FIRST COUNSELING初診相談
当院では初診相談を行っております。
歯列矯正治療に興味のある方は、お気軽にご利用ください。まだ、治療を始めるかどうか決めていない方でも不安や疑問をご相談ください。

当院は、顎口腔機能診断施設としての施設基準を満たしており、健康保険を適用した外科的矯正治療が可能です。
矯正治療はほとんどの場合が保険適用外ですが、手術を併用した矯正治療などの場合には、健康保険が適用される場合があります。


口腔内診査、口腔内写真、口腔内スキャナーを用いて資料作成し、それらを元に、現在の歯ならび、顎の状態、外科矯正が適応かどうかの説明を行います。

レントゲン・歯型・写真など通常の精密検査に加えて顎機能検査(顎の運動検査や咀嚼筋の筋電図)も行います。

精密検査の内容を踏まえて、外科手術の方法を含めた治療方針や費用・治療期間、メリット・デメリットの説明をさせていただきます。

手術は、市中病院や大学病院の口腔外科で行います。当院で紹介状をお渡しいたしますので、手術を行う口腔外科を受診して頂きます。

手術までの期間は、大体1~2年程度ですが、口腔内の状況(不正咬合の程度)で前後します。術前矯正は、事前に予測した手術後の顎の状態に合わせて並べるため、一見すると一時的に歯ならびが悪くなったり噛みにくくなったりすることがあります。

手術を行う口腔外科に再度受診して頂き、手術日程を決めます。

術後の入院は大体1週間~2週間程度ですが、入院期間は術後の状態により個人差があります。また病院によっても異なりますので、事前に口腔外科を受診される際にお問い合わせください。

術後矯正の期間は、手術後大体半年~1年程度ですが、口腔内の状況によって前後します。

保定期間は2年~3年程度で、通院頻度は3~6ヶ月毎になります。



高額療養費制度とは、医療機関や薬局の窓口で支払った額が、1ヶ月間で上限額を超えた場合に、その超えた金額を支給する制度です。
上限額は人によって違います。下記の表を参考にしてください。
※入院時の食費、衣類や差額ベッド代等は含みません。
| 適用区分 | ひと月の上限額(世帯ごと) | |
|---|---|---|
| ア | 年収約1,160万円〜 健保:標報83万円以上 国保:旧ただし書き所得901万円超 |
252,600円 +(医療費-842,000)×1% |
| イ | 年収約770万円〜約1,160万円 健保:標報53万〜79万円 国保:旧ただし書き所得600万〜901万円 |
167,400円 +(医療費-558,000)×1% |
| ウ | 年収約370万円〜約770万円 健保:標報28万〜50万円 国保:旧ただし書き所得210万〜600万円 |
80,100円 +(医療費-267,000)×1% |
| エ | 〜年収約370万円 健保:標報26万円以下 国保:旧ただし書き所得210万円以下 |
57,600円 |
| オ | 住民税非課税者 | 35,400円 |
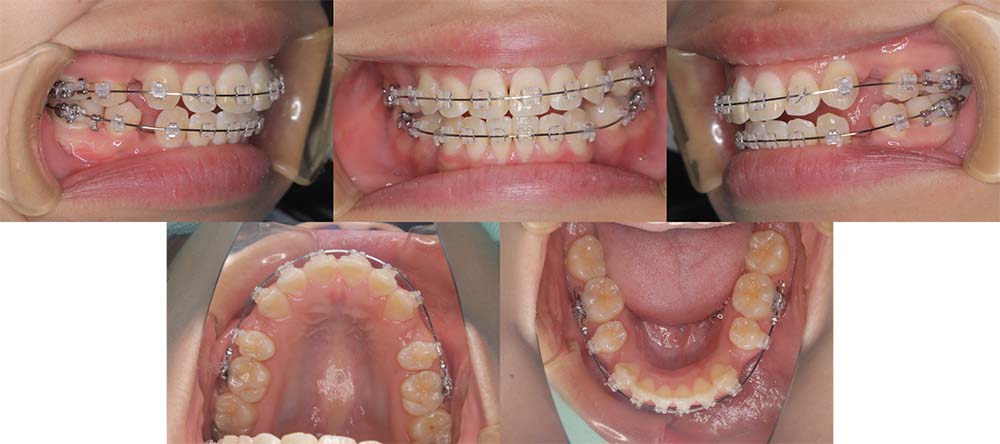
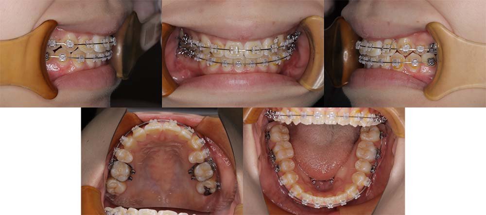
| 症例分類 | 顎変形症、叢生、開咬 |
| 診断名 | 上下軽度叢生を伴う骨格性開咬 |
| 主訴 | 前歯でものが噛み切れない、奥歯もあまり噛み合わない |
|---|---|
| 年齢 | 21歳9ヶ月 |
| 性別 | 女性 |
| 抜歯部位 | 上下左右の第一小臼歯(4本) |
| 使用装置 | 表側のワイヤー装置+外科矯正(手術を併用した治療) |
| 治療期間 | 1年8ヶ月 |
| 保定装置 | 固定式保定装置、取り外し式保定装置(8時間) |
| 費用 |
保険適応 [検査・診断等] 2万円程度 [装置装着] 5〜7万円程度 [調整料] 2,000〜7,000円程度/回 [手術前検査等] 2万円程度 [保定装置等] 4万円程度 合計18〜25万円程度 |
下顎の右側偏移があり、骨格的にも受け口だったため、上顎両側第一小臼歯を抜去して手術を併用して治療を行いました。術前は前歯が反対のかみ合わせになり、初診時より咬合、顔貌は一旦悪くなります。1年5ヶ月の術前矯正のあと手術を行いました。
手術後に使用が必要になるゴムの協力度が高く、手術後は7ヶ月の術後矯正で治療を終了することができました。
顎の歪みも下顎の前方感も改善することができました。
※写真の使用は患者様から同意を頂いております。






