくなる場合があります。歯の動く速さや成長発育の時期には個人差があるため、治療期間が予定よりも大きく変更されることがあります。また、治療計画を変更せざるを得ない場合があります。骨性癒着(歯と骨がくっついてしまう症状)はぶつけるなど外傷のある歯や、長期間炎症が起こしていた歯などによく見られ、歯根膜の損傷が主な原因と考えられています。そのような骨性癒着を起こしている歯は矯正力をどれだけ加えても動きません。骨性癒着は精密検査でも診断できないことがほとんどです。そのため、治療途中に治療方針を変更せざるを得ない場合があります。歯や顎は動かした後に元の位置に戻ろうとするため、治療終了後は保定装置というものを使用します。 それらの装置は指示通りに使用してください。使用しないと後戻りする可能性があります。
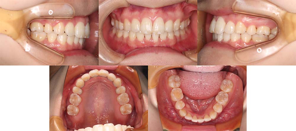
| 症例分類 | 叢生 |
| 診断名 | 両側側切歯の形態異常を伴う上下叢生 |
| 主訴 | 下の前歯の重なり、上の前歯が小さくて奥まっているため犬歯が目立つ、上の歯に下の歯が重なる |
|---|---|
| 年齢 | 29歳7ヶ月 |
| 性別 | 女性 |
| 抜歯部位 | 非抜歯 |
| 使用装置 | 上は裏側、下は表側のワイヤー装置 |
| 治療期間 | 1年11ヶ月 |
| 保定装置 | 固定式保定装置、取り外し式保定装置(8時間) |
| 費用 |
[検査・診断料] ¥49,500 [基本施術料] ¥1,056,000 [調整料] ¥5,500/回 [抜歯] ¥5,500/本 [保定装置] ¥55,000(税込) 抜歯や虫歯治療は他院にて費用が別途かかります。(抜歯¥4,000〜10,000/本)
|
上下のガタガタと上の両側側切歯が小さい(矮小歯)ため、下顎前歯部にわずかに削合(ディスキング)を行うか、上の側切歯をレジンかかぶせ物で大きくして、上下の歯のバランスを整えることが必要でした。
患者さんと相談して下顎の歯の間を削合して配列することにしました。また、上の歯が前方にあり上顎歯列全体の遠心移動が必要なため、矯正用アンカースクリューを使用して歯列全体の遠心移動を行いました。
顎間ゴムの協力度も良く問題なく治療が進みました。
※写真の使用は患者様から同意を頂いております。






自費診療(保険外診療)となります。セルフケアを怠ると、虫歯・歯周病を発症する場合があります。矯正治療は患者様の協力がなければ改善できません。指示された矯正装置は必ず注意事項を守って着用が必要です。また来院期間を守って来院してください。治療結果、治療期間及び治療費に大きく影響が出る場合があります。不正咬合の状態によっては、適応しない場合があります。治療中装置の装着や咬合状態の変化などにより、一時的に咬みにくくなる場合があります。歯の動く速さや成長発育の時期には個人差があるため、治療期間が予定よりも大きく変更されることがあります。また、治療計画を変更せざるを得ない場合があります。骨性癒着(歯と骨がくっついてしまう症状)はぶつけるなど外傷のある歯や、長期間炎症が起こしていた歯などによく見られ、歯根膜の損傷が主な原因と考えられています。そのような骨性癒着を起こしている歯は矯正力をどれだけ加えても動きません。骨性癒着は精密検査でも診断できないことがほとんどです。そのため、治療途中に治療方針を変更せざるを得ない場合があります。歯や顎は動かした後に元の位置に戻ろうとするため、治療終了後は保定装置というものを使用します。 それらの装置は指示通りに使用してください。使用しないと後戻りする可能性があります。
| 症例分類 | 叢生、口唇突出 |
| 診断名 | 上下口唇側傾斜を伴う上下叢生 |
| 主訴 | 上下前歯の歯並びが悪い |
|---|---|
| 年齢 | 38歳6ヶ月 |
| 性別 | 女性 |
| 抜歯部位 |
上の左右第一小臼歯・第二大臼歯と下の左右第二小臼歯(6本) (※上の智歯を抜歯する予定でしたが、第二大臼歯の状態が悪かったため変更) |
| 使用装置 | 上は表側、下は裏側のワイヤー装置 |
| 治療期間 | 2年6ヶ月 |
| 保定装置 | 固定式保定装置、取り外し式保定装置(8時間) |
| 費用 |
[検査・診断料] ¥49,500 [基本施術料] ¥1,056,000 [調整料] ¥5,500/回 [抜歯] ¥5,500/本 [保定装置] ¥55,000(税込) 抜歯や虫歯治療は他院にて費用が別途かかります。(抜歯¥4,000〜10,000/本)
|
上下叢生と上の歯が前方にあり、口唇閉鎖不全もあるため上顎両側第一小臼歯と下顎両側第二小臼歯を抜去して治療を進めていきました。
上顎両側の親知らずは、わずかに歯列全体の遠心移動が必要だったため抜歯をする必要がありました。しかしながら、上顎両側第二大臼歯が根管治療を行っていたことと、根の状態も悪かったため、親知らずの代わりに上顎両側第二小臼歯を抜去して治療を進めていきました。
親知らずの近心移動が必要だったため治療期間としては少し長めになりましたが、問題なく咬合することができました。
※写真の使用は患者様から同意を頂いております。






自費診療(保険外診療)となります。セルフケアを怠ると、虫歯・歯周病を発症する場合があります。矯正治療は患者様の協力がなければ改善できません。指示された矯正装置は必ず注意事項を守って着用が必要です。また来院期間を守って来院してください。治療結果、治療期間及び治療費に大きく影響が出る場合があります。不正咬合の状態によっては、適応しない場合があります。治療中装置の装着や咬合状態の変化などにより、一時的に咬みにくくなる場合があります。歯の動く速さや成長発育の時期には個人差があるため、治療期間が予定よりも大きく変更されることがあります。また、治療計画を変更せざるを得ない場合があります。骨性癒着(歯と骨がくっついてしまう症状)はぶつけるなど外傷のある歯や、長期間炎症が起こしていた歯などによく見られ、歯根膜の損傷が主な原因と考えられています。そのような骨性癒着を起こしている歯は矯正力をどれだけ加えても動きません。骨性癒着は精密検査でも診断できないことがほとんどです。そのため、治療途中に治療方針を変更せざるを得ない場合があります。歯や顎は動かした後に元の位置に戻ろうとするため、治療終了後は保定装置というものを使用します。 それらの装置は指示通りに使用してください。使用しないと後戻りする可能性があります。
| 症例分類 | 叢生、下顎前突 |
| 診断名 | 上顎歯列の狭窄と上顎両側犬歯の歯肉退縮を伴う上下重度叢生 |
| 主訴 | 歯並びが悪くて歯磨きしにくい、見た目が悪い |
|---|---|
| 年齢 | 24歳9ヶ月 |
| 性別 | 女性 |
| 抜歯部位 | 上の左右犬歯と下の左右第二小臼歯(4本) |
| 使用装置 | 表側のワイヤー装置 |
| 治療期間 | 2年 |
| 保定装置 | 固定式保定装置、取り外し式保定装置(8時間) |
| 費用 |
[検査・診断料] ¥49,500 [基本施術料] ¥792,000 [調整料] ¥4,400/回 [抜歯] ¥5,500/本 [保定装置] ¥55,000(税込) 抜歯や虫歯治療は他院にて費用が別途かかります。(抜歯¥4,000〜10,000/本)
|
上下重度ガタガタのため、通常であれば上顎の両側第一小臼歯と下顎両側第二小臼歯を抜去して治療する予定でした。
しかしながら、上顎両側犬歯のかなりの頬側転移とそれにより歯肉退縮もかなりしていたことにくわえ、レントゲン写真からも骨がかなり低位になっていることが確認でき、状態が良くなかったため上顎は両側犬歯を抜去して治療することにしました
顎間ゴムの協力度も良く、問題なく咬合させることができました。
また、上顎前歯部にブラックトライアングル(三角の隙間)が出来ましたが、上下の歯の間をわずかに削合することにより無くすことができました。
※写真の使用は患者様から同意を頂いております。






自費診療(保険外診療)となります。セルフケアを怠ると、虫歯・歯周病を発症する場合があります。矯正治療は患者様の協力がなければ改善できません。指示された矯正装置は必ず注意事項を守って着用が必要です。また来院期間を守って来院してください。治療結果、治療期間及び治療費に大きく影響が出る場合があります。不正咬合の状態によっては、適応しない場合があります。治療中装置の装着や咬合状態の変化などにより、一時的に咬みにくくなる場合があります。歯の動く速さや成長発育の時期には個人差があるため、治療期間が予定よりも大きく変更されることがあります。また、治療計画を変更せざるを得ない場合があります。骨性癒着(歯と骨がくっついてしまう症状)はぶつけるなど外傷のある歯や、長期間炎症が起こしていた歯などによく見られ、歯根膜の損傷が主な原因と考えられています。そのような骨性癒着を起こしている歯は矯正力をどれだけ加えても動きません。骨性癒着は精密検査でも診断できないことがほとんどです。そのため、治療途中に治療方針を変更せざるを得ない場合があります。歯や顎は動かした後に元の位置に戻ろうとするため、治療終了後は保定装置というものを使用します。 それらの装置は指示通りに使用してください。使用しないと後戻りする可能性があります。
| 症例分類 | 上顎前突、口唇突出 |
| 診断名 | 左下4先天欠損を伴う上下前歯部叢生と骨格性上顎前突 |
| 主訴 | 出っ歯、下の歯がガタガタ、乳歯が1本ある |
|---|---|
| 年齢 | 31歳4ヶ月 |
| 性別 | 女性 |
| 抜歯部位 | 上の左右第一小臼歯と右下第二小臼歯と左下第二乳臼歯(4本) |
| 使用装置 | 上下裏側のワイヤー装置 |
| 治療期間 | 2年9ヶ月 |
| 保定装置 | 固定式保定装置、取り外し式保定装置(8時間) |
| 費用 |
[検査・診断料] ¥49,500 [基本施術料] ¥1,331,000 [調整料] ¥5,500/回 [抜歯] ¥5,500/本 [保定装置] ¥55,000(税込) 抜歯や虫歯治療は他院にて費用が別途かかります。(抜歯¥4,000〜10,000/本)
|
左下の永久歯が先天欠損で子供の歯が残っていて、その歯が抜けそうになったこともあり、矯正治療を考えて来院されました。
上下叢生と口唇閉鎖不全のため上下の抜歯をして治療をしました。下顎左側乳歯を抜去して治療をしました。
歯の動きが少しゆっくりだったため、予定より治療期間が伸びてしまいましたが問題なく咬合させることができました。
※写真の使用は患者様から同意を頂いております。






自費診療(保険外診療)となります。セルフケアを怠ると、虫歯・歯周病を発症する場合があります。矯正治療は患者様の協力がなければ改善できません。指示された矯正装置は必ず注意事項を守って着用が必要です。また来院期間を守って来院してください。治療結果、治療期間及び治療費に大きく影響が出る場合があります。不正咬合の状態によっては、適応しない場合があります。治療中装置の装着や咬合状態の変化などにより、一時的に咬みにくくなる場合があります。歯の動く速さや成長発育の時期には個人差があるため、治療期間が予定よりも大きく変更されることがあります。また、治療計画を変更せざるを得ない場合があります。骨性癒着(歯と骨がくっついてしまう症状)はぶつけるなど外傷のある歯や、長期間炎症が起こしていた歯などによく見られ、歯根膜の損傷が主な原因と考えられています。そのような骨性癒着を起こしている歯は矯正力をどれだけ加えても動きません。骨性癒着は精密検査でも診断できないことがほとんどです。そのため、治療途中に治療方針を変更せざるを得ない場合があります。歯や顎は動かした後に元の位置に戻ろうとするため、治療終了後は保定装置というものを使用します。 それらの装置は指示通りに使用してください。使用しないと後戻りする可能性があります。
| 症例分類 | 下顎前突、開咬 |
| 診断名 | 上下叢生を伴う開咬 |
| 主訴 | 歯がガタガタ、前歯に隙間があってうまく噛めない |
|---|---|
| 年齢 | 18歳4ヶ月 |
| 性別 | 女性 |
| 抜歯部位 | 右上・左下の第一小臼歯と左上・右下の第二小臼歯 |
| 使用装置 | 表側のワイヤー装置 |
| 治療期間 | 2年9ヶ月 |
| 保定装置 | 固定式保定装置、取り外し式保定装置(8時間) |
| 費用 |
[検査・診断料] ¥49,500 [基本施術料] ¥792,000 [調整料] ¥4,400/回 [抜歯] ¥5,500/本 [保定装置] ¥55,000(税込) 抜歯や虫歯治療は他院にて費用が別途かかります。(抜歯¥4,000〜10,000/本)
|
他院にて「顎変形症のため手術併用での矯正治療が必要である」との説明を受け、当院を紹介されてご来院されました。骨格的にやや受け口傾向ではありましたが、手術を併用せず改善できる旨をご説明し、矯正単独で治療することにしました
上顎右側第一小臼歯、上顎左側第二小臼歯、下顎右側第二小臼歯、下顎左側第一小臼歯を抜去して治療を行いました。
左下は奥歯を前方に移動させる必要があったため、矯正用アンカースクリューと顎間ゴムを使用して噛み合わせを改善しました。左下の前方移動に時間がかかってしまい、治療期間が予定より伸びてしまいましたが、問題なく咬合させることができました。
下顎の親知らずは将来的に抜去した方が良いことを説明しております。
※写真の使用は患者様から同意を頂いております。






自費診療(保険外診療)となります。セルフケアを怠ると、虫歯・歯周病を発症する場合があります。矯正治療は患者様の協力がなければ改善できません。指示された矯正装置は必ず注意事項を守って着用が必要です。また来院期間を守って来院してください。治療結果、治療期間及び治療費に大きく影響が出る場合があります。不正咬合の状態によっては、適応しない場合があります。治療中装置の装着や咬合状態の変化などにより、一時的に咬みにくくなる場合があります。歯の動く速さや成長発育の時期には個人差があるため、治療期間が予定よりも大きく変更されることがあります。また、治療計画を変更せざるを得ない場合があります。骨性癒着(歯と骨がくっついてしまう症状)はぶつけるなど外傷のある歯や、長期間炎症が起こしていた歯などによく見られ、歯根膜の損傷が主な原因と考えられています。そのような骨性癒着を起こしている歯は矯正力をどれだけ加えても動きません。骨性癒着は精密検査でも診断できないことがほとんどです。そのため、治療途中に治療方針を変更せざるを得ない場合があります。歯や顎は動かした後に元の位置に戻ろうとするため、治療終了後は保定装置というものを使用します。 それらの装置は指示通りに使用してください。使用しないと後戻りする可能性があります。
埋伏歯の牽引にはとても長期の期間がかかることがあります。また、埋伏歯は引っ張れない可能性があることがあります。しかしながら、レントゲンなどの検査で引っ張り出すのが可能かどうかは判断できません。もし引っ張り出せなかった場合は、治療方針を変更いたします。
| 症例分類 | 上顎前突、叢生 |
| 診断名 | 上下叢生を伴う骨格性および歯性上顎前突 |
| 主訴 | 歯並びが悪いのが気になる、口元が気になる |
|---|---|
| 年齢 | 19歳5ヶ月 |
| 性別 | 女性 |
| 抜歯部位 | 上の左右第一小臼歯(2本) |
| 使用装置 | 上下裏側のワイヤー装置 |
| 治療期間 | 2年5ヶ月 |
| 保定装置 | 固定式保定装置、取り外し式保定装置(8時間) |
| 費用 |
[検査・診断料] ¥49,500 [基本施術料] ¥1,331,000 [調整料] ¥5,500/回 [抜歯] ¥5,500/本 [保定装置] ¥55,000(税込) 抜歯や虫歯治療は他院にて費用が別途かかります。(抜歯¥4,000〜10,000/本)
|
上顎前突で上の歯がかなり前にきているため、上顎両側第一小臼歯を抜去して治療を行いました。上の前歯をしっかりと舌側に移動しないといけないため、矯正用アンカースクリューを使用しました。また、下顎はわずかに歯の間の削合(ディスキング)を行い、初診時より歯が前方に出ないように治療を進めました。
口唇閉鎖不全もありましたが、上の前歯が舌側に移動することにより改善することができ、問題なく咬合させることができました。
※写真の使用は患者様から同意を頂いております。






自費診療(保険外診療)となります。セルフケアを怠ると、虫歯・歯周病を発症する場合があります。矯正治療は患者様の協力がなければ改善できません。指示された矯正装置は必ず注意事項を守って着用が必要です。また来院期間を守って来院してください。治療結果、治療期間及び治療費に大きく影響が出る場合があります。不正咬合の状態によっては、適応しない場合があります。治療中装置の装着や咬合状態の変化などにより、一時的に咬みにくくなる場合があります。歯の動く速さや成長発育の時期には個人差があるため、治療期間が予定よりも大きく変更されることがあります。また、治療計画を変更せざるを得ない場合があります。骨性癒着(歯と骨がくっついてしまう症状)はぶつけるなど外傷のある歯や、長期間炎症が起こしていた歯などによく見られ、歯根膜の損傷が主な原因と考えられています。そのような骨性癒着を起こしている歯は矯正力をどれだけ加えても動きません。骨性癒着は精密検査でも診断できないことがほとんどです。そのため、治療途中に治療方針を変更せざるを得ない場合があります。歯や顎は動かした後に元の位置に戻ろうとするため、治療終了後は保定装置というものを使用します。 それらの装置は指示通りに使用してください。使用しないと後戻りする可能性があります。
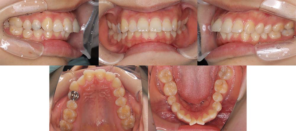
| 症例分類 | 上顎前突 |
| 診断名 | 下顎前歯部叢生を伴う歯性上顎前突 |
| 主訴 | 歯並びと口元が気になる |
|---|---|
| 年齢 | 24歳8ヶ月 |
| 性別 | 女性 |
| 抜歯部位 | 上下左右の第一小臼歯(4本) |
| 使用装置 | 表側のワイヤー装置 |
| 治療期間 | 2年 |
| 保定装置 | 固定式保定装置、取り外し式保定装置(8時間) |
| 費用 |
[検査・診断料] ¥49,500 [基本施術料] ¥792,000 [調整料] ¥4,400/回 [抜歯] ¥5,500/本 [保定装置] ¥55,000(税込) 抜歯や虫歯治療は他院にて費用が別途かかります。(抜歯¥4,000〜10,000/本)
|
上顎前歯の唇側傾斜と下顎前歯の叢生のため、上顎両側第一小臼歯と下顎両側第一小臼歯を抜去して治療を行いました。
噛み合わせの深さを改善するのにやや時間がかかったものの、スペースが早く閉じたため最終的な全体の治療の期間としては予定通りで終わることができました。
ブラックトライアングル(歯と歯の間の三角の隙間)が大きくできましたが、上下の歯の間を削合することにより、ある程度目立たなくすることができました。
また、口唇閉鎖不全もあり口唇突出感がありましたが、上下の前歯を舌側移動させたため改善することができ、問題なく咬合させることができました。
※写真の使用は患者様から同意を頂いております。






自費診療(保険外診療)となります。セルフケアを怠ると、虫歯・歯周病を発症する場合があります。矯正治療は患者様の協力がなければ改善できません。指示された矯正装置は必ず注意事項を守って着用が必要です。また来院期間を守って来院してください。治療結果、治療期間及び治療費に大きく影響が出る場合があります。不正咬合の状態によっては、適応しない場合があります。治療中装置の装着や咬合状態の変化などにより、一時的に咬みにくくなる場合があります。歯の動く速さや成長発育の時期には個人差があるため、治療期間が予定よりも大きく変更されることがあります。また、治療計画を変更せざるを得ない場合があります。骨性癒着(歯と骨がくっついてしまう症状)はぶつけるなど外傷のある歯や、長期間炎症が起こしていた歯などによく見られ、歯根膜の損傷が主な原因と考えられています。そのような骨性癒着を起こしている歯は矯正力をどれだけ加えても動きません。骨性癒着は精密検査でも診断できないことがほとんどです。そのため、治療途中に治療方針を変更せざるを得ない場合があります。歯や顎は動かした後に元の位置に戻ろうとするため、治療終了後は保定装置というものを使用します。 それらの装置は指示通りに使用してください。使用しないと後戻りする可能性があります。
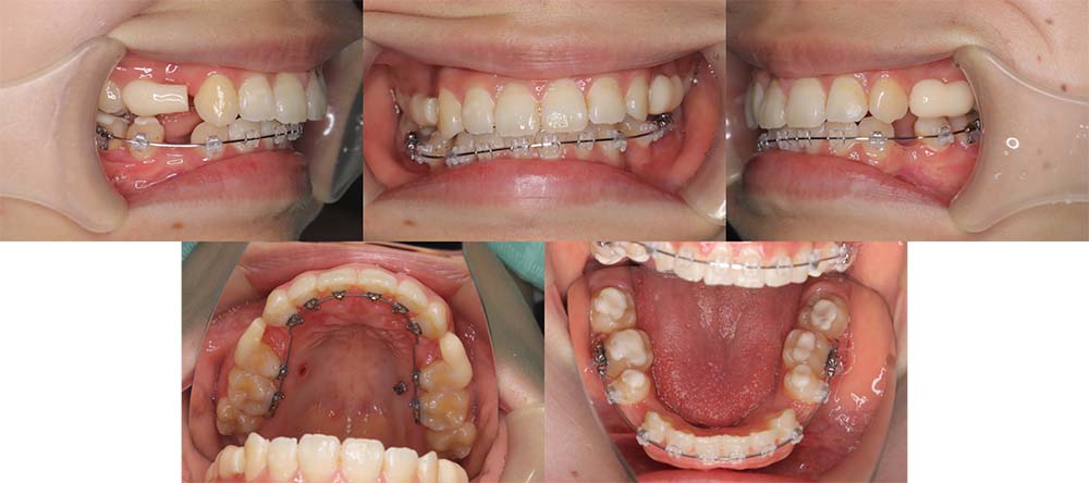
| 症例分類 | 上下顎前突、口唇突出 |
| 診断名 | 上下軽度叢生と口唇閉鎖不全を伴う上下前突 |
| 主訴 | 出っ歯、口元が気になる |
|---|---|
| 年齢 | 22歳10ヶ月 |
| 性別 | 女性 |
| 抜歯部位 | 上下左右の第一小臼歯(4本) |
| 使用装置 | 上は裏側、下は表側のワイヤー装置 |
| 治療期間 | 2年5ヶ月 |
| 保定装置 | 固定式保定装置、取り外し式保定装置(8時間) |
| 費用 |
[検査・診断料] ¥49,500 [基本施術料] ¥1,056,000 [調整料] ¥5,500/回 [抜歯] ¥5,500/本 [保定装置] ¥55,000(税込) 抜歯や虫歯治療は他院にて費用が別途かかります。(抜歯¥4,000〜10,000/本)
|
上下前歯の唇側傾斜と口唇閉鎖不全があり口唇突出感もあるため、上顎両側第一小臼歯と下顎両側第一小臼歯を抜去して治療を行いました。しっかりと舌側移動させるため、矯正用アンカースクリューを使用しました。
しっかりと歯を舌側移動することができ口唇閉鎖不全が改善して口唇突出感が無くなり、問題なく咬合させることができました。
※写真の使用は患者様から同意を頂いております。






自費診療(保険外診療)となります。セルフケアを怠ると、虫歯・歯周病を発症する場合があります。矯正治療は患者様の協力がなければ改善できません。指示された矯正装置は必ず注意事項を守って着用が必要です。また来院期間を守って来院してください。治療結果、治療期間及び治療費に大きく影響が出る場合があります。不正咬合の状態によっては、適応しない場合があります。治療中装置の装着や咬合状態の変化などにより、一時的に咬みにくくなる場合があります。歯の動く速さや成長発育の時期には個人差があるため、治療期間が予定よりも大きく変更されることがあります。また、治療計画を変更せざるを得ない場合があります。骨性癒着(歯と骨がくっついてしまう症状)はぶつけるなど外傷のある歯や、長期間炎症が起こしていた歯などによく見られ、歯根膜の損傷が主な原因と考えられています。そのような骨性癒着を起こしている歯は矯正力をどれだけ加えても動きません。骨性癒着は精密検査でも診断できないことがほとんどです。そのため、治療途中に治療方針を変更せざるを得ない場合があります。歯や顎は動かした後に元の位置に戻ろうとするため、治療終了後は保定装置というものを使用します。 それらの装置は指示通りに使用してください。使用しないと後戻りする可能性があります。
| 症例分類 | 下顎前突、開咬 |
| 診断名 | 左側456クロスバイトを伴う上下前歯部叢生 |
| 主訴 | 下の歯のほうが前に出てる、前歯でものが噛めない |
|---|---|
| 年齢 | 19歳9ヶ月 |
| 性別 | 女性 |
| 抜歯部位 | 非抜歯 |
| 使用装置 | 表側のワイヤー装置 |
| 治療期間 | 1年7ヶ月 |
| 保定装置 | 固定式保定装置、取り外し式保定装置(8時間) |
| 費用 |
[検査・診断料] ¥49,500 [基本施術料] ¥792,000 [調整料] ¥4,400/回 [抜歯] ¥5,500/本 [保定装置] ¥55,000(税込) 抜歯や虫歯治療は他院にて費用が別途かかります。(抜歯¥4,000〜10,000/本)
|
他院にて小学生の時に矯正治療をしていたそうですが、成長期に下顎が前方に成長して咬合がずれてしまい、再度矯正治療するため当院に相談に来院されました。
噛み合わせが下顎前方で下顎前歯も舌側傾斜していたため、手術を併用する方法と矯正単独での治療の説明をさせて頂きました。手術はしたくないということで、矯正単独での治療をすることになりました。
下顎歯列全体を舌側に移動するため、下顎両側親知らずは抜去して矯正用アンカースクリューを使用して治療を行いました。
歯列全体の遠心移動ができたため、問題なく咬合させることができました。適正な被蓋が得られたことにより笑顔がきれいになり、患者様からも笑いやすくなったとおっしゃっていただきました。
※写真の使用は患者様から同意を頂いております。






自費診療(保険外診療)となります。セルフケアを怠ると、虫歯・歯周病を発症する場合があります。矯正治療は患者様の協力がなければ改善できません。指示された矯正装置は必ず注意事項を守って着用が必要です。また来院期間を守って来院してください。治療結果、治療期間及び治療費に大きく影響が出る場合があります。不正咬合の状態によっては、適応しない場合があります。治療中装置の装着や咬合状態の変化などにより、一時的に咬みにくくなる場合があります。歯の動く速さや成長発育の時期には個人差があるため、治療期間が予定よりも大きく変更されることがあります。また、治療計画を変更せざるを得ない場合があります。骨性癒着(歯と骨がくっついてしまう症状)はぶつけるなど外傷のある歯や、長期間炎症が起こしていた歯などによく見られ、歯根膜の損傷が主な原因と考えられています。そのような骨性癒着を起こしている歯は矯正力をどれだけ加えても動きません。骨性癒着は精密検査でも診断できないことがほとんどです。そのため、治療途中に治療方針を変更せざるを得ない場合があります。歯や顎は動かした後に元の位置に戻ろうとするため、治療終了後は保定装置というものを使用します。 それらの装置は指示通りに使用してください。使用しないと後戻りする可能性があります。
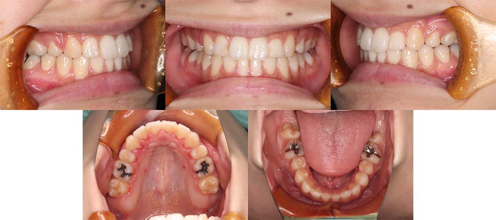
| 症例分類 | 埋伏歯、空隙歯列 |
| 診断名 | 左上2の円柱歯と右上2埋伏歯を伴うスペースアーチ |
| 主訴 | 右上の2番目がはえてこない |
|---|---|
| 年齢 | 12歳11ヶ月 |
| 性別 | 男性 |
| 抜歯部位 | 非抜歯 |
| 使用装置 | 表側のワイヤー装置 |
| 治療期間 | 2年2ヶ月 |
| 保定装置 | 固定式保定装置、取り外し式保定装置(8時間) |
| 費用 |
[検査・診断料] ¥49,500 [基本施術料] ¥792,000 [調整料] ¥4,400/回 [抜歯] ¥5,500/本 [保定装置] ¥55,000(税込) 抜歯や虫歯治療は他院にて費用が別途かかります。(抜歯¥4,000〜10,000/本)
|
右上側切歯が埋伏しており、萌出方向が悪いため、右上側切歯を牽引する必要がありました。
また、右上側切歯の埋伏により上顎右側の歯列が前方にずれてしまっているため、遠心移動する必要がありました。
リンガルアーチを装着して、埋まっている右上側切歯に口腔外科でリンガルボタンを装着してもらい、牽引をしていきました。牽引には基本的に1〜3年程度かかることが多いのですが想定より早くできたため(約7ヶ月)、当初3年ほど治療期間がかかる見通しでしたが予定より早く終了することができました。
上顎右側の歯列の遠心移動は顎間ゴムとワイヤーにて行い、問題なく咬合させることができました。
※写真の使用は患者様から同意を頂いております。








自費診療(保険外診療)となります。セルフケアを怠ると、虫歯・歯周病を発症する場合があります。矯正治療は患者様の協力がなければ改善できません。指示された矯正装置は必ず注意事項を守って着用が必要です。また来院期間を守って来院してください。治療結果、治療期間及び治療費に大きく影響が出る場合があります。不正咬合の状態によっては、適応しない場合があります。治療中装置の装着や咬合状態の変化などにより、一時的に咬みにくくなる場合があります。歯の動く速さや成長発育の時期には個人差があるため、治療期間が予定よりも大きく変更されることがあります。また、治療計画を変更せざるを得ない場合があります。骨性癒着(歯と骨がくっついてしまう症状)はぶつけるなど外傷のある歯や、長期間炎症が起こしていた歯などによく見られ、歯根膜の損傷が主な原因と考えられています。そのような骨性癒着を起こしている歯は矯正力をどれだけ加えても動きません。骨性癒着は精密検査でも診断できないことがほとんどです。そのため、治療途中に治療方針を変更せざるを得ない場合があります。歯や顎は動かした後に元の位置に戻ろうとするため、治療終了後は保定装置というものを使用します。 それらの装置は指示通りに使用してください。使用しないと後戻りする可能性があります。
埋伏歯の牽引にはとても長期の期間がかかることがあります。また、埋伏歯は引っ張れない可能性があることがあります。しかしながら、レントゲンなどの検査で引っ張り出すのが可能かどうかは判断できません。もし引っ張り出せなかった場合は、治療方針を変更いたします。
| 症例分類 | 叢生、上顎前突、口唇突出 |
| 診断名 | 下顎重度叢生を伴う骨格性上顎前突 |
| 主訴 | 歯並びが悪い、ものがよく噛めない、口元が気になる、歯科医師に勧められた |
|---|---|
| 年齢 | 22歳10ヶ月 |
| 性別 | 女性 |
| 抜歯部位 | 上下左右の第一小臼歯(4本) |
| 使用装置 | 表側のワイヤー装置 |
| 治療期間 | 2年2ヶ月 |
| 保定装置 | 固定式保定装置、取り外し式保定装置(8時間) |
| 費用 |
[検査・診断料] ¥49,500 [基本施術料] ¥792,000 [調整料] ¥4,400/回 [抜歯] ¥5,500/本 [保定装置] ¥55,000(税込) 抜歯や虫歯治療は他院にて費用が別途かかります。(抜歯¥4,000〜10,000/本)
|
下顎前歯重度叢生と上顎歯列の前方位、口唇閉鎖不全、口唇突出感があるため、上顎両側第一小臼歯と下顎両側第一小臼歯を抜去して治療を行いました。上顎前歯をしっかりと舌側移動しないといけなかったため矯正用アンカースクリューを使用しました。
前歯がしっかりと舌側移動できたため、口唇閉鎖不全が改善され口唇突出感もなくなり、問題なく咬合させることができました。
※写真の使用は患者様から同意を頂いております。






自費診療(保険外診療)となります。セルフケアを怠ると、虫歯・歯周病を発症する場合があります。矯正治療は患者様の協力がなければ改善できません。指示された矯正装置は必ず注意事項を守って着用が必要です。また来院期間を守って来院してください。治療結果、治療期間及び治療費に大きく影響が出る場合があります。不正咬合の状態によっては、適応しない場合があります。治療中装置の装着や咬合状態の変化などにより、一時的に咬みにくくなる場合があります。歯の動く速さや成長発育の時期には個人差があるため、治療期間が予定よりも大きく変更されることがあります。また、治療計画を変更せざるを得ない場合があります。骨性癒着(歯と骨がくっついてしまう症状)はぶつけるなど外傷のある歯や、長期間炎症が起こしていた歯などによく見られ、歯根膜の損傷が主な原因と考えられています。そのような骨性癒着を起こしている歯は矯正力をどれだけ加えても動きません。骨性癒着は精密検査でも診断できないことがほとんどです。そのため、治療途中に治療方針を変更せざるを得ない場合があります。歯や顎は動かした後に元の位置に戻ろうとするため、治療終了後は保定装置というものを使用します。それらの装置は指示通りに使用してください。使用しないと後戻りする可能性があります。
埋伏歯の牽引にはとても長期の期間がかかることがあります。また、埋伏歯は引っ張れない可能性があることがあります。しかしながら、レントゲンなどの検査で引っ張り出すのが可能かどうかは判断できません。もし引っ張り出せなかった場合は、治療方針を変更いたします。
| 症例分類 | 叢生 |
| 診断名 | 上顎両側犬歯低位唇側転移を伴う上下重度叢生 |
| 主訴 | 八重歯、噛み合わせが悪くてものがよく噛めない |
|---|---|
| 年齢 | 18歳5ヶ月 |
| 性別 | 男性 |
| 抜歯部位 | 上下左右の第一小臼歯と上顎左右の第二大臼歯(6本) |
| 使用装置 | 表側のワイヤー装置 |
| 治療期間 | 2年7ヶ月 |
| 保定装置 | 固定式保定装置、取り外し式保定装置(8時間) |
| 費用 |
[検査・診断料] ¥49,500 [基本施術料] ¥792,000 [調整料] ¥4,400/回 [抜歯] ¥5,500/本 [保定装置] ¥55,000(税込) 抜歯や虫歯治療は他院にて費用が別途かかります。(抜歯¥4,000〜10,000/本)
|
上下顎の重度叢生と上顎歯列の前方位のため、上顎両側第一小臼歯と下顎両側第一小臼歯と上顎両側第二大臼歯(上顎両側親知らずを代わりに配列)を抜去して治療を行いました。
上顎歯列の全体を遠心移動をする必要があるため、矯正用アンカースクリューを使用しました。
歯列の遠心移動に時間がかかり、予定よりも治療期間が伸びてしまいましたが、問題なく咬合させることができました。
※写真の使用は患者様から同意を頂いております。