セルフケアを怠ると、虫歯・歯周病を発症する場合があります。矯正治療は患者様の協力がなければ改善できません。指示された矯正装置は必ず注意事項を守って着用が必要です。また来院期間を守って来院してください。治療結果、治療期間及び治療費に大きく影響が出る場合があります。不正咬合の状態によっては、適応しない場合があります。治療中装置の装着や咬合状態の変化などにより、一時的に咬みにくくなる場合があります。歯の動く速さや成長発育の時期には個人差があるため、治療期間が予定よりも大きく変更されることがあります。また、治療計画を変更せざるを得ない場合があります。骨性癒着(歯と骨がくっついてしまう症状)はぶつけるなど外傷のある歯や、長期間炎症が起こしていた歯などによく見られ、歯根膜の損傷が主な原因と考えられています。そのような骨性癒着を起こしている歯は矯正力をどれだけ加えても動きません。骨性癒着は精密検査でも診断できないことがほとんどです。そのため、治療途中に治療方針を変更せざるを得ない場合があります。歯や顎は動かした後に元の位置に戻ろうとするため、治療終了後は保定装置というものを使用します。 それらの装置は指示通りに使用してください。使用しないと後戻りする可能性があります。
手術での治療は、全身麻酔のリスク、 血管や神経の損傷のリスク、感染のリスク、骨の再形成不全のリスク、顎の痺れ、顔の腫れなど手術中、手術後の副作用やリスクがあります。
また、手術は全身麻酔で顎の骨を骨折させるため、入院が10日前後必要になります。
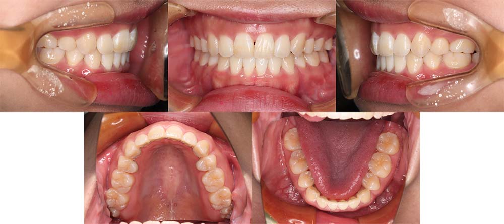
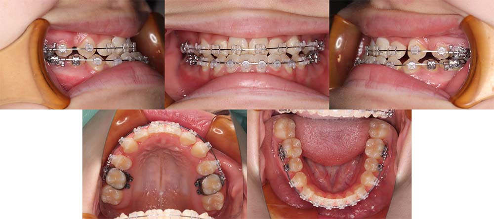
| 症例分類 | 顎変形症、叢生、側方偏移 |
| 診断名 | 下顎右側偏移を伴う上下叢生 |
| 主訴 | 歯並びがガタガタ、顎が右にずれている |
|---|---|
| 年齢 | 25歳4ヶ月 |
| 性別 | 女性 |
| 抜歯部位 | 上の左右第一小臼歯 |
| 使用装置 | 表側のワイヤー装置+外科矯正(手術を併用した治療) |
| 治療期間 | 2年1ヶ月 |
| 保定装置 | 固定式保定装置、取り外し式保定装置(8時間) |
| 費用 |
保険適応 [検査・診断等] 2万円程度 [装置装着] 5〜7万円程度 [調整料] 2,000〜7,000円程度/回 [手術前検査等] 2万円程度 [保定装置等] 4万円程度 合計18〜25万円程度 |
下顎の右側に偏移があり、骨格的にも受け口だったため、上顎両側第一小臼歯を抜去して、上下顎の手術を併用して治療を行いました。術前は前歯が反対のかみ合わせになり、初診時より咬合、顔貌は一旦悪くなります。術前矯正を1年7ヶ月した後に手術を行いました。
術後の顎間ゴムをしっかりと使用していただけたため、術後7ヶ月で治療が終了することができました。また、顎の歪みが残っていたため矯正治療終了後におとがい形成術をして、下顎の偏移を改善しました。
顎の歪みも下顎の前方感も改善することができ、上下のかみ合わせもしっかりと咬合することができました。
※写真の使用は患者様から同意を頂いております。