自費診療(保険外診療)となります。セルフケアを怠ると、虫歯・歯周病を発症する場合があります。矯正治療は患者様の協力がなければ改善できません。指示された矯正装置は必ず注意事項を守って着用が必要です。また来院期間を守って来院してください。治療結果、治療期間及び治療費に大きく影響が出る場合があります。不正咬合の状態によっては、適応しない場合があります。治療中装置の装着や咬合状態の変化などにより、一時的に咬みにくくなる場合があります。歯の動く速さや成長発育の時期には個人差があるため、治療期間が予定よりも大きく変更されることがあります。また、治療計画を変更せざるを得ない場合があります。骨性癒着(歯と骨がくっついてしまう症状)はぶつけるなど外傷のある歯や、長期間炎症が起こしていた歯などによく見られ、歯根膜の損傷が主な原因と考えられています。そのような骨性癒着を起こしている歯は矯正力をどれだけ加えても動きません。骨性癒着は精密検査でも診断できないことがほとんどです。そのため、治療途中に治療方針を変更せざるを得ない場合があります。歯や顎は動かした後に元の位置に戻ろうとするため、治療終了後は保定装置というものを使用します。 それらの装置は指示通りに使用してください。使用しないと後戻りする可能性があります。
| 症例分類 | 空隙歯列、上顎前突 |
| 診断名 | 上下スペースアーチを伴う骨格性上顎前突 |
| 主訴 | 前歯が出てる |
|---|---|
| 年齢 | 15歳4ヶ月 |
| 性別 | 女性 |
| 抜歯部位 | 上の第一小臼歯(2本) |
| 使用装置 | 表側のワイヤー装置 |
| 治療期間 | 2年7ヶ月 |
| 保定装置 | 固定式保定装置、取り外し式保定装置(8時間) |
| 費用 |
[検査・診断料] ¥49,500 [基本施術料] ¥792,000 [調整料] ¥4,400/回 [抜歯] ¥5,500/本 [保定装置] ¥55,000(税込) 抜歯や虫歯治療は他院にて費用が別途かかります。(抜歯¥4,000〜10,000/本)
|
上の歯が前方にあり下顎の歯軸は問題なく、それにより上下のギャップが大きいため、上顎両側第一小臼歯を抜去して治療を行いました。
また、上下の歯のバランスが下の方ガ大きかったため、下顎前歯部をわずかに歯の間を削合(ディスキング)を行い、上下の歯のバランスを整えました。
顎間ゴムをするのが大変で、顎が痛くなることがありあまり出来なかった時期があるため、予定より少し治療期間がかかってしまいましたが、問題なく咬合させることができました。
※写真の使用は患者様から同意を頂いております。






自費診療(保険外診療)となります。セルフケアを怠ると、虫歯・歯周病を発症する場合があります。矯正治療は患者様の協力がなければ改善できません。指示された矯正装置は必ず注意事項を守って着用が必要です。また来院期間を守って来院してください。治療結果、治療期間及び治療費に大きく影響が出る場合があります。不正咬合の状態によっては、適応しない場合があります。治療中装置の装着や咬合状態の変化などにより、一時的に咬みにくくなる場合があります。歯の動く速さや成長発育の時期には個人差があるため、治療期間が予定よりも大きく変更されることがあります。また、治療計画を変更せざるを得ない場合があります。骨性癒着(歯と骨がくっついてしまう症状)はぶつけるなど外傷のある歯や、長期間炎症が起こしていた歯などによく見られ、歯根膜の損傷が主な原因と考えられています。そのような骨性癒着を起こしている歯は矯正力をどれだけ加えても動きません。骨性癒着は精密検査でも診断できないことがほとんどです。そのため、治療途中に治療方針を変更せざるを得ない場合があります。歯や顎は動かした後に元の位置に戻ろうとするため、治療終了後は保定装置というものを使用します。それらの装置は指示通りに使用してください。使用しないと後戻りする可能性があります。
| 症例分類 | 上下顎前突、口唇突出 |
| 診断名 | 上下軽度叢生を伴う上下顎前突 |
| 主訴 | 下の歯のアーチが歪んでる、きれいに並んでいない |
|---|---|
| 年齢 | 30歳1ヶ月 |
| 性別 | 女性 |
| 抜歯部位 | 上下左右の第一小臼歯(4本) |
| 使用装置 | 表側のワイヤー装置 |
| 治療期間 | 2年 |
| 保定装置 | 固定式保定装置、取り外し式保定装置(8時間) |
| 費用 |
[検査・診断料] ¥49,500 [基本施術料] ¥792,000 [調整料] ¥4,400/回 [抜歯] ¥5,500/本 [保定装置] ¥55,000(税込) 抜歯や虫歯治療は他院にて費用が別途かかります。(抜歯¥4,000〜10,000/本)
|
上下の叢生量は少ないですが、口唇突出感と口唇閉鎖不全があるため、上下両側第一小臼歯を抜去して治療を行いました。
顎間ゴムの協力度も良く問題なく咬合させることができました。
※写真の使用は患者様から同意を頂いております。






自費診療(保険外診療)となります。セルフケアを怠ると、虫歯・歯周病を発症する場合があります。矯正治療は患者様の協力がなければ改善できません。指示された矯正装置は必ず注意事項を守って着用が必要です。また来院期間を守って来院してください。治療結果、治療期間及び治療費に大きく影響が出る場合があります。不正咬合の状態によっては、適応しない場合があります。治療中装置の装着や咬合状態の変化などにより、一時的に咬みにくくなる場合があります。歯の動く速さや成長発育の時期には個人差があるため、治療期間が予定よりも大きく変更されることがあります。また、治療計画を変更せざるを得ない場合があります。骨性癒着(歯と骨がくっついてしまう症状)はぶつけるなど外傷のある歯や、長期間炎症が起こしていた歯などによく見られ、歯根膜の損傷が主な原因と考えられています。そのような骨性癒着を起こしている歯は矯正力をどれだけ加えても動きません。骨性癒着は精密検査でも診断できないことがほとんどです。そのため、治療途中に治療方針を変更せざるを得ない場合があります。歯や顎は動かした後に元の位置に戻ろうとするため、治療終了後は保定装置というものを使用します。それらの装置は指示通りに使用してください。使用しないと後戻りする可能性があります。
| 症例分類 | 上顎前突、口唇突出 |
| 診断名 | 上下前歯部叢生を伴う骨格性上顎前突 |
| 主訴 | 上の前歯が出ている、ものがよく噛めない、口元が気になる |
|---|---|
| 年齢 | 25歳6ヶ月 |
| 性別 | 女性 |
| 抜歯部位 | 上の左右第一小臼歯(2本) |
| 使用装置 | 表側のワイヤー装置 |
| 治療期間 | 2年1ヶ月 |
| 保定装置 | 固定式保定装置、取り外し式保定装置(8時間) |
| 費用 |
[検査・診断料] ¥49,500 [基本施術料] ¥792,000 [調整料] ¥4,400/回 [抜歯] ¥5,500/本 [保定装置] ¥55,000(税込) 抜歯や虫歯治療は他院にて費用が別途かかります。(抜歯¥4,000〜10,000/本)
|
上顎前歯が唇側傾斜しており上下の歯がギャップがかなり大きいため上顎両側第一小臼歯を抜去して治療を行いました。下顎前歯もやや唇側に傾斜しているため、下顎歯列全体を遠心移動しました。
下顎前歯の遠心移動がなければ口唇閉鎖不全を完全に改善することは困難でした。そのため上下で矯正用アンカースクリューを使用し、下顎歯列全体を遠心移動することでしっかりと上下の前歯が舌側移動し、口唇閉鎖不全も改善され、問題なく咬合させることができました。
※写真の使用は患者様から同意を頂いております。






自費診療(保険外診療)となります。セルフケアを怠ると、虫歯・歯周病を発症する場合があります。矯正治療は患者様の協力がなければ改善できません。指示された矯正装置は必ず注意事項を守って着用が必要です。また来院期間を守って来院してください。治療結果、治療期間及び治療費に大きく影響が出る場合があります。不正咬合の状態によっては、適応しない場合があります。治療中装置の装着や咬合状態の変化などにより、一時的に咬みにくくなる場合があります。歯の動く速さや成長発育の時期には個人差があるため、治療期間が予定よりも大きく変更されることがあります。また、治療計画を変更せざるを得ない場合があります。骨性癒着(歯と骨がくっついてしまう症状)はぶつけるなど外傷のある歯や、長期間炎症が起こしていた歯などによく見られ、歯根膜の損傷が主な原因と考えられています。そのような骨性癒着を起こしている歯は矯正力をどれだけ加えても動きません。骨性癒着は精密検査でも診断できないことがほとんどです。そのため、治療途中に治療方針を変更せざるを得ない場合があります。歯や顎は動かした後に元の位置に戻ろうとするため、治療終了後は保定装置というものを使用します。それらの装置は指示通りに使用してください。使用しないと後戻りする可能性があります。
| 症例分類 | 叢生、シザースバイト |
| 診断名 | 両側7シザーズバイトを伴う上下叢生 |
| 主訴 | 上下前歯の歯並びが悪い、歯軋り・食いしばりがあって顎が痛い |
|---|---|
| 年齢 | 21歳11ヶ月 |
| 性別 | 女性 |
| 抜歯部位 | 上の左右第一小臼歯と下の左右第二小臼歯(4本) |
| 使用装置 | 表側のワイヤー装置 |
| 治療期間 | 2年7ヶ月 |
| 保定装置 | 固定式保定装置、取り外し式保定装置(8時間) |
| 費用 |
[検査・診断料] ¥49,500 [基本施術料] ¥792,000 [調整料] ¥4,400/回 [抜歯] ¥5,500/本 [保定装置] ¥55,000(税込) 抜歯や虫歯治療は他院にて費用が別途かかります。(抜歯¥4,000〜10,000/本)
|
上下の歯のガタつき、両側第二大臼歯(一番奥の歯)のすれ違い、口唇閉鎖不全があるため、上顎両側第一小臼歯と下顎両側第二小臼歯を抜去して治療を行いました。
上の歯が前方にあるため、矯正用アンカースクリューを使用して治療を行いました。
両側第二大臼歯のすれ違いを改善するのに時間がかかってしまい、予定より治療期間は伸びてしまいましたが、問題なく咬合させることができました。
※写真の使用は患者様から同意を頂いております。






自費診療(保険外診療)となります。セルフケアを怠ると、虫歯・歯周病を発症する場合があります。矯正治療は患者様の協力がなければ改善できません。指示された矯正装置は必ず注意事項を守って着用が必要です。また来院期間を守って来院してください。治療結果、治療期間及び治療費に大きく影響が出る場合があります。不正咬合の状態によっては、適応しない場合があります。治療中装置の装着や咬合状態の変化などにより、一時的に咬みにくくなる場合があります。歯の動く速さや成長発育の時期には個人差があるため、治療期間が予定よりも大きく変更されることがあります。また、治療計画を変更せざるを得ない場合があります。骨性癒着(歯と骨がくっついてしまう症状)はぶつけるなど外傷のある歯や、長期間炎症が起こしていた歯などによく見られ、歯根膜の損傷が主な原因と考えられています。そのような骨性癒着を起こしている歯は矯正力をどれだけ加えても動きません。骨性癒着は精密検査でも診断できないことがほとんどです。そのため、治療途中に治療方針を変更せざるを得ない場合があります。歯や顎は動かした後に元の位置に戻ろうとするため、治療終了後は保定装置というものを使用します。 それらの装置は指示通りに使用してください。使用しないと後戻りする可能性があります。
埋伏歯の牽引にはとても長期の期間がかかることがあります。また、埋伏歯は引っ張れない可能性があることがあります。しかしながら、レントゲンなどの検査で引っ張り出すのが可能かどうかは判断できません。もし引っ張り出せなかった場合は、治療方針を変更いたします。
| 症例分類 | 叢生、上顎前突 |
| 診断名 | 上下叢生を伴う歯性上顎前突 |
| 主訴 | 出っ歯、口元が気になる |
|---|---|
| 年齢 | 15歳7ヶ月 |
| 性別 | 女性 |
| 抜歯部位 | 上下左右の第一小臼歯(4本) |
| 使用装置 | 上は裏側、下は表側のワイヤー装置 |
| 治療期間 | 2年1ヶ月 |
| 保定装置 | 固定式保定装置、取り外し式保定装置(8時間) |
| 費用 |
[検査・診断料] ¥49,500 [基本施術料] ¥1,056,000 [調整料] ¥5,500/回 [抜歯] ¥5,500/本 [保定装置] ¥55,000(税込) 抜歯や虫歯治療は他院にて費用が別途かかります。(抜歯¥4,000〜10,000/本)
|
上顎左側側切歯の形態異常を伴う上下の叢生があったため、上顎両側第一小臼歯と下顎両側第一小臼歯を抜去して治療を行いました。
また、上の歯が前方にあるため、上顎に矯正用アンカースクリューを使用して治療を行いました。
上顎左側側切歯は形態異常で幅が大きいため、可能な範囲で削合(ディスキング)しました。舌側形態の盛り上がりもあり、できる限りで形態修正をしましたが強く当たってしまうためわずかに歯を上方にし、問題なく咬合させることができました。
※写真の使用は患者様から同意を頂いております。






自費診療(保険外診療)となります。セルフケアを怠ると、虫歯・歯周病を発症する場合があります。矯正治療は患者様の協力がなければ改善できません。指示された矯正装置は必ず注意事項を守って着用が必要です。また来院期間を守って来院してください。治療結果、治療期間及び治療費に大きく影響が出る場合があります。不正咬合の状態によっては、適応しない場合があります。治療中装置の装着や咬合状態の変化などにより、一時的に咬みにくくなる場合があります。歯の動く速さや成長発育の時期には個人差があるため、治療期間が予定よりも大きく変更されることがあります。また、治療計画を変更せざるを得ない場合があります。骨性癒着(歯と骨がくっついてしまう症状)はぶつけるなど外傷のある歯や、長期間炎症が起こしていた歯などによく見られ、歯根膜の損傷が主な原因と考えられています。そのような骨性癒着を起こしている歯は矯正力をどれだけ加えても動きません。骨性癒着は精密検査でも診断できないことがほとんどです。そのため、治療途中に治療方針を変更せざるを得ない場合があります。歯や顎は動かした後に元の位置に戻ろうとするため、治療終了後は保定装置というものを使用します。 それらの装置は指示通りに使用してください。使用しないと後戻りする可能性があります。
埋伏歯の牽引にはとても長期の期間がかかることがあります。また、埋伏歯は引っ張れない可能性があることがあります。しかしながら、レントゲンなどの検査で引っ張り出すのが可能かどうかは判断できません。もし引っ張り出せなかった場合は、治療方針を変更いたします。
| 症例分類 | 叢生、上顎前突、口唇突出 |
| 診断名 | 上下叢生を伴う歯性上顎前突 |
| 主訴 | 歯並びが悪い、親知らずがときどき痛む |
|---|---|
| 年齢 | 15歳3ヶ月 |
| 性別 | 男性 |
| 抜歯部位 | 上の左右第一小臼歯と下の左右第二小臼歯(4本) |
| 使用装置 | 表側のワイヤー装置 |
| 治療期間 | 2年3ヶ月 |
| 保定装置 | 固定式保定装置、取り外し式保定装置(8時間) |
| 費用 |
[検査・診断料] ¥49,500 [基本施術料] ¥792,000 [調整料] ¥4,400/回 [抜歯] ¥5,500/本 [保定装置] ¥55,000(税込) 抜歯や虫歯治療は他院にて費用が別途かかります。(抜歯¥4,000〜10,000/本)
|
上下の叢生と上顎前歯の唇側傾斜のため、上顎両側第一小臼歯と下顎両側第二小臼歯を抜去して治療を行いました。
初め顎間ゴムの協力度が低かったのですが、途中から顎間ゴムの協力度も良くなり、問題なく咬合させることができました。
口唇突出感は無くなりました。
※写真の使用は患者様から同意を頂いております。






自費診療(保険外診療)となります。セルフケアを怠ると、虫歯・歯周病を発症する場合があります。矯正治療は患者様の協力がなければ改善できません。指示された矯正装置は必ず注意事項を守って着用が必要です。また来院期間を守って来院してください。治療結果、治療期間及び治療費に大きく影響が出る場合があります。不正咬合の状態によっては、適応しない場合があります。治療中装置の装着や咬合状態の変化などにより、一時的に咬みにくくなる場合があります。歯の動く速さや成長発育の時期には個人差があるため、治療期間が予定よりも大きく変更されることがあります。また、治療計画を変更せざるを得ない場合があります。骨性癒着(歯と骨がくっついてしまう症状)はぶつけるなど外傷のある歯や、長期間炎症が起こしていた歯などによく見られ、歯根膜の損傷が主な原因と考えられています。そのような骨性癒着を起こしている歯は矯正力をどれだけ加えても動きません。骨性癒着は精密検査でも診断できないことがほとんどです。そのため、治療途中に治療方針を変更せざるを得ない場合があります。歯や顎は動かした後に元の位置に戻ろうとするため、治療終了後は保定装置というものを使用します。 それらの装置は指示通りに使用してください。使用しないと後戻りする可能性があります。
| 症例分類 | 叢生、口唇突出 |
| 診断名 | 上下前歯部叢生 |
| 主訴 | 下の前歯がガタガタ、横から見ると口が前に出ている |
|---|---|
| 年齢 | 23歳0ヶ月 |
| 性別 | 女性 |
| 抜歯部位 | 上下左右の第一小臼歯(4本) |
| 使用装置 | 上が裏側、下が表側のワイヤー装置 |
| 治療期間 | 2年7ヶ月 |
| 保定装置 | 固定式保定装置、取り外し式保定装置(8時間) |
| 費用 |
[検査・診断料] ¥49,500 [基本施術料] ¥1,056,000 [調整料] ¥4,400/回 [抜歯] ¥5,500/本 [保定装置] ¥55,000(税込) 抜歯や虫歯治療は他院にて費用が別途かかります。(抜歯¥4,000〜10,000/本)
|
上下軽度叢生と口唇突出感があるため、上顎両側第一小臼歯と下顎両側第一小臼歯を抜去して治療を行いました。
口唇突出感が改善され、口唇閉鎖不全も無くなりました。
スペースクローズに時間がかかってしまい、予定より治療期間がかかってしまいしたが、問題なく咬合させることができました。
※写真の使用は患者様から同意を頂いております。






自費診療(保険外診療)となります。セルフケアを怠ると、虫歯・歯周病を発症する場合があります。矯正治療は患者様の協力がなければ改善できません。指示された矯正装置は必ず注意事項を守って着用が必要です。また来院期間を守って来院してください。治療結果、治療期間及び治療費に大きく影響が出る場合があります。不正咬合の状態によっては、適応しない場合があります。治療中装置の装着や咬合状態の変化などにより、一時的に咬みにくくなる場合があります。歯の動く速さや成長発育の時期には個人差があるため、治療期間が予定よりも大きく変更されることがあります。また、治療計画を変更せざるを得ない場合があります。骨性癒着(歯と骨がくっついてしまう症状)はぶつけるなど外傷のある歯や、長期間炎症が起こしていた歯などによく見られ、歯根膜の損傷が主な原因と考えられています。そのような骨性癒着を起こしている歯は矯正力をどれだけ加えても動きません。骨性癒着は精密検査でも診断できないことがほとんどです。そのため、治療途中に治療方針を変更せざるを得ない場合があります。歯や顎は動かした後に元の位置に戻ろうとするため、治療終了後は保定装置というものを使用します。 それらの装置は指示通りに使用してください。使用しないと後戻りする可能性があります。
| 症例分類 | 叢生 |
| 診断名 | 上下前歯部叢生 |
| 主訴 | 上下の前歯のガタつきが気になる |
|---|---|
| 年齢 | 24歳0ヶ月 |
| 性別 | 女性 |
| 抜歯部位 | 上下左右の第一小臼歯(4本) |
| 使用装置 | 表側のワイヤー装置 |
| 治療期間 | 1年6ヶ月 |
| 保定装置 | 固定式保定装置、取り外し式保定装置(8時間) |
| 費用 |
[検査・診断料] ¥49,500 [基本施術料] ¥792,000 [調整料] ¥4,400/回 [抜歯] ¥5,500/本 [保定装置] ¥55,000(税込) 抜歯や虫歯治療は他院にて費用が別途かかります。(抜歯¥4,000〜10,000/本)
|
上下叢生のため上顎両側第一小臼歯と下顎両側第一小臼歯を抜去して治療を行いました。
顎間ゴムの協力度が高く、歯の動きも速かったため予定より治療期間が短くなり、問題なく咬合させることができました。
※写真の使用は患者様から同意を頂いております。






自費診療(保険外診療)となります。セルフケアを怠ると、虫歯・歯周病を発症する場合があります。矯正治療は患者様の協力がなければ改善できません。指示された矯正装置は必ず注意事項を守って着用が必要です。また来院期間を守って来院してください。治療結果、治療期間及び治療費に大きく影響が出る場合があります。不正咬合の状態によっては、適応しない場合があります。治療中装置の装着や咬合状態の変化などにより、一時的に咬みにくくなる場合があります。歯の動く速さや成長発育の時期には個人差があるため、治療期間が予定よりも大きく変更されることがあります。また、治療計画を変更せざるを得ない場合があります。骨性癒着(歯と骨がくっついてしまう症状)はぶつけるなど外傷のある歯や、長期間炎症が起こしていた歯などによく見られ、歯根膜の損傷が主な原因と考えられています。そのような骨性癒着を起こしている歯は矯正力をどれだけ加えても動きません。骨性癒着は精密検査でも診断できないことがほとんどです。そのため、治療途中に治療方針を変更せざるを得ない場合があります。歯や顎は動かした後に元の位置に戻ろうとするため、治療終了後は保定装置というものを使用します。 それらの装置は指示通りに使用してください。使用しないと後戻りする可能性があります。
| 症例分類 | 上顎前突、口唇突出 |
| 診断名 | 上顎前歯の翼状捻転を伴う歯性上顎前突 |
| 主訴 | 前歯が内側に入り込んでる、出っ歯、口元が気になる |
|---|---|
| 年齢 | 23歳0ヶ月 |
| 性別 | 女性 |
| 抜歯部位 | 上の左右第一小臼歯(2本) |
| 使用装置 | 表側のワイヤー装置 |
| 治療期間 | 2年2ヶ月 |
| 保定装置 | 固定式保定装置、取り外し式保定装置(8時間) |
| 費用 |
[検査・診断料] ¥49,500 [基本施術料] ¥792,000 [調整料] ¥4,400/回 [抜歯] ¥5,500/本 [保定装置] ¥55,000(税込) 抜歯や虫歯治療は他院にて費用が別途かかります。(抜歯¥4,000〜10,000/本)
|
上顎前歯の翼状捻転(両側の前歯が捻れている)および叢生と上の歯が前方にあるため、上顎両側第一小臼歯を抜去して治療を行いました。
顎間ゴムの協力度も高く、問題なく咬合させることができました。
※写真の使用は患者様から同意を頂いております。






自費診療(保険外診療)となります。セルフケアを怠ると、虫歯・歯周病を発症する場合があります。矯正治療は患者様の協力がなければ改善できません。指示された矯正装置は必ず注意事項を守って着用が必要です。また来院期間を守って来院してください。治療結果、治療期間及び治療費に大きく影響が出る場合があります。不正咬合の状態によっては、適応しない場合があります。治療中装置の装着や咬合状態の変化などにより、一時的に咬みにくくなる場合があります。歯の動く速さや成長発育の時期には個人差があるため、治療期間が予定よりも大きく変更されることがあります。また、治療計画を変更せざるを得ない場合があります。骨性癒着(歯と骨がくっついてしまう症状)はぶつけるなど外傷のある歯や、長期間炎症が起こしていた歯などによく見られ、歯根膜の損傷が主な原因と考えられています。そのような骨性癒着を起こしている歯は矯正力をどれだけ加えても動きません。骨性癒着は精密検査でも診断できないことがほとんどです。そのため、治療途中に治療方針を変更せざるを得ない場合があります。歯や顎は動かした後に元の位置に戻ろうとするため、治療終了後は保定装置というものを使用します。 それらの装置は指示通りに使用してください。使用しないと後戻りする可能性があります。
埋伏歯の牽引にはとても長期の期間がかかることがあります。また、埋伏歯は引っ張れない可能性があることがあります。しかしながら、レントゲンなどの検査で引っ張り出すのが可能かどうかは判断できません。もし引っ張り出せなかった場合は、治療方針を変更いたします。
| 症例分類 | 開咬、叢生、クロスバイト |
| 診断名 | 上下叢生を伴う骨格性開咬 |
| 主訴 | 前歯で噛み切れない、ガタガタ |
|---|---|
| 年齢 | 23歳11ヶ月 |
| 性別 | 男性 |
| 抜歯部位 | 上の右側第一小臼歯、上の左側第二小臼歯、下の右側第一小臼歯、下の左側第一大臼歯(4本) |
| 使用装置 | 上は裏側、下は表側のワイヤー装置 |
| 治療期間 | 2年9ヶ月 |
| 保定装置 | 固定式保定装置、取り外し式保定装置(8時間) |
| 費用 |
[検査・診断料] ¥49,500 [基本施術料] ¥1,056,000 [調整料] ¥5,500/回 [抜歯] ¥5,500/本 [保定装置] ¥55,000(税込) 抜歯や虫歯治療は他院にて費用が別途かかります。(抜歯¥4,000〜10,000/本)
|
上下重度叢生と前歯部重度開咬のため、手術を併用した治療と矯正単独での治療について説明をさせて頂きました。その上で、手術は拒否され矯正単独で治療することになりました。
また、下顎左側第一大臼歯と上顎左側第二小臼歯の状態が悪かったため、通常上下小臼歯と親知らずを抜歯する予定でしたが、上顎右側第一小臼歯と上顎左側第二小臼歯と下顎左側第一大臼歯を抜去して治療を進めていきました。
顎間ゴムなどの協力度も良く、舌のポジションについても説明しながら治療を進めていき、問題なく咬合させることができました。
※写真の使用は患者様から同意を頂いております。






自費診療(保険外診療)となります。セルフケアを怠ると、虫歯・歯周病を発症する場合があります。矯正治療は患者様の協力がなければ改善できません。指示された矯正装置は必ず注意事項を守って着用が必要です。また来院期間を守って来院してください。治療結果、治療期間及び治療費に大きく影響が出る場合があります。不正咬合の状態によっては、適応しない場合があります。治療中装置の装着や咬合状態の変化などにより、一時的に咬みにくくなる場合があります。歯の動く速さや成長発育の時期には個人差があるため、治療期間が予定よりも大きく変更されることがあります。また、治療計画を変更せざるを得ない場合があります。骨性癒着(歯と骨がくっついてしまう症状)はぶつけるなど外傷のある歯や、長期間炎症が起こしていた歯などによく見られ、歯根膜の損傷が主な原因と考えられています。そのような骨性癒着を起こしている歯は矯正力をどれだけ加えても動きません。骨性癒着は精密検査でも診断できないことがほとんどです。そのため、治療途中に治療方針を変更せざるを得ない場合があります。歯や顎は動かした後に元の位置に戻ろうとするため、治療終了後は保定装置というものを使用します。 それらの装置は指示通りに使用してください。使用しないと後戻りする可能性があります。
埋伏歯の牽引にはとても長期の期間がかかることがあります。また、埋伏歯は引っ張れない可能性があることがあります。しかしながら、レントゲンなどの検査で引っ張り出すのが可能かどうかは判断できません。もし引っ張り出せなかった場合は、治療方針を変更いたします。
| 症例分類 | 叢生、口唇突出 |
| 診断名 | 左側犬歯の低位唇側転移を伴う上下叢生 |
| 主訴 | 前歯が出てる、八重歯、下の歯並びが悪い |
|---|---|
| 年齢 | 26歳8ヶ月 |
| 性別 | 女性 |
| 抜歯部位 | 上の左右第一小臼歯と下の左右第二小臼歯(4本) |
| 使用装置 | 表側のワイヤー装置 |
| 治療期間 | 2年1ヶ月 |
| 保定装置 | 固定式保定装置、取り外し式保定装置(8時間) |
| 費用 |
[検査・診断料] ¥49,500 [基本施術料] ¥792,000 [調整料] ¥4,400/回 [抜歯] ¥5,500/本 [保定装置] ¥55,000(税込) 抜歯や虫歯治療は他院にて費用が別途かかります。(抜歯¥4,000〜10,000/本)
|
上下の歯のガタつきと前歯の前突感の改善をご希望で来院されました。
口唇閉鎖不全もあるため上顎両側第一小臼歯と下顎両側第二小臼歯を抜去して治療を行いました。
口唇閉鎖不全を改善するためにしっかりと前歯を舌側に移動させる必要があったため、矯正用アンカースクリューを用いて治療を行いました。
上顎前歯をしっかりと舌側移動できたため、おとがい部の緊張(顎の先のシワ)がなくなり、楽に口唇を閉鎖できるようになりました。
※写真の使用は患者様から同意を頂いております。






自費診療(保険外診療)となります。セルフケアを怠ると、虫歯・歯周病を発症する場合があります。矯正治療は患者様の協力がなければ改善できません。指示された矯正装置は必ず注意事項を守って着用が必要です。また来院期間を守って来院してください。治療結果、治療期間及び治療費に大きく影響が出る場合があります。不正咬合の状態によっては、適応しない場合があります。治療中装置の装着や咬合状態の変化などにより、一時的に咬みにくくなる場合があります。歯の動く速さや成長発育の時期には個人差があるため、治療期間が予定よりも大きく変更されることがあります。また、治療計画を変更せざるを得ない場合があります。骨性癒着(歯と骨がくっついてしまう症状)はぶつけるなど外傷のある歯や、長期間炎症が起こしていた歯などによく見られ、歯根膜の損傷が主な原因と考えられています。そのような骨性癒着を起こしている歯は矯正力をどれだけ加えても動きません。骨性癒着は精密検査でも診断できないことがほとんどです。そのため、治療途中に治療方針を変更せざるを得ない場合があります。歯や顎は動かした後に元の位置に戻ろうとするため、治療終了後は保定装置というものを使用します。 それらの装置は指示通りに使用してください。使用しないと後戻りする可能性があります。
埋伏歯の牽引にはとても長期の期間がかかることがあります。また、埋伏歯は引っ張れない可能性があることがあります。しかしながら、レントゲンなどの検査で引っ張り出すのが可能かどうかは判断できません。もし引っ張り出せなかった場合は、治療方針を変更いたします。
| 症例分類 | 叢生、クロスバイト |
| 診断名 | 上下前歯部叢生 |
| 主訴 | 歯列の乱れ、顎の歪み |
|---|---|
| 年齢 | 25歳8ヶ月 |
| 性別 | 女性 |
| 抜歯部位 | 上下左右の第二小臼歯(4本) |
| 使用装置 | 表側のワイヤー装置 |
| 治療期間 | 2年3ヶ月 |
| 保定装置 | 固定式保定装置、取り外し式保定装置(8時間) |
| 費用 |
[検査・診断料] ¥49,500 [基本施術料] ¥792,000 [調整料] ¥4,400/回 [抜歯] ¥5,500/本 [保定装置] ¥55,000(税込) 抜歯や虫歯治療は他院にて費用が別途かかります。(抜歯¥4,000〜10,000/本)
|
上下の歯のガタつきと顎の歪みの改善をご希望で来院されました。
上下で叢生がありましたが、口唇突出感は少ないため上下の第二小臼歯を抜去して治療を行いました。また、前歯部咬合時に左側への誘導(顎をずらして咬むこと)がありましたが、かみ合わせが改善されたことにより当初気にされていた顎の歪みもある程度改善することができました。
顎間ゴムの協力度も良く問題なく咬合することができました。
※写真の使用は患者様から同意を頂いております。






自費診療(保険外診療)となります。セルフケアを怠ると、虫歯・歯周病を発症する場合があります。矯正治療は患者様の協力がなければ改善できません。指示された矯正装置は必ず注意事項を守って着用が必要です。また来院期間を守って来院してください。治療結果、治療期間及び治療費に大きく影響が出る場合があります。不正咬合の状態によっては、適応しない場合があります。治療中装置の装着や咬合状態の変化などにより、一時的に咬みにくくなる場合があります。歯の動く速さや成長発育の時期には個人差があるため、治療期間が予定よりも大きく変更されることがあります。また、治療計画を変更せざるを得ない場合があります。骨性癒着(歯と骨がくっついてしまう症状)はぶつけるなど外傷のある歯や、長期間炎症が起こしていた歯などによく見られ、歯根膜の損傷が主な原因と考えられています。そのような骨性癒着を起こしている歯は矯正力をどれだけ加えても動きません。骨性癒着は精密検査でも診断できないことがほとんどです。そのため、治療途中に治療方針を変更せざるを得ない場合があります。歯や顎は動かした後に元の位置に戻ろうとするため、治療終了後は保定装置というものを使用します。 それらの装置は指示通りに使用してください。使用しないと後戻りする可能性があります。
埋伏歯の牽引にはとても長期の期間がかかることがあります。また、埋伏歯は引っ張れない可能性があることがあります。しかしながら、レントゲンなどの検査で引っ張り出すのが可能かどうかは判断できません。もし引っ張り出せなかった場合は、治療方針を変更いたします。
| 症例分類 | 叢生、口唇突出 |
| 診断名 | 右上犬歯低位唇側転移を伴う上下叢生 |
| 主訴 | 八重歯 |
|---|---|
| 年齢 | 20歳7ヶ月 |
| 性別 | 女性 |
| 抜歯部位 | 非抜歯 |
| 使用装置 | 透明のマウスピース型矯正装置 |
| 治療期間 | 1年9ヶ月 |
| 保定装置 | 固定式保定装置、取り外し式保定装置(8時間) |
| 費用 |
[検査・診断料] ¥49,500 [基本施術料] ¥946,000 [調整料] ¥4,400/回 [抜歯] ¥5,500/本 [保定装置] ¥55,000(税込) 抜歯や虫歯治療は他院にて費用が別途かかります。(抜歯¥4,000〜10,000/本)
|
上下の歯のガタつきと、右側の八重歯が気になるとのことで来院されました。右側のかみ合わせが前方にあるため、親知らずを抜去して上の右側の歯列を後ろに下げることと上下の歯の間をわずかに削合することにより非抜歯で治療を進めていきました。
マウスピースの使用時間や顎間ゴムの協力度も高く、問題なく咬合することができました。
※写真の使用は患者様から同意を頂いております。