セルフケアを怠ると、虫歯・歯周病を発症する場合があります。矯正治療は患者様の協力がなければ改善できません。指示された矯正装置は必ず注意事項を守って着用が必要です。また来院期間を守って来院してください。治療結果、治療期間及び治療費に大きく影響が出る場合があります。不正咬合の状態によっては、適応しない場合があります。治療中装置の装着や咬合状態の変化などにより、一時的に咬みにくくなる場合があります。歯の動く速さや成長発育の時期には個人差があるため、治療期間が予定よりも大きく変更されることがあります。また、治療計画を変更せざるを得ない場合があります。骨性癒着(歯と骨がくっついてしまう症状)はぶつけるなど外傷のある歯や、長期間炎症が起こしていた歯などによく見られ、歯根膜の損傷が主な原因と考えられています。そのような骨性癒着を起こしている歯は矯正力をどれだけ加えても動きません。骨性癒着は精密検査でも診断できないことがほとんどです。そのため、治療途中に治療方針を変更せざるを得ない場合があります。歯や顎は動かした後に元の位置に戻ろうとするため、治療終了後は保定装置というものを使用します。 それらの装置は指示通りに使用してください。使用しないと後戻りする可能性があります。
手術での治療は、全身麻酔のリスク、 血管や神経の損傷のリスク、感染のリスク、骨の再形成不全のリスク、顎の痺れ、顔の腫れなど手術中、手術後の副作用やリスクがあります。
また、手術は全身麻酔で顎の骨を骨折させるため、入院が10日前後必要になります。
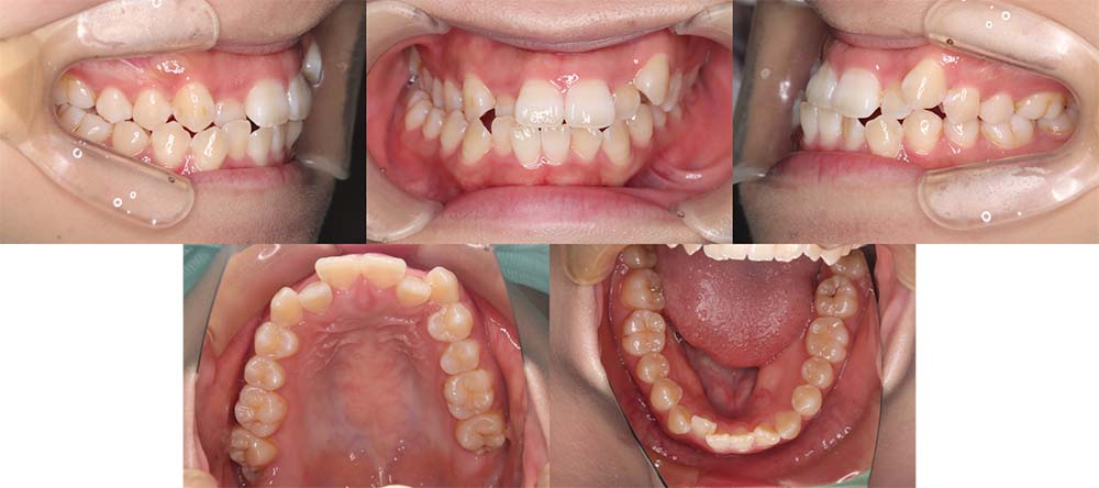
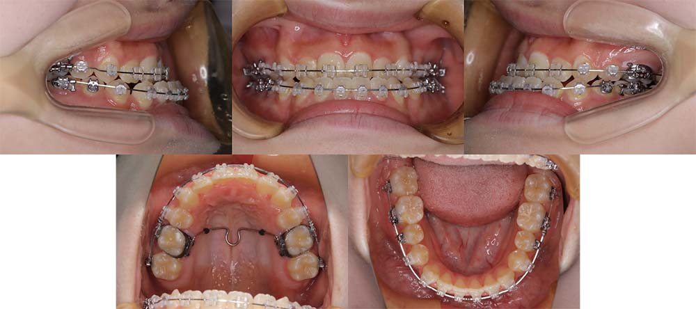
| 症例分類 | 顎変形症、叢生、下顎前突 |
| 診断名 | 下顎の左側偏位を伴う骨格性下顎前突 |
| 主訴 | 上下ガタガタ、受け口 |
|---|---|
| 年齢 | 15歳10ヶ月 |
| 性別 | 女性 |
| 抜歯部位 | 上の左右第一小臼歯 |
| 使用装置 | 表側のワイヤー装置+外科矯正(手術を併用した治療) |
| 治療期間 | 2年2ヶ月 |
| 保定装置 | 固定式保定装置、取り外し式保定装置(8時間) |
| 費用 |
保険適応 [検査・診断等] 2万円程度 [装置装着] 5〜7万円程度 [調整料] 2,000〜7,000円程度/回 [手術前検査等] 2万円程度 [保定装置等] 4万円程度 合計18〜25万円程度 |
骨格的に下顎が前方と左側に偏移しており矯正単独では治療が難しいため、上顎第一小臼歯を抜去して上下顎の手術を併用して治療することになりました。
1年7ヶ月の術前矯正後、上下顎の手術を行いました。
術後の顎間ゴムをしっかりと使用していただけたため、術後8ヶ月で治療が終了することができました。
下顎の前突感を改善することができました。
※写真の使用は患者様から同意を頂いております。