自費診療(保険外診療)となります。セルフケアを怠ると、虫歯・歯周病を発症する場合があります。矯正治療は患者様の協力がなければ改善できません。指示された矯正装置は必ず注意事項を守って着用が必要です。また来院期間を守って来院してください。治療結果、治療期間及び治療費に大きく影響が出る場合があります。不正咬合の状態によっては、適応しない場合があります。治療中装置の装着や咬合状態の変化などにより、一時的に咬みにくくなる場合があります。歯の動く速さや成長発育の時期には個人差があるため、治療期間が予定よりも大きく変更されることがあります。また、治療計画を変更せざるを得ない場合があります。骨性癒着(歯と骨がくっついてしまう症状)はぶつけるなど外傷のある歯や、長期間炎症が起こしていた歯などによく見られ、歯根膜の損傷が主な原因と考えられています。そのような骨性癒着を起こしている歯は矯正力をどれだけ加えても動きません。骨性癒着は精密検査でも診断できないことがほとんどです。そのため、治療途中に治療方針を変更せざるを得ない場合があります。歯や顎は動かした後に元の位置に戻ろうとするため、治療終了後は保定装置というものを使用します。 それらの装置は指示通りに使用してください。使用しないと後戻りする可能性があります。
埋伏歯の牽引にはとても長期の期間がかかることがあります。また、埋伏歯は引っ張れない可能性があることがあります。しかしながら、レントゲンなどの検査で引っ張り出すのが可能かどうかは判断できません。もし引っ張り出せなかった場合は、治療方針を変更いたします。
| 症例分類 | 叢生 |
| 診断名 | 下顎前歯叢生 |
| 主訴 | 下の歯が一部出ている |
|---|---|
| 年齢 | 18歳3ヶ月 |
| 性別 | 女性 |
| 抜歯部位 | 非抜歯 |
| 使用装置 | 上は裏側、下は表側のワイヤー装置 |
| 治療期間 | 1年9ヶ月 |
| 保定装置 | 固定式保定装置、取り外し式保定装置(8時間) |
| 費用 |
[検査・診断料] ¥49,500 [基本施術料] ¥1,056,000 [調整料] ¥5,500/回 [抜歯] ¥5,500/本 [保定装置] ¥55,000(税込) 抜歯や虫歯治療は他院にて費用が別途かかります。(抜歯¥4,000〜10,000/本)
|
頬側に出ている右下の犬歯が気になるとのことで来院されました。口唇突出感がなく上顎の歯のガタつきも少なかったため、上下で歯の間をわずかに削合し非抜歯で治療を行いました。
右下の犬歯の歯肉が下がらないように下顎前歯は早めに削合し、注意しながら治療を進めました。
上下の歯軸も良好で問題なく咬合させることができました。
※写真の使用は患者様から同意を頂いております。






自費診療(保険外診療)となります。セルフケアを怠ると、虫歯・歯周病を発症する場合があります。矯正治療は患者様の協力がなければ改善できません。指示された矯正装置は必ず注意事項を守って着用が必要です。また来院期間を守って来院してください。治療結果、治療期間及び治療費に大きく影響が出る場合があります。不正咬合の状態によっては、適応しない場合があります。治療中装置の装着や咬合状態の変化などにより、一時的に咬みにくくなる場合があります。歯の動く速さや成長発育の時期には個人差があるため、治療期間が予定よりも大きく変更されることがあります。また、治療計画を変更せざるを得ない場合があります。骨性癒着(歯と骨がくっついてしまう症状)はぶつけるなど外傷のある歯や、長期間炎症が起こしていた歯などによく見られ、歯根膜の損傷が主な原因と考えられています。そのような骨性癒着を起こしている歯は矯正力をどれだけ加えても動きません。骨性癒着は精密検査でも診断できないことがほとんどです。そのため、治療途中に治療方針を変更せざるを得ない場合があります。歯や顎は動かした後に元の位置に戻ろうとするため、治療終了後は保定装置というものを使用します。 それらの装置は指示通りに使用してください。使用しないと後戻りする可能性があります。
埋伏歯の牽引にはとても長期の期間がかかることがあります。また、埋伏歯は引っ張れない可能性があることがあります。しかしながら、レントゲンなどの検査で引っ張り出すのが可能かどうかは判断できません。もし引っ張り出せなかった場合は、治療方針を変更いたします。
| 症例分類 | 叢生、過蓋咬合 |
| 診断名 | 上下叢生 |
| 主訴 | 下の歯並びがガタガタで気になる |
|---|---|
| 年齢 | 26歳0ヶ月 |
| 性別 | 男性 |
| 抜歯部位 | 非抜歯 |
| 使用装置 | 透明のマウスピース型矯正装置 |
| 治療期間 | 1年6ヶ月 |
| 保定装置 | 固定式保定装置、取り外し式保定装置(8時間) |
| 費用 |
[検査・診断料] ¥49,500 [基本施術料] ¥946,000 [調整料] ¥4,400/回 [抜歯] ¥5,500/本 [保定装置] ¥55,000(税込) 抜歯や虫歯治療は他院にて費用が別途かかります。(抜歯¥4,000〜10,000/本)
|
ガタガタに並んだ上下の前歯が気になるとのことで来院されました。歯のガタつきが軽度であったことと口唇の位置にも問題がなかったため、上下で歯の間をわずかに削合し非抜歯で治療を行いました。
上の前歯が舌側に傾斜しており噛み合わせが深くなっていたため、前歯部の唇側への傾斜と圧下により上下の歯軸を良好な状態にすることができ、問題なく咬合することができました。
※写真の使用は患者様から同意を頂いております。






自費診療(保険外診療)となります。セルフケアを怠ると、虫歯・歯周病を発症する場合があります。矯正治療は患者様の協力がなければ改善できません。指示された矯正装置は必ず注意事項を守って着用が必要です。また来院期間を守って来院してください。治療結果、治療期間及び治療費に大きく影響が出る場合があります。不正咬合の状態によっては、適応しない場合があります。治療中装置の装着や咬合状態の変化などにより、一時的に咬みにくくなる場合があります。歯の動く速さや成長発育の時期には個人差があるため、治療期間が予定よりも大きく変更されることがあります。また、治療計画を変更せざるを得ない場合があります。骨性癒着(歯と骨がくっついてしまう症状)はぶつけるなど外傷のある歯や、長期間炎症が起こしていた歯などによく見られ、歯根膜の損傷が主な原因と考えられています。そのような骨性癒着を起こしている歯は矯正力をどれだけ加えても動きません。骨性癒着は精密検査でも診断できないことがほとんどです。そのため、治療途中に治療方針を変更せざるを得ない場合があります。歯や顎は動かした後に元の位置に戻ろうとするため、治療終了後は保定装置というものを使用します。 それらの装置は指示通りに使用してください。使用しないと後戻りする可能性があります。
埋伏歯の牽引にはとても長期の期間がかかることがあります。また、埋伏歯は引っ張れない可能性があることがあります。しかしながら、レントゲンなどの検査で引っ張り出すのが可能かどうかは判断できません。もし引っ張り出せなかった場合は、治療方針を変更いたします。
| 症例分類 | 叢生 |
| 診断名 | 右側側切歯のクロスバイトを伴う上下右側前歯部叢生 |
| 主訴 | 上の歯の左側が重なっていて気になる |
|---|---|
| 年齢 | 33歳5ヶ月 |
| 性別 | 女性 |
| 抜歯部位 | 非抜歯 |
| 使用装置 | 透明のマウスピース型矯正装置 |
| 治療期間 | 2年5ヶ月 |
| 保定装置 | 固定式保定装置、取り外し式保定装置(8時間) |
| 費用 |
[検査・診断料] ¥49,500 [基本施術料] ¥946,000 [調整料] ¥4,400/回 [抜歯] ¥5,500/本 [保定装置] ¥55,000(税込) 抜歯や虫歯治療は他院にて費用が別途かかります。(抜歯¥4,000〜10,000/本)
|
左側側切歯のクロスバイトと左側臼歯の近心移動があるため、左上第3大臼歯を抜去し上顎左側歯列を遠心移動させ、上下叢生の改善のためにストリッピングでスペースを作りながら治療を行いました。
左側の舌側転移のトルクコントロールに少し時間がかかり、治療期間はややかかってしまいました。
※写真の使用は患者様から同意を頂いております。





自費診療(保険外診療)となります。セルフケアを怠ると、虫歯・歯周病を発症する場合があります。矯正治療は患者様の協力がなければ改善できません。指示された矯正装置は必ず注意事項を守って着用が必要です。また来院期間を守って来院してください。治療結果、治療期間及び治療費に大きく影響が出る場合があります。不正咬合の状態によっては、適応しない場合があります。治療中装置の装着や咬合状態の変化などにより、一時的に咬みにくくなる場合があります。歯の動く速さや成長発育の時期には個人差があるため、治療期間が予定よりも大きく変更されることがあります。また、治療計画を変更せざるを得ない場合があります。骨性癒着(歯と骨がくっついてしまう症状)はぶつけるなど外傷のある歯や、長期間炎症が起こしていた歯などによく見られ、歯根膜の損傷が主な原因と考えられています。そのような骨性癒着を起こしている歯は矯正力をどれだけ加えても動きません。骨性癒着は精密検査でも診断できないことがほとんどです。そのため、治療途中に治療方針を変更せざるを得ない場合があります。歯や顎は動かした後に元の位置に戻ろうとするため、治療終了後は保定装置というものを使用します。 それらの装置は指示通りに使用してください。使用しないと後戻りする可能性があります。
| 症例分類 | 下顎前突、空隙歯列 |
| 診断名 | 左上4埋伏を伴う切端咬合 |
| 主訴 | 上下の噛み合わせが悪い、口元が気になる |
|---|---|
| 年齢 | 18歳2ヶ月 |
| 性別 | 女性 |
| 抜歯部位 | 非抜歯 |
| 使用装置 | マウスピース型矯正装置 |
| 治療期間 | 10ヶ月 |
| 保定装置 | 固定式保定装置、取り外し式保定装置(8時間) |
| 費用 |
[検査・診断料] ¥49,500 [基本施術料] ¥946,000 [調整料] ¥4,400/回 [抜歯] ¥5,500/本 [保定装置] ¥55,000(税込) 抜歯や虫歯治療は他院にて費用が別途かかります。(抜歯¥4,000〜10,000/本)
|
左上の前から4番目に乳歯が残っており永久歯が埋伏していましたが、繊維性腫瘍があり牽引ができない状態でした。そのため乳歯を残して治療を行いました。
乳歯は動かすと歯根吸収が進みやすくなり寿命が短くなる原因となるため動かさないように治療を進めることが望ましく、ワイヤー矯正では特定の歯を動かさずに治療することが困難なため、歯1本ずつの操作が可能であるマウスピース矯正を選択しました。
マウスピースの使用時間の協力度が高く、予定通りの期間で治療が終了しました。
※写真の使用は患者様から同意を頂いております。





自費診療(保険外診療)となります。セルフケアを怠ると、虫歯・歯周病を発症する場合があります。矯正治療は患者様の協力がなければ改善できません。指示された矯正装置は必ず注意事項を守って着用が必要です。また来院期間を守って来院してください。治療結果、治療期間及び治療費に大きく影響が出る場合があります。不正咬合の状態によっては、適応しない場合があります。治療中装置の装着や咬合状態の変化などにより、一時的に咬みにくくなる場合があります。歯の動く速さや成長発育の時期には個人差があるため、治療期間が予定よりも大きく変更されることがあります。また、治療計画を変更せざるを得ない場合があります。骨性癒着(歯と骨がくっついてしまう症状)はぶつけるなど外傷のある歯や、長期間炎症が起こしていた歯などによく見られ、歯根膜の損傷が主な原因と考えられています。そのような骨性癒着を起こしている歯は矯正力をどれだけ加えても動きません。骨性癒着は精密検査でも診断できないことがほとんどです。そのため、治療途中に治療方針を変更せざるを得ない場合があります。歯や顎は動かした後に元の位置に戻ろうとするため、治療終了後は保定装置というものを使用します。 それらの装置は指示通りに使用してください。使用しないと後戻りする可能性があります。
| 症例分類 | 叢生、クロスバイト |
| 診断名 | 左側2-6のクロスバイトを伴う上下叢生 |
| 主訴 | 噛み合わせ、歯の中心がズレてる |
|---|---|
| 年齢 | 37歳7ヶ月 |
| 性別 | 女性 |
| 抜歯部位 | 非抜歯 |
| 使用装置 | 透明のマウスピース型矯正装置 |
| 治療期間 | 1年7ヶ月 |
| 保定装置 | 固定式保定装置、取り外し式保定装置(8時間) |
| 費用 |
[検査・診断料] ¥49,500 [基本施術料] ¥946,000 [調整料] ¥4,400/回 [抜歯] ¥5,500/本 [保定装置] ¥55,000(税込) 抜歯や虫歯治療は他院にて費用が別途かかります。(抜歯¥4,000〜10,000/本)
|
歯列弓が狭いため左側臼歯部クロスバイトと、咬合時に左側への偏位が認められました。
そのため、上顎歯列弓を拡大しながら、下顎の歯をわずかに削合することで歯列弓を少し狭めて治療を進めました。上顎歯列弓の拡大時には噛みづらい時期がありましたが、マウスピースの使用時間の協力度が高かったため、予定通りの期間で治療を終えることができました。
※写真の使用は患者様から同意を頂いております。





自費診療(保険外診療)となります。セルフケアを怠ると、虫歯・歯周病を発症する場合があります。矯正治療は患者様の協力がなければ改善できません。指示された矯正装置は必ず注意事項を守って着用が必要です。また来院期間を守って来院してください。治療結果、治療期間及び治療費に大きく影響が出る場合があります。不正咬合の状態によっては、適応しない場合があります。治療中装置の装着や咬合状態の変化などにより、一時的に咬みにくくなる場合があります。歯の動く速さや成長発育の時期には個人差があるため、治療期間が予定よりも大きく変更されることがあります。また、治療計画を変更せざるを得ない場合があります。骨性癒着(歯と骨がくっついてしまう症状)はぶつけるなど外傷のある歯や、長期間炎症が起こしていた歯などによく見られ、歯根膜の損傷が主な原因と考えられています。そのような骨性癒着を起こしている歯は矯正力をどれだけ加えても動きません。骨性癒着は精密検査でも診断できないことがほとんどです。そのため、治療途中に治療方針を変更せざるを得ない場合があります。歯や顎は動かした後に元の位置に戻ろうとするため、治療終了後は保定装置というものを使用します。 それらの装置は指示通りに使用してください。使用しないと後戻りする可能性があります。
| 症例分類 | 顎変形症、叢生、下顎前突 |
| 診断名 | 骨格性下顎前突 |
| 主訴 | 反対咬合 |
|---|---|
| 年齢 | 21歳1ヶ月 |
| 性別 | 女性 |
| 抜歯部位 | 上の左右第一小臼歯と下の左右第二大臼歯(4本) |
| 使用装置 | 表側のワイヤー装置+外科矯正(手術を併用した治療) |
| 治療期間 | 3年2ヶ月 |
| 保定装置 | 固定式保定装置、取り外し式保定装置(8時間) |
| 費用 |
保険適応 [検査・診断等] 2万円程度 [装置装着] 5〜7万円程度 [調整料] 2,000〜7,000円程度/回 [手術前検査等] 2万円程度 [保定装置等] 4万円程度 合計18〜25万円程度 |
「下顎の前突感は気になるが、手術はできるだけしたくない」とのご希望で下顎両側第二大臼歯を抜去して下顎歯列の遠心移動をする治療方針を立案して進めていきました。しかしながら治療途中で手術での改善を希望されたため、上顎両側第一小臼歯を抜去して手術を併用して治療する方法に切り替えて治療しました。そのため治療期間はかなり長くかかってしまいましたが、下顎の突出感と上顎前歯の唇側傾斜を改善することができました。
※写真の使用は患者様から同意を頂いております。






セルフケアを怠ると、虫歯・歯周病を発症する場合があります。矯正治療は患者様の協力がなければ改善できません。指示された矯正装置は必ず注意事項を守って着用が必要です。また来院期間を守って来院してください。治療結果、治療期間及び治療費に大きく影響が出る場合があります。不正咬合の状態によっては、適応しない場合があります。治療中装置の装着や咬合状態の変化などにより、一時的に咬みにくくなる場合があります。歯の動く速さや成長発育の時期には個人差があるため、治療期間が予定よりも大きく変更されることがあります。また、治療計画を変更せざるを得ない場合があります。骨性癒着(歯と骨がくっついてしまう症状)はぶつけるなど外傷のある歯や、長期間炎症が起こしていた歯などによく見られ、歯根膜の損傷が主な原因と考えられています。そのような骨性癒着を起こしている歯は矯正力をどれだけ加えても動きません。骨性癒着は精密検査でも診断できないことがほとんどです。そのため、治療途中に治療方針を変更せざるを得ない場合があります。歯や顎は動かした後に元の位置に戻ろうとするため、治療終了後は保定装置というものを使用します。 それらの装置は指示通りに使用してください。使用しないと後戻りする可能性があります。
手術での治療は、全身麻酔のリスク、 血管や神経の損傷のリスク、感染のリスク、骨の再形成不全のリスク、顎の痺れ、顔の腫れなど手術中、手術後の副作用やリスクがあります。
また、手術は全身麻酔で顎の骨を骨折させるため、入院が10日前後必要になります。
| 症例分類 | 空隙歯列 |
| 診断名 | 14,15,25,35,45欠損を伴う上下スペースアーチ |
| 主訴 | 歯が少なくて隙間ができている |
|---|---|
| 年齢 | 16歳8ヶ月 |
| 性別 | 男性 |
| 抜歯部位 | 右上の乳歯 |
| 使用装置 | 上は裏側、下は表側のワイヤー装置 |
| 治療期間 | 2年10ヶ月 |
| 保定装置 | 固定式保定装置、取り外し式保定装置(8時間) |
| 費用 |
[検査・診断料] ¥49,500 [基本施術料] ¥1,056,000 [調整料] ¥5,500/回 [抜歯] ¥5,500/本 [保定装置] ¥55,000(税込) 抜歯や虫歯治療は他院にて費用が別途かかります。(抜歯¥4,000〜10,000/本)
|
上顎右側第一・第二小臼歯と上顎左側第二小臼歯と下顎両側第二小臼歯が先天性欠損のため空隙歯列を呈していた。「できる限り矯正でスペースを閉じたい」という患者さんのご希望もあり、上顎左側に残っている乳歯を抜去し、上顎右側の乳歯のみ残して全てのスペースを閉じるように治療を進めました。
スペースを閉じるのに時間がかかったため治療期間は予定よりもやや長くはなりましたが、全てのスペースを閉じてしっかりと咬合することができました。
右上の乳歯は傾斜していて根もかなり短いため、保定期間中に抜去してブリッジやインプラントをしてもらうようお願いしています。
※写真の使用は患者様から同意を頂いております。






自費診療(保険外診療)となります。セルフケアを怠ると、虫歯・歯周病を発症する場合があります。矯正治療は患者様の協力がなければ改善できません。指示された矯正装置は必ず注意事項を守って着用が必要です。また来院期間を守って来院してください。治療結果、治療期間及び治療費に大きく影響が出る場合があります。不正咬合の状態によっては、適応しない場合があります。治療中装置の装着や咬合状態の変化などにより、一時的に咬みにくくなる場合があります。歯の動く速さや成長発育の時期には個人差があるため、治療期間が予定よりも大きく変更されることがあります。また、治療計画を変更せざるを得ない場合があります。骨性癒着(歯と骨がくっついてしまう症状)はぶつけるなど外傷のある歯や、長期間炎症が起こしていた歯などによく見られ、歯根膜の損傷が主な原因と考えられています。そのような骨性癒着を起こしている歯は矯正力をどれだけ加えても動きません。骨性癒着は精密検査でも診断できないことがほとんどです。そのため、治療途中に治療方針を変更せざるを得ない場合があります。歯や顎は動かした後に元の位置に戻ろうとするため、治療終了後は保定装置というものを使用します。それらの装置は指示通りに使用してください。使用しないと後戻りする可能性があります。
| 症例分類 | 叢生、口唇突出 |
| 診断名 | 上下口唇の突出を伴う上下軽度叢生 |
| 主訴 | 前歯が出ていて口元が気になる |
|---|---|
| 年齢 | 20歳5ヶ月 |
| 性別 | 女性 |
| 抜歯部位 | 上下左右の第一小臼歯(4本) |
| 使用装置 | 表側のワイヤー装置 |
| 治療期間 | 2年11ヶ月 |
| 保定装置 | 固定式保定装置、取り外し式保定装置(8時間) |
| 費用 |
[検査・診断料] ¥49,500 [基本施術料] ¥792,000 [調整料] ¥4,400/回 [抜歯] ¥5,500/本 [保定装置] ¥55,000(税込) 抜歯や虫歯治療は他院にて費用が別途かかります。(抜歯¥4,000〜10,000/本)
|
上下前歯の唇側傾斜があり口唇閉鎖不全と口唇突出感があるため、上顎両側の第一小臼歯と下顎両側第一小臼歯を抜去して治療を行いました。
矯正用アンカースクリューを用いることで前歯をしっかりと舌側傾斜させることができました。患者様のご予定等で毎月の通院が難しく合計で8ヶ月程度通院できなかったため、治療期間としては予定よりもかかってしまいましたが、口唇閉鎖不全と口唇突出感、前歯の唇側傾斜を改善することができました。
※写真の使用は患者様から同意を頂いております。






自費診療(保険外診療)となります。セルフケアを怠ると、虫歯・歯周病を発症する場合があります。矯正治療は患者様の協力がなければ改善できません。指示された矯正装置は必ず注意事項を守って着用が必要です。また来院期間を守って来院してください。治療結果、治療期間及び治療費に大きく影響が出る場合があります。不正咬合の状態によっては、適応しない場合があります。治療中装置の装着や咬合状態の変化などにより、一時的に咬みにくくなる場合があります。歯の動く速さや成長発育の時期には個人差があるため、治療期間が予定よりも大きく変更されることがあります。また、治療計画を変更せざるを得ない場合があります。骨性癒着(歯と骨がくっついてしまう症状)はぶつけるなど外傷のある歯や、長期間炎症が起こしていた歯などによく見られ、歯根膜の損傷が主な原因と考えられています。そのような骨性癒着を起こしている歯は矯正力をどれだけ加えても動きません。骨性癒着は精密検査でも診断できないことがほとんどです。そのため、治療途中に治療方針を変更せざるを得ない場合があります。歯や顎は動かした後に元の位置に戻ろうとするため、治療終了後は保定装置というものを使用します。 それらの装置は指示通りに使用してください。使用しないと後戻りする可能性があります。
| 症例分類 | 顎変形症、叢生、顎変移 |
| 診断名 | 下顎の左側偏位を伴上下叢生 |
| 主訴 | かみ合わせがいまいち合わない、前歯のガタガタ |
|---|---|
| 年齢 | 20歳10ヶ月 |
| 性別 | 女性 |
| 抜歯部位 | 上の第一小臼歯(2本) |
| 使用装置 | 表側のワイヤー装置+外科矯正(手術を併用した治療) |
| 治療期間 | 1年11ヶ月 |
| 保定装置 | 固定式保定装置、取り外し式保定装置(8時間) |
| 費用 |
保険適応 [検査・診断等] 2万円程度 [装置装着] 5〜7万円程度 [調整料] 2,000〜7,000円程度/回 [手術前検査等] 2万円程度 [保定装置等] 4万円程度 合計18〜25万円程度 |
下顎の右側偏移があり、骨格的にも受け口だったため、上顎両側第一小臼歯を抜去して手術を併用して治療を行いました。術前は前歯が反対のかみ合わせになり、初診時より咬合、顔貌は一旦悪くなります。1年5ヶ月の術前矯正のあと手術を行いました。
手術後に使用が必要になるゴムの協力度が高く、手術後は7ヶ月の術後矯正で治療を終了することができました。
顎の歪みも下顎の前方感も改善することができました。
※写真の使用は患者様から同意を頂いております。






セルフケアを怠ると、虫歯・歯周病を発症する場合があります。矯正治療は患者様の協力がなければ改善できません。指示された矯正装置は必ず注意事項を守って着用が必要です。また来院期間を守って来院してください。治療結果、治療期間及び治療費に大きく影響が出る場合があります。不正咬合の状態によっては、適応しない場合があります。治療中装置の装着や咬合状態の変化などにより、一時的に咬みにくくなる場合があります。歯の動く速さや成長発育の時期には個人差があるため、治療期間が予定よりも大きく変更されることがあります。また、治療計画を変更せざるを得ない場合があります。骨性癒着(歯と骨がくっついてしまう症状)はぶつけるなど外傷のある歯や、長期間炎症が起こしていた歯などによく見られ、歯根膜の損傷が主な原因と考えられています。そのような骨性癒着を起こしている歯は矯正力をどれだけ加えても動きません。骨性癒着は精密検査でも診断できないことがほとんどです。そのため、治療途中に治療方針を変更せざるを得ない場合があります。歯や顎は動かした後に元の位置に戻ろうとするため、治療終了後は保定装置というものを使用します。 それらの装置は指示通りに使用してください。使用しないと後戻りする可能性があります。
手術をするため、全身麻酔をするリスク、血管や神経の損傷のリスクがあります。
また、術後に手術後の感染のリスク、骨の再形成不全のリスク、痺れのリスクがあります。
| 症例分類 | 顎変形症、叢生、開咬 |
| 診断名 | 上下軽度叢生を伴う骨格性開咬 |
| 主訴 | 前歯でものが噛み切れない、奥歯もあまり噛み合わない |
|---|---|
| 年齢 | 21歳9ヶ月 |
| 性別 | 女性 |
| 抜歯部位 | 上下左右の第一小臼歯(4本) |
| 使用装置 | 表側のワイヤー装置+外科矯正(手術を併用した治療) |
| 治療期間 | 1年8ヶ月 |
| 保定装置 | 固定式保定装置、取り外し式保定装置(8時間) |
| 費用 |
保険適応 [検査・診断等] 2万円程度 [装置装着] 5〜7万円程度 [調整料] 2,000〜7,000円程度/回 [手術前検査等] 2万円程度 [保定装置等] 4万円程度 合計18〜25万円程度 |
下顎の右側偏移があり、骨格的にも受け口だったため、上顎両側第一小臼歯を抜去して手術を併用して治療を行いました。術前は前歯が反対のかみ合わせになり、初診時より咬合、顔貌は一旦悪くなります。1年5ヶ月の術前矯正のあと手術を行いました。
手術後に使用が必要になるゴムの協力度が高く、手術後は7ヶ月の術後矯正で治療を終了することができました。
顎の歪みも下顎の前方感も改善することができました。
※写真の使用は患者様から同意を頂いております。






セルフケアを怠ると、虫歯・歯周病を発症する場合があります。矯正治療は患者様の協力がなければ改善できません。指示された矯正装置は必ず注意事項を守って着用が必要です。また来院期間を守って来院してください。治療結果、治療期間及び治療費に大きく影響が出る場合があります。不正咬合の状態によっては、適応しない場合があります。治療中装置の装着や咬合状態の変化などにより、一時的に咬みにくくなる場合があります。歯の動く速さや成長発育の時期には個人差があるため、治療期間が予定よりも大きく変更されることがあります。また、治療計画を変更せざるを得ない場合があります。骨性癒着(歯と骨がくっついてしまう症状)はぶつけるなど外傷のある歯や、長期間炎症が起こしていた歯などによく見られ、歯根膜の損傷が主な原因と考えられています。そのような骨性癒着を起こしている歯は矯正力をどれだけ加えても動きません。骨性癒着は精密検査でも診断できないことがほとんどです。そのため、治療途中に治療方針を変更せざるを得ない場合があります。歯や顎は動かした後に元の位置に戻ろうとするため、治療終了後は保定装置というものを使用します。 それらの装置は指示通りに使用してください。使用しないと後戻りする可能性があります。
手術での治療は、全身麻酔のリスク、 血管や神経の損傷のリスク、感染のリスク、骨の再形成不全のリスク、顎の痺れ、顔の腫れなど手術中、手術後の副作用やリスクがあります。
また、手術は全身麻酔で顎の骨を骨折させるため、入院が10日前後必要になります。
| 症例分類 | 顎変形症、叢生、側方偏移 |
| 診断名 | 下顎右側偏移を伴う上下叢生 |
| 主訴 | 歯並びがガタガタ、顎が右にずれている |
|---|---|
| 年齢 | 25歳4ヶ月 |
| 性別 | 女性 |
| 抜歯部位 | 上の左右第一小臼歯 |
| 使用装置 | 表側のワイヤー装置+外科矯正(手術を併用した治療) |
| 治療期間 | 2年1ヶ月 |
| 保定装置 | 固定式保定装置、取り外し式保定装置(8時間) |
| 費用 |
保険適応 [検査・診断等] 2万円程度 [装置装着] 5〜7万円程度 [調整料] 2,000〜7,000円程度/回 [手術前検査等] 2万円程度 [保定装置等] 4万円程度 合計18〜25万円程度 |
下顎の右側に偏移があり、骨格的にも受け口だったため、上顎両側第一小臼歯を抜去して、上下顎の手術を併用して治療を行いました。術前は前歯が反対のかみ合わせになり、初診時より咬合、顔貌は一旦悪くなります。術前矯正を1年7ヶ月した後に手術を行いました。
術後の顎間ゴムをしっかりと使用していただけたため、術後7ヶ月で治療が終了することができました。また、顎の歪みが残っていたため矯正治療終了後におとがい形成術をして、下顎の偏移を改善しました。
顎の歪みも下顎の前方感も改善することができ、上下のかみ合わせもしっかりと咬合することができました。
※写真の使用は患者様から同意を頂いております。






セルフケアを怠ると、虫歯・歯周病を発症する場合があります。矯正治療は患者様の協力がなければ改善できません。指示された矯正装置は必ず注意事項を守って着用が必要です。また来院期間を守って来院してください。治療結果、治療期間及び治療費に大きく影響が出る場合があります。不正咬合の状態によっては、適応しない場合があります。治療中装置の装着や咬合状態の変化などにより、一時的に咬みにくくなる場合があります。歯の動く速さや成長発育の時期には個人差があるため、治療期間が予定よりも大きく変更されることがあります。また、治療計画を変更せざるを得ない場合があります。骨性癒着(歯と骨がくっついてしまう症状)はぶつけるなど外傷のある歯や、長期間炎症が起こしていた歯などによく見られ、歯根膜の損傷が主な原因と考えられています。そのような骨性癒着を起こしている歯は矯正力をどれだけ加えても動きません。骨性癒着は精密検査でも診断できないことがほとんどです。そのため、治療途中に治療方針を変更せざるを得ない場合があります。歯や顎は動かした後に元の位置に戻ろうとするため、治療終了後は保定装置というものを使用します。 それらの装置は指示通りに使用してください。使用しないと後戻りする可能性があります。
手術での治療は、全身麻酔のリスク、 血管や神経の損傷のリスク、感染のリスク、骨の再形成不全のリスク、顎の痺れ、顔の腫れなど手術中、手術後の副作用やリスクがあります。
また、手術は全身麻酔で顎の骨を骨折させるため、入院が10日前後必要になります。
| 症例分類 | 顎変形症、叢生、下顎前突、側方偏移 |
| 診断名 | 下顎左側偏移を伴う下顎前突 |
| 主訴 | 顎が歪んでいる、歯並びがガタガタ、噛み合わせが悪い |
|---|---|
| 年齢 | 21歳5ヶ月 |
| 性別 | 女性 |
| 抜歯部位 | 非抜歯 |
| 使用装置 | 表側のワイヤー装置+外科矯正(手術を併用した治療) |
| 治療期間 | 1年11ヶ月 |
| 保定装置 | 固定式保定装置、取り外し式保定装置(8時間) |
| 費用 |
保険適応 [検査・診断等] 2万円程度 [装置装着] 5〜7万円程度 [調整料] 2,000〜7,000円程度/回 [手術前検査等] 2万円程度 [保定装置等] 4万円程度 合計18〜25万円程度 |
下顎の左側偏移と下顎の突出感を主訴に来院されました。顎の歪みは手術を併用して治療しないと改善しないため、非抜歯にて手術を併用して治療をしました。
術前矯正を1年3ヶ月行った上で上下顎手術を行いました。
手術後顎間ゴムをしっかりと使用していただけたため、術後7ヶ月で治療を終了することができました。
顎の歪みも上下のガタガタを改善することができました。
※写真の使用は患者様から同意を頂いております。






セルフケアを怠ると、虫歯・歯周病を発症する場合があります。矯正治療は患者様の協力がなければ改善できません。指示された矯正装置は必ず注意事項を守って着用が必要です。また来院期間を守って来院してください。治療結果、治療期間及び治療費に大きく影響が出る場合があります。不正咬合の状態によっては、適応しない場合があります。治療中装置の装着や咬合状態の変化などにより、一時的に咬みにくくなる場合があります。歯の動く速さや成長発育の時期には個人差があるため、治療期間が予定よりも大きく変更されることがあります。また、治療計画を変更せざるを得ない場合があります。骨性癒着(歯と骨がくっついてしまう症状)はぶつけるなど外傷のある歯や、長期間炎症が起こしていた歯などによく見られ、歯根膜の損傷が主な原因と考えられています。そのような骨性癒着を起こしている歯は矯正力をどれだけ加えても動きません。骨性癒着は精密検査でも診断できないことがほとんどです。そのため、治療途中に治療方針を変更せざるを得ない場合があります。歯や顎は動かした後に元の位置に戻ろうとするため、治療終了後は保定装置というものを使用します。 それらの装置は指示通りに使用してください。使用しないと後戻りする可能性があります。
手術での治療は、全身麻酔のリスク、 血管や神経の損傷のリスク、感染のリスク、骨の再形成不全のリスク、顎の痺れ、顔の腫れなど手術中、手術後の副作用やリスクがあります。
また、手術は全身麻酔で顎の骨を骨折させるため、入院が10日前後必要になります。
| 症例分類 | 顎変形症、叢生、下顎前突 |
| 診断名 | 下顎の左側偏位を伴う骨格性下顎前突 |
| 主訴 | 上下ガタガタ、受け口 |
|---|---|
| 年齢 | 15歳10ヶ月 |
| 性別 | 女性 |
| 抜歯部位 | 上の左右第一小臼歯 |
| 使用装置 | 表側のワイヤー装置+外科矯正(手術を併用した治療) |
| 治療期間 | 2年2ヶ月 |
| 保定装置 | 固定式保定装置、取り外し式保定装置(8時間) |
| 費用 |
保険適応 [検査・診断等] 2万円程度 [装置装着] 5〜7万円程度 [調整料] 2,000〜7,000円程度/回 [手術前検査等] 2万円程度 [保定装置等] 4万円程度 合計18〜25万円程度 |
骨格的に下顎が前方と左側に偏移しており矯正単独では治療が難しいため、上顎第一小臼歯を抜去して上下顎の手術を併用して治療することになりました。
1年7ヶ月の術前矯正後、上下顎の手術を行いました。
術後の顎間ゴムをしっかりと使用していただけたため、術後8ヶ月で治療が終了することができました。
下顎の前突感を改善することができました。
※写真の使用は患者様から同意を頂いております。