セルフケアを怠ると、虫歯・歯周病を発症する場合があります。矯正治療は患者様の協力がなければ改善できません。指示された矯正装置は必ず注意事項を守って着用が必要です。また来院期間を守って来院してください。治療結果、治療期間及び治療費に大きく影響が出る場合があります。不正咬合の状態によっては、適応しない場合があります。治療中装置の装着や咬合状態の変化などにより、一時的に咬みにくくなる場合があります。歯の動く速さや成長発育の時期には個人差があるため、治療期間が予定よりも大きく変更されることがあります。また、治療計画を変更せざるを得ない場合があります。骨性癒着(歯と骨がくっついてしまう症状)はぶつけるなど外傷のある歯や、長期間炎症が起こしていた歯などによく見られ、歯根膜の損傷が主な原因と考えられています。そのような骨性癒着を起こしている歯は矯正力をどれだけ加えても動きません。骨性癒着は精密検査でも診断できないことがほとんどです。そのため、治療途中に治療方針を変更せざるを得ない場合があります。歯や顎は動かした後に元の位置に戻ろうとするため、治療終了後は保定装置というものを使用します。 それらの装置は指示通りに使用してください。使用しないと後戻りする可能性があります。
手術での治療は、全身麻酔のリスク、 血管や神経の損傷のリスク、感染のリスク、骨の再形成不全のリスク、顎の痺れ、顔の腫れなど手術中、手術後の副作用やリスクがあります。
また、手術は全身麻酔で顎の骨を骨折させるため、入院が10日前後必要になります。
顎変形症で手術を受ける方は基本的に手術をする病院で手術をする時が対象になります。
手術前後の矯正費用の自己負担が1ヶ月間で21,000円以上(医療費7万円以上)になる場合は合算できる対象になることがありますが、手術する同月で21,000円以上になることは殆どないため、基本的には手術をうける病院での支払い費用のみが対象になります。
また、手術する月以外の口腔外科の治療費や矯正治療費は限度額を超えることがないことが殆どのため、顎変形症のみでは対象になりません。
当院では初診相談を行っております。
歯列矯正治療に興味のある方は、お気軽にご利用ください。まだ、治療を始めるかどうか決めていない方でも不安や疑問をご相談ください。