セルフケアを怠ると、虫歯・歯周病を発症する場合があります。矯正治療は患者様の協力がなければ改善できません。指示された矯正装置は必ず注意事項を守って着用が必要です。また来院期間を守って来院してください。治療結果、治療期間及び治療費に大きく影響が出る場合があります。不正咬合の状態によっては、適応しない場合があります。治療中装置の装着や咬合状態の変化などにより、一時的に咬みにくくなる場合があります。歯の動く速さや成長発育の時期には個人差があるため、治療期間が予定よりも大きく変更されることがあります。また、治療計画を変更せざるを得ない場合があります。骨性癒着(歯と骨がくっついてしまう症状)はぶつけるなど外傷のある歯や、長期間炎症が起こしていた歯などによく見られ、歯根膜の損傷が主な原因と考えられています。そのような骨性癒着を起こしている歯は矯正力をどれだけ加えても動きません。骨性癒着は精密検査でも診断できないことがほとんどです。そのため、治療途中に治療方針を変更せざるを得ない場合があります。歯や顎は動かした後に元の位置に戻ろうとするため、治療終了後は保定装置というものを使用します。 それらの装置は指示通りに使用してください。使用しないと後戻りする可能性があります。
手術での治療は、全身麻酔のリスク、 血管や神経の損傷のリスク、感染のリスク、骨の再形成不全のリスク、顎の痺れ、顔の腫れなど手術中、手術後の副作用やリスクがあります。
また、手術は全身麻酔で顎の骨を骨折させるため、入院が10日前後必要になります。
| 症例分類 | 開咬 |
| 診断名 | 軽度叢生とV字歯列弓を伴う開咬 |
| 主訴 | 前歯が気になる |
|---|---|
| 年齢 | 14歳8ヶ月 |
| 性別 | 男性 |
| 抜歯部位 | 非抜歯 |
| 使用装置 | 表側のワイヤー装置 |
| 治療期間 | 2年11ヶ月(8ヶ月間の未来院期間含む) |
| 保定装置 | 固定式保定装置、取り外し式保定装置(8時間) |
| 費用 |
[検査・診断料] ¥49,500 [基本施術料] ¥726,000 [調整料] ¥4,400/回 [抜歯] ¥5,500/本 [保定装置] ¥55,000 (税込) 抜歯や虫歯治療は他院にて費用が別途かかります。(抜歯: ¥4,000〜10,000/本)
|
前歯部開咬(前歯が噛み合いにくい状態)と舌癖がありましたが、口は無理なく閉じられていたため、口元のボリュームと舌のスペースを保つことを優先して非抜歯で治療を計画しました。上顎の歯列はV字に細く、上下の幅が合っていなかったため、上顎歯列を適切に拡大して幅の調和を取り、前歯が接触しやすい土台を整えました。通院間隔や顎間ゴムの使用が安定しない時期があったため治療期間はやや長くなりましたが、最終的に前歯でもしっかり噛める咬合が得られ、見た目と噛む機能の両方が改善しました。再発予防のため、治療後も可撤式保定装置にタングクリブを装着して舌の位置や飲み込み方を意識することが大切です。
※写真の使用は患者様から同意を頂いております。






自費診療(保険外診療)となります。セルフケアを怠ると、虫歯・歯周病を発症する場合があります。矯正治療は患者様の協力がなければ改善できません。指示された矯正装置は必ず注意事項を守って着用が必要です。また来院期間を守って来院してください。治療結果、治療期間及び治療費に大きく影響が出る場合があります。不正咬合の状態によっては、適応しない場合があります。治療中装置の装着や咬合状態の変化などにより、一時的に咬みにくくなる場合があります。歯の動く速さや成長発育の時期には個人差があるため、治療期間が予定よりも大きく変更されることがあります。また、治療計画を変更せざるを得ない場合があります。骨性癒着(歯と骨がくっついてしまう症状)はぶつけるなど外傷のある歯や、長期間炎症が起こしていた歯などによく見られ、歯根膜の損傷が主な原因と考えられています。そのような骨性癒着を起こしている歯は矯正力をどれだけ加えても動きません。骨性癒着は精密検査でも診断できないことがほとんどです。そのため、治療途中に治療方針を変更せざるを得ない場合があります。歯や顎は動かした後に元の位置に戻ろうとするため、治療終了後は保定装置というものを使用します。 それらの装置は指示通りに使用してください。使用しないと後戻りする可能性があります。
| 症例分類 | 叢生 |
| 診断名 | 上下前歯部軽度叢生 |
| 主訴 | 歯並びが悪い(特に下の歯) |
|---|---|
| 年齢 | 13歳0ヶ月 |
| 性別 | 女性 |
| 抜歯部位 | 非抜歯 |
| 使用装置 | 表側のワイヤー装置 |
| 治療期間 | 1年6ヶ月 |
| 保定装置 | 固定式保定装置、取り外し式保定装置(8時間) |
| 費用 |
[診断料] ¥49,500 [基本施術料] ¥792,000 [調整料] ¥4,400/回 [抜歯] ¥5,500/本 [保定装置] ¥55,000 (税込) 抜歯や虫歯治療は他院にて費用が別途かかります。(抜歯: ¥4,000〜10,000/本)
|
上下前歯部のガタガタあがありましたが、ガタガタが軽度であること、口唇突出感が少ないため非抜歯にて治療しました。上の歯がやや前方にあったため、ワイヤーと顎間ゴムを使用して上顎歯列の遠心移動を行いました。
顎間ゴムの協力度も良かったため、早めに治療をすることができました。
※写真の使用は患者様から同意を頂いております。






自費診療(保険外診療)となります。セルフケアを怠ると、虫歯・歯周病を発症する場合があります。矯正治療は患者様の協力がなければ改善できません。指示された矯正装置は必ず注意事項を守って着用が必要です。また来院期間を守って来院してください。治療結果、治療期間及び治療費に大きく影響が出る場合があります。不正咬合の状態によっては、適応しない場合があります。治療中装置の装着や咬合状態の変化などにより、一時的に咬みにくくなる場合があります。歯の動く速さや成長発育の時期には個人差があるため、治療期間が予定よりも大きく変更されることがあります。また、治療計画を変更せざるを得ない場合があります。骨性癒着(歯と骨がくっついてしまう症状)はぶつけるなど外傷のある歯や、長期間炎症が起こしていた歯などによく見られ、歯根膜の損傷が主な原因と考えられています。そのような骨性癒着を起こしている歯は矯正力をどれだけ加えても動きません。骨性癒着は精密検査でも診断できないことがほとんどです。そのため、治療途中に治療方針を変更せざるを得ない場合があります。歯や顎は動かした後に元の位置に戻ろうとするため、治療終了後は保定装置というものを使用します。 それらの装置は指示通りに使用してください。使用しないと後戻りする可能性があります。
| 症例分類 | 叢生、先天性欠損 |
| 診断名 | 上顎右側2の先天欠損を伴う下顎前歯叢生 |
| 主訴 | 下の前歯のガタつき・上の歯のズレ・上の前歯の隙間が気になる、食べ物が噛みづらい |
|---|---|
| 年齢 | 20歳5ヶ月 |
| 性別 | 女性 |
| 抜歯部位 | 左上と右下の第一小臼歯、左下の第二小臼歯(3本) |
| 使用装置 | 表側のワイヤー装置 |
| 治療期間 | 2年6ヶ月 |
| 保定装置 | 固定式保定装置、取り外し式保定装置(8時間) |
| 費用 |
[検査・診断料] ¥49,500 [基本施術料] ¥726,000 [調整料] ¥4,400/回 [抜歯] ¥5,500/本 [保定装置] ¥55,000 (税込) 抜歯や虫歯治療は他院にて費用が別途かかります。(抜歯: ¥4,000〜10,000/本)
|
右上側切歯(2番)の先天欠損により上顎の正中が右へずれており、口元の突出感と下顎の叢生も認められたため、スペース確保と正中・咬合の改善を目的に上顎左側第1小臼歯と下顎両側第1小臼歯を抜歯し、マルチブラケット装置で治療しました。右上は2番がないため「1–3–4」の配列となることから、犬歯を側切歯に近づける切端形態の調整とわずかな歯間削合(IPR)で形・大きさのバランスを整えました。上顎正中を左へ誘導して顔面正中と一致させ、噛み合わせも安定したため、問題なく保定へ移行できました(口元のバランス改善も図りました)。
※写真の使用は患者様から同意を頂いております。






自費診療(保険外診療)となります。セルフケアを怠ると、虫歯・歯周病を発症する場合があります。矯正治療は患者様の協力がなければ改善できません。指示された矯正装置は必ず注意事項を守って着用が必要です。また来院期間を守って来院してください。治療結果、治療期間及び治療費に大きく影響が出る場合があります。不正咬合の状態によっては、適応しない場合があります。治療中装置の装着や咬合状態の変化などにより、一時的に咬みにくくなる場合があります。歯の動く速さや成長発育の時期には個人差があるため、治療期間が予定よりも大きく変更されることがあります。また、治療計画を変更せざるを得ない場合があります。骨性癒着(歯と骨がくっついてしまう症状)はぶつけるなど外傷のある歯や、長期間炎症が起こしていた歯などによく見られ、歯根膜の損傷が主な原因と考えられています。そのような骨性癒着を起こしている歯は矯正力をどれだけ加えても動きません。骨性癒着は精密検査でも診断できないことがほとんどです。そのため、治療途中に治療方針を変更せざるを得ない場合があります。歯や顎は動かした後に元の位置に戻ろうとするため、治療終了後は保定装置というものを使用します。 それらの装置は指示通りに使用してください。使用しないと後戻りする可能性があります。
・埋伏歯の牽引にはとても長期の期間がかかることがあります。また、埋伏歯は引っ張れない可能性があることがあります。しかしながら、レントゲンなどの検査で引っ張り出すのが可能かどうかは判断できません。もし引っ張り出せなかった場合は、治療方針を変更いたします。
| 症例分類 | 叢生、開咬 |
| 診断名 | 上下前歯部草生を伴う開咬 |
| 主訴 | 歯がガタガタで特に上の前歯が出てるのが気になる、噛み合わせが悪く前歯で噛めない、正中が揃ってない |
|---|---|
| 年齢 | 23歳3ヶ月 |
| 性別 | 女性 |
| 抜歯部位 | 上下左右の第一小臼歯(4本) |
| 使用装置 | 表側のワイヤー装置 |
| 治療期間 | 2年3ヶ月 |
| 保定装置 | 固定式保定装置、取り外し式保定装置(8時間) |
| 費用 |
[検査・診断料] ¥49,500 [基本施術料] ¥792,000 [調整料] ¥4,400/回 [抜歯] ¥5,500/本 [保定装置] ¥55,000 (税込) 抜歯や虫歯治療は他院にて費用が別途かかります。(抜歯: ¥4,000〜10,000/本)
|
右上側切歯(2番)の先天欠損により上顎の正中が右へずれており、口元の突出感と下顎の叢生も認められたため、スペース確保と正中・咬合の改善を目的に上顎左側第1小臼歯と下顎両側第1小臼歯を抜歯し、マルチブラケット装置で治療しました。右上は2番がないため「1–3–4」の配列となることから、犬歯を側切歯に近づける切端形態の調整とわずかな歯間削合(IPR)で形・大きさのバランスを整えました。上顎正中を左へ誘導して顔面正中と一致させ、噛み合わせも安定したため、問題なく保定へ移行できました(口元のバランス改善も図りました)。
※写真の使用は患者様から同意を頂いております。






自費診療(保険外診療)となります。セルフケアを怠ると、虫歯・歯周病を発症する場合があります。矯正治療は患者様の協力がなければ改善できません。指示された矯正装置は必ず注意事項を守って着用が必要です。また来院期間を守って来院してください。治療結果、治療期間及び治療費に大きく影響が出る場合があります。不正咬合の状態によっては、適応しない場合があります。治療中装置の装着や咬合状態の変化などにより、一時的に咬みにくくなる場合があります。歯の動く速さや成長発育の時期には個人差があるため、治療期間が予定よりも大きく変更されることがあります。また、治療計画を変更せざるを得ない場合があります。骨性癒着(歯と骨がくっついてしまう症状)はぶつけるなど外傷のある歯や、長期間炎症が起こしていた歯などによく見られ、歯根膜の損傷が主な原因と考えられています。そのような骨性癒着を起こしている歯は矯正力をどれだけ加えても動きません。骨性癒着は精密検査でも診断できないことがほとんどです。そのため、治療途中に治療方針を変更せざるを得ない場合があります。歯や顎は動かした後に元の位置に戻ろうとするため、治療終了後は保定装置というものを使用します。 それらの装置は指示通りに使用してください。使用しないと後戻りする可能性があります。
| 症例分類 | 叢生、上顎前突 |
| 診断名 | 上下叢生を伴う骨格性上顎前突 |
| 主訴 | 歯がガタガタ、磨きづらい |
|---|---|
| 年齢 | 19歳6ヶ月 |
| 性別 | 女性 |
| 抜歯部位 | 上の左右第一小臼歯(2本) |
| 使用装置 | 上は裏側、下は表側のワイヤー装置 |
| 治療期間 | 2年6ヶ月 |
| 保定装置 | 固定式保定装置、取り外し式保定装置(8時間) |
| 費用 |
[検査・診断料] ¥49,500 [基本施術料] ¥1,056,000 [調整料] ¥4,400/回 [抜歯] ¥5,500/本 [保定装置] ¥55,000 (税込) 抜歯や虫歯治療は他院にて費用が別途かかります。(抜歯: ¥4,000〜10,000/本)
|
上下のガタつきを伴う歯性上顎前突で、かみ合わせは左右ともにⅡ級方向のズレが強く見られました。上の前歯の突出と叢生を改善するために上顎の第1小臼歯を左右1本ずつ抜歯し、下の前歯はディスキング(IPR:歯と歯の間をわずかに整える処置)でスペースを確保しました。さらに、上の歯列をしっかり後方へ移動させる必要があったため、矯正用アンカースクリューを用いて奥歯を極力動かさずに前歯を一括で後退させました。顎間ゴムのご協力も良好で、前歯の突出感とガタつきが改善し、適切なかみ合わせと横顔のバランスが得られました。
※写真の使用は患者様から同意を頂いております。






自費診療(保険外診療)となります。セルフケアを怠ると、虫歯・歯周病を発症する場合があります。矯正治療は患者様の協力がなければ改善できません。指示された矯正装置は必ず注意事項を守って着用が必要です。また来院期間を守って来院してください。治療結果、治療期間及び治療費に大きく影響が出る場合があります。不正咬合の状態によっては、適応しない場合があります。治療中装置の装着や咬合状態の変化などにより、一時的に咬みにくくなる場合があります。歯の動く速さや成長発育の時期には個人差があるため、治療期間が予定よりも大きく変更されることがあります。また、治療計画を変更せざるを得ない場合があります。骨性癒着(歯と骨がくっついてしまう症状)はぶつけるなど外傷のある歯や、長期間炎症が起こしていた歯などによく見られ、歯根膜の損傷が主な原因と考えられています。そのような骨性癒着を起こしている歯は矯正力をどれだけ加えても動きません。骨性癒着は精密検査でも診断できないことがほとんどです。そのため、治療途中に治療方針を変更せざるを得ない場合があります。歯や顎は動かした後に元の位置に戻ろうとするため、治療終了後は保定装置というものを使用します。 それらの装置は指示通りに使用してください。使用しないと後戻りする可能性があります。
・埋伏歯の牽引にはとても長期の期間がかかることがあります。また、埋伏歯は引っ張れない可能性があることがあります。しかしながら、レントゲンなどの検査で引っ張り出すのが可能かどうかは判断できません。もし引っ張り出せなかった場合は、治療方針を変更いたします。
| 症例分類 | 叢生 |
| 診断名 | 上下側切歯の早期接触を伴う上下叢生 |
| 主訴 | 上の歯が出ている、下の歯がガタガタになっている |
|---|---|
| 年齢 | 24歳0ヶ月 |
| 性別 | 女性 |
| 抜歯部位 | 上下左右の第一小臼歯(4本) |
| 使用装置 | 上は裏側、下は表側のワイヤー装置 |
| 治療期間 | 2年10ヶ月 |
| 保定装置 | 固定式保定装置、取り外し式保定装置(8時間) |
| 費用 |
[検査・診断料] ¥49,500 [基本施術料] ¥1,056,000 [調整料] ¥4,400/回 [抜歯] ¥5,500/本 [保定装置] ¥55,000 (税込) 抜歯や虫歯治療は他院にて費用が別途かかります。(抜歯: ¥4,000〜10,000/本)
|
上下に強い叢生があったため、上下第一小臼歯の抜歯を基本方針とし、装置はハーフリンガル(上=裏側/下=表側)を選択しました。ただし右上中切歯に外傷の既往があり骨性癒着(アンキローシス)の可能性を考慮して、上顎の抜歯はすぐに行わず、まず約4か月間前歯を慎重に動かして可動性を確認し、その後に上顎両側の第一小臼歯を抜歯しました。この段階的対応により治療期間はやや延長しましたが、口唇の突出感を改善するため矯正用アンカースクリューを併用して上顎前歯を確実に後方移動し、最終的に前歯から奥歯まで安定した咬合が得られたため、現在は保定へ移行しています。
※写真の使用は患者様から同意を頂いております。






自費診療(保険外診療)となります。セルフケアを怠ると、虫歯・歯周病を発症する場合があります。矯正治療は患者様の協力がなければ改善できません。指示された矯正装置は必ず注意事項を守って着用が必要です。また来院期間を守って来院してください。治療結果、治療期間及び治療費に大きく影響が出る場合があります。不正咬合の状態によっては、適応しない場合があります。治療中装置の装着や咬合状態の変化などにより、一時的に咬みにくくなる場合があります。歯の動く速さや成長発育の時期には個人差があるため、治療期間が予定よりも大きく変更されることがあります。また、治療計画を変更せざるを得ない場合があります。骨性癒着(歯と骨がくっついてしまう症状)はぶつけるなど外傷のある歯や、長期間炎症が起こしていた歯などによく見られ、歯根膜の損傷が主な原因と考えられています。そのような骨性癒着を起こしている歯は矯正力をどれだけ加えても動きません。骨性癒着は精密検査でも診断できないことがほとんどです。そのため、治療途中に治療方針を変更せざるを得ない場合があります。歯や顎は動かした後に元の位置に戻ろうとするため、治療終了後は保定装置というものを使用します。 それらの装置は指示通りに使用してください。使用しないと後戻りする可能性があります。
| 症例分類 | 叢生、上下顎前突 |
| 診断名 | 上下顎叢生を伴う上下顎前突 |
| 主訴 | 歯がガタガタ、隙間が空いている、上の歯が出ている、前歯で物が噛み切れない、口が閉じにくい |
|---|---|
| 年齢 | 24歳8ヶ月 |
| 性別 | 女性 |
| 抜歯部位 | 上下左右の第一小臼歯(4本) |
| 使用装置 | 表側のワイヤー装置 |
| 治療期間 | 2年1ヶ月 |
| 保定装置 | 固定式保定装置、取り外し式保定装置(8時間) |
| 費用 |
[検査・診断料] ¥ 49,500 [基本施術料] ¥ 792,000 [調整料] ¥ 4,400/回 [抜歯] ¥ 5,500/本 [保定装置] ¥ 55,000 (税込) 抜歯や虫歯治療は他院にて費用が別途かかります。(抜歯: ¥ 4,000〜10,000/本)
|
上下の叢生と口唇閉鎖不全があり、見た目と機能の両面から改善が必要でした。そのため上下の第一小臼歯を抜歯してスペースを確保し、マルチブラケット装置で歯列を整えました。特に右上前歯の突出に伴ってみられた下唇の翻転(めくれ上がる状態)は、前歯の位置と角度を適正化することで改善。口元のバランスとかみ合わせが安定したため、治療を終了して保定に移行しました。
※写真の使用は患者様から同意を頂いております。






自費診療(保険外診療)となります。セルフケアを怠ると、虫歯・歯周病を発症する場合があります。矯正治療は患者様の協力がなければ改善できません。指示された矯正装置は必ず注意事項を守って着用が必要です。また来院期間を守って来院してください。治療結果、治療期間及び治療費に大きく影響が出る場合があります。不正咬合の状態によっては、適応しない場合があります。治療中装置の装着や咬合状態の変化などにより、一時的に咬みにくくなる場合があります。歯の動く速さや成長発育の時期には個人差があるため、治療期間が予定よりも大きく変更されることがあります。また、治療計画を変更せざるを得ない場合があります。骨性癒着(歯と骨がくっついてしまう症状)はぶつけるなど外傷のある歯や、長期間炎症が起こしていた歯などによく見られ、歯根膜の損傷が主な原因と考えられています。そのような骨性癒着を起こしている歯は矯正力をどれだけ加えても動きません。骨性癒着は精密検査でも診断できないことがほとんどです。そのため、治療途中に治療方針を変更せざるを得ない場合があります。歯や顎は動かした後に元の位置に戻ろうとするため、治療終了後は保定装置というものを使用します。 それらの装置は指示通りに使用してください。使用しないと後戻りする可能性があります。
| 症例分類 | 叢生、上下顎前突 |
| 診断名 | 口唇閉鎖不全を伴う歯性上下顎前突 |
| 主訴 | 上の歯が出ている、前歯でものが噛み切れない |
|---|---|
| 年齢 | 33歳9ヶ月 |
| 性別 | 女性 |
| 抜歯部位 | 上下左右の第一小臼歯 |
| 使用装置 | 表側のワイヤー装置 |
| 治療期間 | 2年3ヶ月 |
| 保定装置 | 固定式保定装置、取り外し式保定装置(8時間) |
| 費用 |
[検査・診断料] ¥ 49,500 [基本施術料] ¥ 792,000 [調整料] ¥ 4,400/回 [抜歯] ¥ 5,500/本 [保定装置] ¥ 55,000 (税込) 抜歯や虫歯治療は他院にて費用が別途かかります。(抜歯: ¥ 4,000〜10,000/本)
|
下の叢生と口唇の突出感があり、見た目と噛む機能の両面での改善を目的に上下第一小臼歯を左右1本ずつ抜歯してスペースを確保し、マルチブラケット装置で歯列と咬合を整えました。顎間ゴムのご協力が良好だったため前歯の後退と歯列の配列がスムーズに進み、ガタつきと口元のボリュームが改善。最終的に前歯から奥歯まで安定したかみ合わせが得られ、問題なく治療を終了して保定へ移行しました。
※写真の使用は患者様から同意を頂いております。






自費診療(保険外診療)となります。セルフケアを怠ると、虫歯・歯周病を発症する場合があります。矯正治療は患者様の協力がなければ改善できません。指示された矯正装置は必ず注意事項を守って着用が必要です。また来院期間を守って来院してください。治療結果、治療期間及び治療費に大きく影響が出る場合があります。不正咬合の状態によっては、適応しない場合があります。治療中装置の装着や咬合状態の変化などにより、一時的に咬みにくくなる場合があります。歯の動く速さや成長発育の時期には個人差があるため、治療期間が予定よりも大きく変更されることがあります。また、治療計画を変更せざるを得ない場合があります。骨性癒着(歯と骨がくっついてしまう症状)はぶつけるなど外傷のある歯や、長期間炎症が起こしていた歯などによく見られ、歯根膜の損傷が主な原因と考えられています。そのような骨性癒着を起こしている歯は矯正力をどれだけ加えても動きません。骨性癒着は精密検査でも診断できないことがほとんどです。そのため、治療途中に治療方針を変更せざるを得ない場合があります。歯や顎は動かした後に元の位置に戻ろうとするため、治療終了後は保定装置というものを使用します。 それらの装置は指示通りに使用してください。使用しないと後戻りする可能性があります。
| 症例分類 | 叢生 |
| 診断名 | 上下叢生を伴う骨格性上顎前突 |
| 主訴 | 前歯が出っ歯になっている、歯並びが悪い |
|---|---|
| 年齢 | 13歳10ヶ月 |
| 性別 | 女性 |
| 抜歯部位 | 上の第一小臼歯と下の第二小臼歯(4本) |
| 使用装置 | 上は裏側、下は表側のワイヤー装置 |
| 治療期間 | 2年6ヶ月 |
| 保定装置 | 固定式保定装置、取り外し式保定装置(8時間) |
| 費用 |
[検査・診断料] ¥ 49,500 [基本施術料] ¥ 1,056,000 [調整料] ¥ 5,500/回 [抜歯] ¥ 5,500/本 [保定装置] ¥ 55,000 (税込) 抜歯や虫歯治療は他院にて費用が別途かかります。(抜歯: ¥ 4,000〜10,000/本)
|
上下の叢生と、口が自然に閉じにくい口唇閉鎖不全を伴う骨格性上顎前突でした。そこで、上顎は左右の第一小臼歯、下顎は左右の第二小臼歯を抜歯してスペースを確保し、上顎前歯を確実に後方へ移動できるよう矯正用アンカースクリューを併用して治療を進めました。奥歯の位置をできるだけ保ちながら上顎歯列を舌側へコントロールした結果、前歯の突出感と口唇閉鎖不全が改善し、噛み合わせも安定したため治療を終了して保定に移行しました。
※写真の使用は患者様から同意を頂いております。






自費診療(保険外診療)となります。セルフケアを怠ると、虫歯・歯周病を発症する場合があります。矯正治療は患者様の協力がなければ改善できません。指示された矯正装置は必ず注意事項を守って着用が必要です。また来院期間を守って来院してください。治療結果、治療期間及び治療費に大きく影響が出る場合があります。不正咬合の状態によっては、適応しない場合があります。治療中装置の装着や咬合状態の変化などにより、一時的に咬みにくくなる場合があります。歯の動く速さや成長発育の時期には個人差があるため、治療期間が予定よりも大きく変更されることがあります。また、治療計画を変更せざるを得ない場合があります。骨性癒着(歯と骨がくっついてしまう症状)はぶつけるなど外傷のある歯や、長期間炎症が起こしていた歯などによく見られ、歯根膜の損傷が主な原因と考えられています。そのような骨性癒着を起こしている歯は矯正力をどれだけ加えても動きません。骨性癒着は精密検査でも診断できないことがほとんどです。そのため、治療途中に治療方針を変更せざるを得ない場合があります。歯や顎は動かした後に元の位置に戻ろうとするため、治療終了後は保定装置というものを使用します。 それらの装置は指示通りに使用してください。使用しないと後戻りする可能性があります。
| 症例分類 | 下顎前突 |
| 診断名 | 骨格性下顎前突 |
| 主訴 | 受け口 |
|---|---|
| 年齢 | 25歳11ヶ月 |
| 性別 | 女性 |
| 抜歯部位 | 上の左右第一小臼歯(2本) |
| 使用装置 | 表側のワイヤー装置、顎変形症の手術で治療 |
| 治療期間 | 2年9ヶ月 |
| 保定装置 | 固定式保定装置、取り外し式保定装置(8時間) |
| 費用 |
[検査料] ¥ 4,990 [診断料] ¥ 7,810 [調整料] ¥ 2,000〜¥8,000/回 [抜歯] ¥ 5,500/本 [保定装置] ¥ 24,700 (税込) 抜歯や虫歯治療は他院にて費用が別途かかります。(抜歯: ¥ 4,000〜10,000/本)
|
以前に他院にて矯正治療を受けられていましたが、成長期の影響でかみ合わせが再びずれ、下あごが前に出る受け口(骨格性Ⅲ級)が目立ってきました。骨格的な要因が大きかったため歯ならびだけでの改善には限界があり、外科的矯正(上下顎の手術併用)を選択しました。術前矯正では約2年かけて歯の傾きを整え、骨の上にいい傾斜で歯を配列するために上顎の第一小臼歯を左右1本ずつ抜歯しました。その後に上下顎手術を行い、術後は顎間ゴムのご協力も良好で経過は順調でした。手術から約7か月で保定に移行し、かみ合わせは安定しています。おとがい(あご先)のわずかな前方感は残りますが顔貌の調和は良好で、おとがい形成術は行わずに治療を終了しました。
※写真の使用は患者様から同意を頂いております。






自費診療(保険外診療)となります。セルフケアを怠ると、虫歯・歯周病を発症する場合があります。矯正治療は患者様の協力がなければ改善できません。指示された矯正装置は必ず注意事項を守って着用が必要です。また来院期間を守って来院してください。治療結果、治療期間及び治療費に大きく影響が出る場合があります。不正咬合の状態によっては、適応しない場合があります。治療中装置の装着や咬合状態の変化などにより、一時的に咬みにくくなる場合があります。歯の動く速さや成長発育の時期には個人差があるため、治療期間が予定よりも大きく変更されることがあります。また、治療計画を変更せざるを得ない場合があります。骨性癒着(歯と骨がくっついてしまう症状)はぶつけるなど外傷のある歯や、長期間炎症が起こしていた歯などによく見られ、歯根膜の損傷が主な原因と考えられています。そのような骨性癒着を起こしている歯は矯正力をどれだけ加えても動きません。骨性癒着は精密検査でも診断できないことがほとんどです。そのため、治療途中に治療方針を変更せざるを得ない場合があります。歯や顎は動かした後に元の位置に戻ろうとするため、治療終了後は保定装置というものを使用します。 それらの装置は指示通りに使用してください。使用しないと後戻りする可能性があります。
手術での治療は、全身麻酔のリスク、 血管や神経の損傷のリスク、感染のリスク、骨の再形成不全のリスク、顎の痺れ、顔の腫れなど手術中、手術後の副作用やリスクがあります。
また、手術は全身麻酔で顎の骨を骨折させるため、入院が10日前後必要になります。
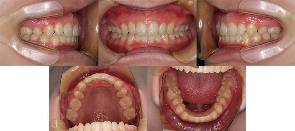
| 症例分類 | 叢生 |
| 診断名 | 上下叢生 |
| 主訴 | 上の前歯がガタガタ |
|---|---|
| 年齢 | 20歳7ヶ月 |
| 性別 | 女性 |
| 抜歯部位 | 非抜歯 |
| 使用装置 | 上は裏側、下は表側のワイヤー装置 |
| 治療期間 | 2年2ヶ月 |
| 保定装置 | 固定式保定装置、取り外し式保定装置(8時間) |
| 費用 |
[検査・診断料] ¥ 49,500 [基本施術料] ¥ 1,056,000 [調整料] ¥ 5,500/回 [抜歯] ¥ 5,500/本 [保定装置] ¥ 55,000 (税込) 抜歯や虫歯治療は他院にて費用が別途かかります。(抜歯: ¥ 4,000〜10,000/本)
|
上顎前歯にガタつきがあり、かみ合わせは左右ともに上の歯がやや前方(Ⅱ級傾向)でした。そこで上顎の歯列全体を後方へ移動させてスペースを確保し、前歯の叢生を整えました。左側の犬歯にわずかな前方位は残りますが、上下の前歯は確実に咬み合い、上下正中も一致したため治療を終了しています。前歯誘導・犬歯誘導も良好で、機能的に安定した咬合が得られました。
※写真の使用は患者様から同意を頂いております。






自費診療(保険外診療)となります。セルフケアを怠ると、虫歯・歯周病を発症する場合があります。矯正治療は患者様の協力がなければ改善できません。指示された矯正装置は必ず注意事項を守って着用が必要です。また来院期間を守って来院してください。治療結果、治療期間及び治療費に大きく影響が出る場合があります。不正咬合の状態によっては、適応しない場合があります。治療中装置の装着や咬合状態の変化などにより、一時的に咬みにくくなる場合があります。歯の動く速さや成長発育の時期には個人差があるため、治療期間が予定よりも大きく変更されることがあります。また、治療計画を変更せざるを得ない場合があります。骨性癒着(歯と骨がくっついてしまう症状)はぶつけるなど外傷のある歯や、長期間炎症が起こしていた歯などによく見られ、歯根膜の損傷が主な原因と考えられています。そのような骨性癒着を起こしている歯は矯正力をどれだけ加えても動きません。骨性癒着は精密検査でも診断できないことがほとんどです。そのため、治療途中に治療方針を変更せざるを得ない場合があります。歯や顎は動かした後に元の位置に戻ろうとするため、治療終了後は保定装置というものを使用します。 それらの装置は指示通りに使用してください。使用しないと後戻りする可能性があります。
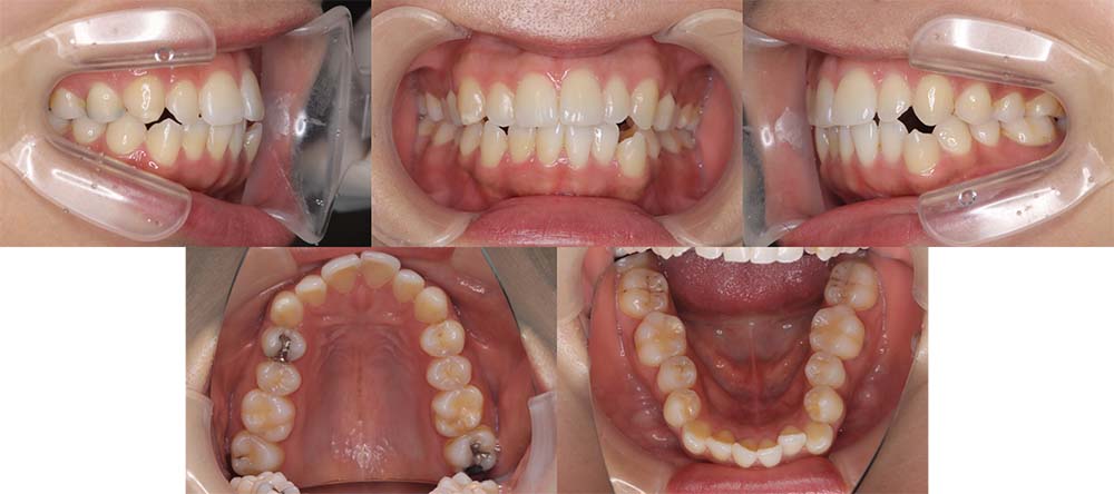
| 症例分類 | 叢生、開咬 |
| 診断名 | 両側臼歯部クロスバイトを伴う上下軽度叢生 |
| 主訴 | 前歯がガタガタ、奥歯も噛み合わせが悪い |
|---|---|
| 年齢 | 38歳11ヶ月 |
| 性別 | 女性 |
| 抜歯部位 | 非抜歯 |
| 使用装置 | 透明のマウスピース型矯正装置 |
| 治療期間 | 1年6ヶ月 |
| 保定装置 | 固定式保定装置、取り外し式保定装置(8時間) |
| 費用 |
[検査・診断料] ¥ 49,500 [基本施術料] ¥ 946,000 [調整料] ¥ 4,400/回 [保定装置] ¥ 55,000 (税込) 抜歯や虫歯治療は他院にて費用が別途かかります。(抜歯: ¥ 4,000〜10,000/本)
|
上顎前歯にガタつきがあり、かみ合わせは左右ともに上の歯がやや前方(Ⅱ級傾向)でした。そこで上顎の歯列全体を後方へ移動させてスペースを確保し、前歯の叢生を整えました。左側の犬歯にわずかな前方位は残りますが、上下の前歯は確実に咬み合い、上下正中も一致したため治療を終了しています。前歯誘導・犬歯誘導も良好で、機能的に安定した咬合が得られました。
※写真の使用は患者様から同意を頂いております。






自費診療(保険外診療)となります。セルフケアを怠ると、虫歯・歯周病を発症する場合があります。矯正治療は患者様の協力がなければ改善できません。指示された矯正装置は必ず注意事項を守って着用が必要です。また来院期間を守って来院してください。治療結果、治療期間及び治療費に大きく影響が出る場合があります。不正咬合の状態によっては、適応しない場合があります。治療中装置の装着や咬合状態の変化などにより、一時的に咬みにくくなる場合があります。歯の動く速さや成長発育の時期には個人差があるため、治療期間が予定よりも大きく変更されることがあります。また、治療計画を変更せざるを得ない場合があります。骨性癒着(歯と骨がくっついてしまう症状)はぶつけるなど外傷のある歯や、長期間炎症が起こしていた歯などによく見られ、歯根膜の損傷が主な原因と考えられています。そのような骨性癒着を起こしている歯は矯正力をどれだけ加えても動きません。骨性癒着は精密検査でも診断できないことがほとんどです。そのため、治療途中に治療方針を変更せざるを得ない場合があります。歯や顎は動かした後に元の位置に戻ろうとするため、治療終了後は保定装置というものを使用します。 それらの装置は指示通りに使用してください。使用しないと後戻りする可能性があります。
・埋伏歯の牽引にはとても長期の期間がかかることがあります。また、埋伏歯は引っ張れない可能性があることがあります。しかしながら、レントゲンなどの検査で引っ張り出すのが可能かどうかは判断できません。もし引っ張り出せなかった場合は、治療方針を変更いたします。
当院では初診相談を行っております。
歯列矯正治療に興味のある方は、お気軽にご利用ください。まだ、治療を始めるかどうか決めていない方でも不安や疑問をご相談ください。